> Antigen, Antibodies, ELISA, Western Blot > Primary Antibody > Monoclonal Antibodies > MEKK3 Antibody (C-term)Brand |
Leading Biology | Catalog Number |
APR17351G |
Product Type |
Monoclonal Antibodies | Field of Research |
|
Product Overview |
We constantly strive to ensure we provide our customers with the best antibodies. As a result of this work we offer this antibody in purified format.
We are in the process of updating our datasheets. If you have any questions regarding this update, please feel free to contact our technical support team.
This product is a high quality MEKK3 antibody (C-term).
|
||
Molecular Weight |
70898 Da
|
||
Host |
Rabbit
|
||
Species Reactivity |
Human
|
||
Target |
A synthetic peptide corresponding to residues in the C-term of human MEKK3 was used as immunogen.
|
||
Clone |
EP600Y
|
||
Symbol |
MAPKKK3, MEKK3
|
||
GeneID |
|||
UniProt ID |
|||
Function |
Component of a protein kinase signal transduction cascade. Mediates activation of the NF-kappa-B, AP1 and DDIT3 transcriptional regulators.
|
||
Summary |
MEKK3 is a Ser/Thr protein kinase belonging to the MAP/ERK kinase kinase family (1). Closely related to MEKK2, MEKK3 is expressed in a multitude of tissues. MEKK3 directly regulates SAPKs and ERKs pathway via SEK and MEK1, respectively but not the p38 pathway (2) and is also involved in the NF-kB pathway (3). MEKK3 as well as MEKK2 bind, phosphorylate and activate MEK5 through their PB1 domain (4). hKSR-2 (human kinase suppressor of ras-2) has been shown to regulate the activity of MEKK3 (5).
|
||
Form |
50 mM Tris-Glycine (pH 7.4), 0.15 M NaCl, 40% Glycerol, 0.01% sodium azide and 0.05% BSA. |
||
Storage & Stability |
Store at +4°C short term. For long-term storage, aliquot and store at -20°C or below. Stable for 12 months at -20°C. Avoid repeated freeze-thaw cycles.
|
||
Applications |
WB, IHC, IF
|
||
Dilution |
WB~~1:1000~5000
IHC~~1:100~250
|
||
Synonyms |
Mitogen-activated protein kinase kinase kinase 3, MAPK/ERK kinase kinase 3, MEK kinase 3, MEKK 3, MAP3K3, MAPKKK3, MEKK3
|
||
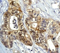
Images |
A. Western blot analysis on Hela cell lysate using anti-MEKK3 (C-term) RabMAb (Cat. APR17351G), dilution 1:1,000.
B. Immunohistochemical analysis of paraffin-embedded human ovary carcinoma using anti-MEKK3 (C-term) RabMAb (Cat. APR17351G).
C. Immunofluorescent staining of HeLa cells using anti-MEKK3 (C-term) RabMAb (Cat. APR17351G). |
||
Specification |
|||
Quantity |
|
||
| Select | Brand | Catalog No. | Product Name | Pack Size | Type | Field of Research | Specification | Quantity | Price(USD) | |
| 1 | Leading Biology | APG02467G | CCK4 / PTK7 Antibody (clone 4F9) | 50 μl | Monoclonal Antibodies |
|
$495.00 | Add Ask | ||
| 2 | Leading Biology | AMM04683G | GALT Antibody (clone 4C11) | 50 μg | Monoclonal Antibodies |
|
$545.00 | Add Ask | ||
| 3 | Leading Biology | AMM01402G | Vimentin (Mesenchymal Cell Marker) Antibody - With BSA and Azide | 50 ug | Monoclonal Antibodies |
|
$395.00 | Add Ask | ||
| 4 | Leading Biology | APR08280G | LTA4H / LTA4 Antibody (clone 9G8) | 50 μl | Monoclonal Antibodies |
|
$495.00 | Add Ask | ||
| 5 | Leading Biology | AMM00172G | CD1a / HTA1 (Mature Langerhans Cells Marker) Antibody - With BSA and Azide | 50 ug | Monoclonal Antibodies |
|
$395.00 | Add Ask | ||
| 6 | Leading Biology | AMM05750G | CEBPA Antibody | 100 μl | Monoclonal Antibodies |
|
$545.00 | Add Ask |
Leading Biology Inc.
2600 Hilltop DR, Building G, B Suite C138
Richmond, CA, 94806
Tel: 1-661-524(LBI)-0262
Email: info@leadingbiology.com
Complete this form and click send to ask us a question, request a quote or simply say hello.

You have 0 item in your cart

You have 0 item in your inquiry list