> Antigen, Antibodies, ELISA, Western Blot > Primary Antibody > Monoclonal Antibodies > MEKK2 AntibodyBrand |
Leading Biology | Catalog Number |
APC00076G |
Product Type |
Monoclonal Antibodies | Field of Research |
|
Product Overview |
We constantly strive to ensure we provide our customers with the best antibodies. As a result of this work we offer this antibody in purified format.
We are in the process of updating our datasheets. If you have any questions regarding this update, please feel free to contact our technical support team.
This product is a high quality MEKK2 antibody.
|
||
Molecular Weight |
69741 Da
|
||
Cellular Localization |
Antigen Cellular Localization:
Cytoplasm. Nucleus. Note=Upon EGF stimulation, translocates into the nucleus
|
||
Host |
Rabbit
|
||
Species Reactivity |
Human, Mouse, Rat
|
||
Target |
A synthetic peptide corresponding to residues near the N-term of human MEKK-2 was used as immunogen.
|
||
Clone |
EP626Y
|
||
Symbol |
MAPKKK2, MEKK2
|
||
GeneID |
|||
UniProt ID |
|||
Function |
Component of a protein kinase signal transduction cascade. Regulates the JNK and ERK5 pathways by phosphorylating and activating MAP2K5 and MAP2K7 (By similarity). Plays a role in caveolae kiss-and-run dynamics.
|
||
Summary |
MEKK2 is a Ser/Thr protein kinase belonging to the MEKK/STE11 subgroup of the MAP/ERK kinase kinase family (1). Closely related to MEKK3, MEKK2 is expressed in a multitude of tissues. MEKK2 directly phosphorylates and activates Ikappa B kinases and has been found to bind and activate protein kinase C-related kinase 2 (2). MEKK2 has also been known to activate JNK1/2, ERK1/2, p38, and ERK5 MAPK in vitro (3). MEKK2 interacting protein (Mip1) regulates MEKK2 expression (4).
|
||
Form |
50 mM Tris-Glycine (pH 7.4), 0.15 M NaCl, 40% Glycerol, 0.01% sodium azide and 0.05% BSA. |
||
Storage & Stability |
Store at +4°C short term. For long-term storage, aliquot and store at -20°C or below. Stable for 12 months at -20°C. Avoid repeated freeze-thaw cycles.
|
||
Applications |
WB, IHC
|
||
Dilution |
WB~~1:500~1000
IHC~~1:50
|
||
Synonyms |
Mitogen-activated protein kinase kinase kinase 2, MAPK/ERK kinase kinase 2, MEK kinase 2, MEKK 2, MAP3K2, MAPKKK2, MEKK2
|
||
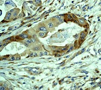
Images |
A. Western blot analysis on Jurkat cell lysate using anti-MEKK-2 RabMAb (Cat. APC00076G), dilution 1:50,000.
B. Immunohistochemical analysis of paraffin-embedded human breast carcinoma using anti-MEKK2 RabMAb (Cat. APC00076G). |
||
Specification |
|||
Quantity |
|
||
| Select | Brand | Catalog No. | Product Name | Pack Size | Type | Field of Research | Specification | Quantity | Price(USD) | |
| 1 | Leading Biology | APG02467G | CCK4 / PTK7 Antibody (clone 4F9) | 50 μl | Monoclonal Antibodies |
|
$495.00 | Add Ask | ||
| 2 | Leading Biology | AMM04683G | GALT Antibody (clone 4C11) | 50 μg | Monoclonal Antibodies |
|
$545.00 | Add Ask | ||
| 3 | Leading Biology | AMM01402G | Vimentin (Mesenchymal Cell Marker) Antibody - With BSA and Azide | 50 ug | Monoclonal Antibodies |
|
$395.00 | Add Ask | ||
| 4 | Leading Biology | APR08280G | LTA4H / LTA4 Antibody (clone 9G8) | 50 μl | Monoclonal Antibodies |
|
$495.00 | Add Ask | ||
| 5 | Leading Biology | AMM00172G | CD1a / HTA1 (Mature Langerhans Cells Marker) Antibody - With BSA and Azide | 50 ug | Monoclonal Antibodies |
|
$395.00 | Add Ask | ||
| 6 | Leading Biology | AMM05750G | CEBPA Antibody | 100 μl | Monoclonal Antibodies |
|
$545.00 | Add Ask |
Leading Biology Inc.
2600 Hilltop DR, Building G, B Suite C138
Richmond, CA, 94806
Tel: 1-661-524(LBI)-0262
Email: info@leadingbiology.com
Complete this form and click send to ask us a question, request a quote or simply say hello.

You have 0 item in your cart

You have 0 item in your inquiry list