> Antigen, Antibodies, ELISA, Western Blot > Primary Antibody > Monoclonal Antibodies > CCR3/CKR3 Antibody (C-term)Brand |
Leading Biology | Catalog Number |
APR15307G |
Product Type |
Monoclonal Antibodies | Field of Research |
|
Product Overview |
We constantly strive to ensure we provide our customers with the best antibodies. As a result of this work we offer this antibody in purified format.
We are in the process of updating our datasheets. If you have any questions regarding this update, please feel free to contact our technical support team.
This product is a high quality CCR3/CKR3 antibody (C-term).
|
||
Molecular Weight |
41044 Da
|
||
Cellular Localization |
Antigen Cellular Localization:
Cell membrane; Multi-pass membrane protein.
|
||
Host |
Rabbit
|
||
Species Reactivity |
Human, Mouse
|
||
Target |
A synthetic peptide corresponding to residues in C-terminal cytoplasmic domain of human CKR3 was used as immunogen. Predicted to cross-react with macaque, based on sequence homology.
|
||
Clone |
Y31
|
||
Symbol |
CMKBR3
|
||
GeneID |
|||
UniProt ID |
|||
Function |
Receptor for a C-C type chemokine. Binds to eotaxin, eotaxin-3, MCP-3, MCP-4, RANTES and MIP-1 delta. Subsequently transduces a signal by increasing the intracellular calcium ions level. Alternative coreceptor with CD4 for HIV-1 infection.
|
||
Summary |
CKR3, or C-C chemokine receptor type 3, is a G protein-coupled, seven-transmembrane domain receptor protein. The chemokine eotaxin appears to be a highly specific agonist for CKR3, making CKR3 one of the factors responsible for selective recruitment of eosinophils to sites of inflammation (1). It has been shown that more than one chemokine activates CKR3, including eotaxin, RANTES, and MCP-3 (2). Since CKR3 is prominently expressed in eosinophils, it has been named the human eosinophil eotaxin receptor (2,3).
|
||
Form |
50 mM Tris-Glycine (pH 7.4), 0.15 M NaCl, 40% Glycerol, 0.01% sodium azide and 0.05% BSA. |
||
Storage & Stability |
Store at +4°C short term. For long-term storage, aliquot and store at -20°C or below. Stable for 12 months at -20°C. Avoid repeated freeze-thaw cycles.
|
||
Applications |
WB, IHC
|
||
Dilution |
IHC~~1:100
|
||
Synonyms |
C-C chemokine receptor type 3, C-C CKR-3, CC-CKR-3, CCR-3, CCR3, CKR3, Eosinophil eotaxin receptor, CD193, CCR3, CMKBR3
|
||
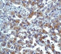
Images |
A. Western blot analysis on (1) K562 and (2) Daudi cell lysates using anti-CCR3/CKR3 (C-term) RabMAb (Cat. APR15307G), dilution 1:500.
B. Immunohistochemical analysis of paraffin-embedded human liver tissue using anti-CKR3/CCR3 (C-term) RabMAb (Cat. APR15307G). |
||
Specification |
|||
Quantity |
|
||
| Select | Brand | Catalog No. | Product Name | Pack Size | Type | Field of Research | Specification | Quantity | Price(USD) | |
| 1 | Leading Biology | APG02467G | CCK4 / PTK7 Antibody (clone 4F9) | 50 μl | Monoclonal Antibodies |
|
$495.00 | Add Ask | ||
| 2 | Leading Biology | AMM04683G | GALT Antibody (clone 4C11) | 50 μg | Monoclonal Antibodies |
|
$545.00 | Add Ask | ||
| 3 | Leading Biology | AMM01402G | Vimentin (Mesenchymal Cell Marker) Antibody - With BSA and Azide | 50 ug | Monoclonal Antibodies |
|
$395.00 | Add Ask | ||
| 4 | Leading Biology | APR08280G | LTA4H / LTA4 Antibody (clone 9G8) | 50 μl | Monoclonal Antibodies |
|
$495.00 | Add Ask | ||
| 5 | Leading Biology | AMM00172G | CD1a / HTA1 (Mature Langerhans Cells Marker) Antibody - With BSA and Azide | 50 ug | Monoclonal Antibodies |
|
$395.00 | Add Ask | ||
| 6 | Leading Biology | AMM05750G | CEBPA Antibody | 100 μl | Monoclonal Antibodies |
|
$545.00 | Add Ask |
Leading Biology Inc.
2600 Hilltop DR, Building G, B Suite C138
Richmond, CA, 94806
Tel: 1-661-524(LBI)-0262
Email: info@leadingbiology.com
Complete this form and click send to ask us a question, request a quote or simply say hello.

You have 0 item in your cart

You have 0 item in your inquiry list