> Antigen, Antibodies, ELISA, Western Blot > Primary Antibody > Monoclonal Antibodies > IRS-1 AntibodyBrand |
Leading Biology | Catalog Number |
APR08038G |
Product Type |
Monoclonal Antibodies | Field of Research |
|
Product Overview |
We constantly strive to ensure we provide our customers with the best antibodies. As a result of this work we offer this antibody in purified format.
We are in the process of updating our datasheets. If you have any questions regarding this update, please feel free to contact our technical support team.
This product is a high quality IRS-1 antibody.
|
||
Molecular Weight |
131591 Da
|
||
Host |
Rabbit
|
||
Species Reactivity |
Human
|
||
Target |
A synthetic peptide corresponding to residues near the C-terminus of human IRS-1was used as immunogen.
|
||
Clone |
EP263Y
|
||
GeneID |
|||
UniProt ID |
|||
Function |
May mediate the control of various cellular processes by insulin. When phosphorylated by the insulin receptor binds specifically to various cellular proteins containing SH2 domains such as phosphatidylinositol 3-kinase p85 subunit or GRB2. Activates phosphatidylinositol 3-kinase when bound to the regulatory p85 subunit (By similarity).
|
||
Summary |
Insulin receptor substrates (IRS), the major intracellular substrates of the insulin receptor (IR), are adaptor proteins that transduce signals from the IR to downstream effectors that are important for the biological effect of insulin (1-2). After insulin stimulation, IRS proteins are rapidly phosphorylated on multiple tyrosine residues. Once phosphorylated, IRS proteins bind and activate Grb-2, SHP2 and the PI3-K p85 subunit (2-3). IRS-1 functions as one of the key regulators of IR and the insulin-like growth factor-1 receptor. Disruption of IRS-1 causes growth retardation and insulin resistance associated with hypertension, hypertriglyceridemia, and impaired endothelium-dependent vascular relaxation (4-5)
|
||
Form |
50 mM Tris-Glycine (pH 7.4), 0.15 M NaCl, 40% Glycerol, 0.01% sodium azide and 0.05% BSA. |
||
Storage & Stability |
Store at +4°C short term. For long-term storage, aliquot and store at -20°C or below. Stable for 12 months at -20°C. Avoid repeated freeze-thaw cycles.
|
||
Applications |
WB, IHC
|
||
Dilution |
WB~~1:1000
IHC~~1:50~100
|
||
Synonyms |
Insulin receptor substrate 1, IRS-1, IRS1
|
||
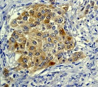
Images |
A. Western blot analysis on Hela cell lysate using anti-IRS-1 RabMAb (Cat. APR08038G), dilution 1:1,000.
B. Immunohistochemical analysis of paraffin-embedded human breast carcinoma using anti-IRS-1 RabMAb (Cat. APR08038G). |
||
Specification |
|||
Quantity |
|
||
| Select | Brand | Catalog No. | Product Name | Pack Size | Type | Field of Research | Specification | Quantity | Price(USD) | |
| 1 | Leading Biology | APG02467G | CCK4 / PTK7 Antibody (clone 4F9) | 50 μl | Monoclonal Antibodies |
|
$495.00 | Add Ask | ||
| 2 | Leading Biology | AMM04683G | GALT Antibody (clone 4C11) | 50 μg | Monoclonal Antibodies |
|
$545.00 | Add Ask | ||
| 3 | Leading Biology | AMM01402G | Vimentin (Mesenchymal Cell Marker) Antibody - With BSA and Azide | 50 ug | Monoclonal Antibodies |
|
$395.00 | Add Ask | ||
| 4 | Leading Biology | APR08280G | LTA4H / LTA4 Antibody (clone 9G8) | 50 μl | Monoclonal Antibodies |
|
$495.00 | Add Ask | ||
| 5 | Leading Biology | AMM00172G | CD1a / HTA1 (Mature Langerhans Cells Marker) Antibody - With BSA and Azide | 50 ug | Monoclonal Antibodies |
|
$395.00 | Add Ask | ||
| 6 | Leading Biology | AMM05750G | CEBPA Antibody | 100 μl | Monoclonal Antibodies |
|
$545.00 | Add Ask |
Leading Biology Inc.
2600 Hilltop DR, Building G, B Suite C138
Richmond, CA, 94806
Tel: 1-661-524(LBI)-0262
Email: info@leadingbiology.com
Complete this form and click send to ask us a question, request a quote or simply say hello.

You have 0 item in your cart

You have 0 item in your inquiry list