> Antigen, Antibodies, ELISA, Western Blot > Primary Antibody > Monoclonal Antibodies > HSF1 AntibodyBrand |
Leading Biology | Catalog Number |
APR07035G |
Product Type |
Monoclonal Antibodies | Field of Research |
|
Product Overview |
We constantly strive to ensure we provide our customers with the best antibodies. As a result of this work we offer this antibody in purified format.
We are in the process of updating our datasheets. If you have any questions regarding this update, please feel free to contact our technical support team.
This product is a high quality HSF1 antibody.
|
||
Molecular Weight |
57260 Da
|
||
Cellular Localization |
Antigen Cellular Localization:
Cytoplasm. Nucleus. Note=Cytoplasmic during normal growth. On activation, translocates to nuclear stress granules. Colocalizes with SUMO1 in nuclear stress granules
|
||
Host |
Rabbit
|
||
Species Reactivity |
Human
|
||
Target |
A synthetic peptide corresponding to residues near the C-terminus of human HSF1 was used as an immunogen.
|
||
Clone |
EP1710Y
|
||
Symbol |
HSTF1
|
||
GeneID |
|||
UniProt ID |
|||
Function |
DNA-binding protein that specifically binds heat shock promoter elements (HSE) and activates transcription. In higher eukaryotes, HSF is unable to bind to the HSE unless the cells are heat shocked.
|
||
Summary |
Human cells respond to heat stress by inducing the binding of a pre-existing transcriptional activator (heat shock factor, HSF) to DNA (1). Induction of heat shock protein (HSP) gene expression by stress is initiated by binding of HSF1 to HSP gene promoters to increase their transcription. The cytoprotective functions of these HSPs are essential for cell survival, and thus it is critical that inducible HSP gene expression be executed rapidly and efficiently. There is an interaction between heat shock factor 1 (HSF1) and symplekin, a protein known to form a complex with the polyadenylation factors CstF and CPSF. HSF1-symplekin complexes are detected only after stress treatment, and these two proteins co-localize in punctate nuclear structures in stressed cells (2). A chaperone/Hsp functioning as repressor of heat shock transcription factor (HSF) could make activation of hsp genes dependent on protein unfolding. It has been concluded that Hsp90, by itself and/or associated with multichaperone complexes, is a major repressor of HSF1 (3).
|
||
Form |
50 mM Tris-Glycine (pH 7.4), 0.15 M NaCl, 40% Glycerol, 0.01% sodium azide and 0.05% BSA. |
||
Storage & Stability |
Store at +4°C short term. For long-term storage, aliquot and store at -20°C or below. Stable for 12 months at -20°C. Avoid repeated freeze-thaw cycles.
|
||
Applications |
WB, IHC
|
||
Dilution |
WB~~1:10000~50000
IHC~~1:100~250
|
||
Synonyms |
Heat shock factor protein 1, HSF 1, Heat shock transcription factor 1, HSTF 1, HSF1, HSTF1
|
||
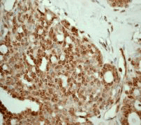
Images |
A. Western blot analysis on HeLa cell lysate using anti-HSF1 RabMAb (Cat. APR07035G).
B. Immunohistochemical staining of paraffin-embedded human ovarian carcinoma using anti-HSF1 RabMAb (Cat. APR07035G). |
||
Specification |
|||
Quantity |
|
||
| Select | Brand | Catalog No. | Product Name | Pack Size | Type | Field of Research | Specification | Quantity | Price(USD) | |
| 1 | Leading Biology | APG02467G | CCK4 / PTK7 Antibody (clone 4F9) | 50 μl | Monoclonal Antibodies |
|
$495.00 | Add Ask | ||
| 2 | Leading Biology | AMM04683G | GALT Antibody (clone 4C11) | 50 μg | Monoclonal Antibodies |
|
$545.00 | Add Ask | ||
| 3 | Leading Biology | AMM01402G | Vimentin (Mesenchymal Cell Marker) Antibody - With BSA and Azide | 50 ug | Monoclonal Antibodies |
|
$395.00 | Add Ask | ||
| 4 | Leading Biology | APR08280G | LTA4H / LTA4 Antibody (clone 9G8) | 50 μl | Monoclonal Antibodies |
|
$495.00 | Add Ask | ||
| 5 | Leading Biology | AMM00172G | CD1a / HTA1 (Mature Langerhans Cells Marker) Antibody - With BSA and Azide | 50 ug | Monoclonal Antibodies |
|
$395.00 | Add Ask | ||
| 6 | Leading Biology | AMM05750G | CEBPA Antibody | 100 μl | Monoclonal Antibodies |
|
$545.00 | Add Ask |
Leading Biology Inc.
2600 Hilltop DR, Building G, B Suite C138
Richmond, CA, 94806
Tel: 1-661-524(LBI)-0262
Email: info@leadingbiology.com
Complete this form and click send to ask us a question, request a quote or simply say hello.

You have 0 item in your cart

You have 0 item in your inquiry list