> Antigen, Antibodies, ELISA, Western Blot > Primary Antibody > Monoclonal Antibodies > GluR2/3 AntibodyBrand |
Leading Biology | Catalog Number |
AMM05922G |
Product Type |
Monoclonal Antibodies | Field of Research |
|
Product Overview |
We constantly strive to ensure we provide our customers with the best antibodies. As a result of this work we offer this antibody in purified format.
We are in the process of updating our datasheets. If you have any questions regarding this update, please feel free to contact our technical support team.
This product is a high quality GluR2/3 antibody.
|
||
Molecular Weight |
98821 Da
|
||
Cellular Localization |
Antigen Cellular Localization:
Cell membrane; Multi-pass membrane protein Endoplasmic reticulum membrane; Multi-pass membrane protein. Cell junction, synapse, postsynaptic cell membrane; Multi-pass membrane protein. Note=Interaction with CACNG2, CNIH2 and CNIH3 promotes cell surface expression
|
||
Host |
Rabbit
|
||
Species Reactivity |
Human, Mouse, Rat
|
||
Target |
A synthetic phospho-peptide corresponding to residues surrounding Ser880/891 of human GluR2/3 was used as immunogen. The antibody detects both GluR2/3 phosphorylated on Serine 880/891 of the mature human, and also unphosphorylated Glur-2/3.
|
||
Clone |
EP929Y
|
||
Symbol |
GLUR2
|
||
GeneID |
|||
UniProt ID |
|||
Function |
Receptor for glutamate that functions as ligand-gated ion channel in the central nervous system and plays an important role in excitatory synaptic transmission. L-glutamate acts as an excitatory neurotransmitter at many synapses in the central nervous system. Binding of the excitatory neurotransmitter L- glutamate induces a conformation change, leading to the opening of the cation channel, and thereby converts the chemical signal to an electrical impulse. The receptor then desensitizes rapidly and enters a transient inactive state, characterized by the presence of bound agonist. In the presence of CACNG4 or CACNG7 or CACNG8, shows resensitization which is characterized by a delayed accumulation of current flux upon continued application of glutamate.
|
||
Summary |
Glutamate receptor type 2 (GluR2) is one of the four subunits of α-amino-5-hydroxy-3-methyl-4-isoxazole propionic acid (AMPA) receptor. AMPA receptor is a non-NMDA-type ionotropic transmembrane receptor for glutamate that mediates fast synaptic transmission in the central nervous system (CNS (1). AMPA receptors are composed of four types of subunits, designated as GluR1, GluR2, GluR3, and GluR4 (alternatively called GluRA-D), which combine to form tetramers (2). The complex comprising of GluR2 and GluR3 is one of the two predominant forms in the adult hippocampus. All four GluRs interact with specific cytoplasmic protein through their C-terminal tails. Although in contrast to GluR1 and GluR4, GluR3 and GluR2 have a short C-terminal tail (3).
|
||
Form |
50 mM Tris-Glycine (pH 7.4), 0.15 M NaCl, 40% Glycerol, 0.01% sodium azide and 0.05% BSA. |
||
Storage & Stability |
Store at +4°C short term. For long-term storage, aliquot and store at -20°C or below. Stable for 12 months at -20°C. Avoid repeated freeze-thaw cycles.
|
||
Applications |
WB, IHC
|
||
Dilution |
WB~~1:20000~50000
IHC~~1:100~250
|
||
Synonyms |
Glutamate receptor 2, GluR-2, AMPA-selective glutamate receptor 2, GluR-B, GluR-K2, Glutamate receptor ionotropic, AMPA 2, GluA2, GRIA2, GLUR2
|
||
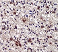
Images |
A. Western blot analysis on human brain lysate using anti-GluR2/3 RabMAb (Cat. AMM05922G).
B. Immunohistochemical staining of paraffin-embedded human brain using anti-GluR2/3 RabMAb (Cat. AMM05922G). |
||
Specification |
|||
Quantity |
|
||
| Select | Brand | Catalog No. | Product Name | Pack Size | Type | Field of Research | Specification | Quantity | Price(USD) | |
| 1 | Leading Biology | APG02467G | CCK4 / PTK7 Antibody (clone 4F9) | 50 μl | Monoclonal Antibodies |
|
$495.00 | Add Ask | ||
| 2 | Leading Biology | AMM04683G | GALT Antibody (clone 4C11) | 50 μg | Monoclonal Antibodies |
|
$545.00 | Add Ask | ||
| 3 | Leading Biology | AMM01402G | Vimentin (Mesenchymal Cell Marker) Antibody - With BSA and Azide | 50 ug | Monoclonal Antibodies |
|
$395.00 | Add Ask | ||
| 4 | Leading Biology | APR08280G | LTA4H / LTA4 Antibody (clone 9G8) | 50 μl | Monoclonal Antibodies |
|
$495.00 | Add Ask | ||
| 5 | Leading Biology | AMM00172G | CD1a / HTA1 (Mature Langerhans Cells Marker) Antibody - With BSA and Azide | 50 ug | Monoclonal Antibodies |
|
$395.00 | Add Ask | ||
| 6 | Leading Biology | AMM05750G | CEBPA Antibody | 100 μl | Monoclonal Antibodies |
|
$545.00 | Add Ask |
Leading Biology Inc.
2600 Hilltop DR, Building G, B Suite C138
Richmond, CA, 94806
Tel: 1-661-524(LBI)-0262
Email: info@leadingbiology.com
Complete this form and click send to ask us a question, request a quote or simply say hello.

You have 0 item in your cart

You have 0 item in your inquiry list