> Antigen, Antibodies, ELISA, Western Blot > Primary Antibody > Monoclonal Antibodies > Erk3/MAPK6 AntibodyBrand |
Leading Biology | Catalog Number |
APR15869G |
Product Type |
Monoclonal Antibodies | Field of Research |
|
Product Overview |
We constantly strive to ensure we provide our customers with the best antibodies. As a result of this work we offer this antibody in purified format.
We are in the process of updating our datasheets. If you have any questions regarding this update, please feel free to contact our technical support team.
This product is a high quality Erk3/MAPK6 antibody.
|
||
Molecular Weight |
82681 Da
|
||
Cellular Localization |
Antigen Cellular Localization:
Cytoplasm. Nucleus. Note=Translocates to the cytoplasm following interaction with MAPKAPK5.
|
||
Host |
Rabbit
|
||
Species Reactivity |
Human, Mouse, Rat
|
||
Target |
A synthetic peptide corresponding to residues near the N-terminal of human ERK3 protein was used as an immunogen.
|
||
Clone |
EP1720Y
|
||
Symbol |
ERK3, PRKM6
|
||
GeneID |
|||
UniProt ID |
|||
Function |
Atypical MAPK protein. Phosphorylates microtubule- associated protein 2 (MAP2) and MAPKAPK5. The precise role of the complex formed with MAPKAPK5 is still unclear, but the complex follows a complex set of phosphorylation events: upon interaction with atypical MAPKAPK5, ERK3/MAPK6 is phosphorylated at Ser-189 and then mediates phosphorylation and activation of MAPKAPK5, which in turn phosphorylates ERK3/MAPK6. May promote entry in the cell cycle (By similarity).
|
||
Summary |
ERK3 (Extracellular signal-regulated kinase 3, MAPK6, p97 MAPK) belongs to the Ser/Thr protein kinase family and is a member of the mitogen-activated protein (MAP) kinase superfamily. Unlike the other members of the MAPK family, ERK3 is a mitogen-activated protein kinase homologue that has SEG motif instead of conserved TXY motif in the activation loop (1). Also, unlike ERK1 and ERK2, it is ubiquitously expressed and localized in the nucleus of proliferating cells (2). Highly unstable, ERK3 is constitutively degraded during ubiquitin-proteasome pathway of proliferating cells (3). ERK3 has been linked to phosphorylation MAP2 and as a possible regulator during cell differentiation (4).
|
||
Form |
50 mM Tris-Glycine (pH 7.4), 0.15 M NaCl, 40% Glycerol, 0.01% sodium azide and 0.05% BSA. |
||
Storage & Stability |
Store at +4°C short term. For long-term storage, aliquot and store at -20°C or below. Stable for 12 months at -20°C. Avoid repeated freeze-thaw cycles.
|
||
Applications |
WB, IHC
|
||
Dilution |
WB~~1:1000
IHC~~1:50
|
||
Synonyms |
Mitogen-activated protein kinase 6, MAP kinase 6, MAPK 6, Extracellular signal-regulated kinase 3, ERK-3, MAP kinase isoform p97, p97-MAPK, MAPK6, ERK3, PRKM6
|
||
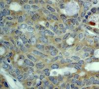
Images |
A.Western blot analysis on Hela cell lysate using anti-ERK3 RabMAb(Cat. APR15869G), dilution 1:1000.
B. Immunohistochemical analysis of paraffin-embedded human breast carcinoma using anti-ERK3 RabMAb (Cat. APR15869G). |
||
Specification |
|||
Quantity |
|
||
| Select | Brand | Catalog No. | Product Name | Pack Size | Type | Field of Research | Specification | Quantity | Price(USD) | |
| 1 | Leading Biology | APG02467G | CCK4 / PTK7 Antibody (clone 4F9) | 50 μl | Monoclonal Antibodies |
|
$495.00 | Add Ask | ||
| 2 | Leading Biology | AMM04683G | GALT Antibody (clone 4C11) | 50 μg | Monoclonal Antibodies |
|
$545.00 | Add Ask | ||
| 3 | Leading Biology | AMM01402G | Vimentin (Mesenchymal Cell Marker) Antibody - With BSA and Azide | 50 ug | Monoclonal Antibodies |
|
$395.00 | Add Ask | ||
| 4 | Leading Biology | APR08280G | LTA4H / LTA4 Antibody (clone 9G8) | 50 μl | Monoclonal Antibodies |
|
$495.00 | Add Ask | ||
| 5 | Leading Biology | AMM00172G | CD1a / HTA1 (Mature Langerhans Cells Marker) Antibody - With BSA and Azide | 50 ug | Monoclonal Antibodies |
|
$395.00 | Add Ask | ||
| 6 | Leading Biology | AMM05750G | CEBPA Antibody | 100 μl | Monoclonal Antibodies |
|
$545.00 | Add Ask |
Leading Biology Inc.
2600 Hilltop DR, Building G, B Suite C138
Richmond, CA, 94806
Tel: 1-661-524(LBI)-0262
Email: info@leadingbiology.com
Complete this form and click send to ask us a question, request a quote or simply say hello.

You have 0 item in your cart

You have 0 item in your inquiry list