> Antigen, Antibodies, ELISA, Western Blot > Primary Antibody > Monoclonal Antibodies > DARPP-32 AntibodyBrand |
Leading Biology | Catalog Number |
APR07501G |
Product Type |
Monoclonal Antibodies | Field of Research |
|
Product Overview |
We constantly strive to ensure we provide our customers with the best antibodies. As a result of this work we offer this antibody in purified format.
We are in the process of updating our datasheets. If you have any questions regarding this update, please feel free to contact our technical support team.
This product is a high quality DARPP-32 antibody.
|
||
Molecular Weight |
22963 Da
|
||
Cellular Localization |
Antigen Cellular Localization:
Cytoplasm.
|
||
Host |
Rabbit
|
||
Species Reactivity |
Human, Mouse, Rat
|
||
Target |
A synthetic peptide corresponding to residues near the N-term of human DARPP-32 was used as immunogen.
|
||
Clone |
EP720Y
|
||
Symbol |
DARPP32
|
||
GeneID |
|||
UniProt ID |
|||
Function |
Inhibitor of protein-phosphatase 1.
|
||
Summary |
The 32kDa dopamine and cyclic adenosine 3',5'-monophosphate-regulated phosphoprotein (DARPP-32) can either function as a serine/threonine kinase or as a serine/threonine phosphatase depending upon which particular amino acid residue is phosphorylated (1). When phosphorylated by protein kinase A (PKA) at threonine 34, DARPP-32 becomes a potent inhibitor of protein phosphatase-1 (2-3). Alternatively, when phosphorylated at threonine 75 by cyclin-dependent kinase 5(Cdk5), DARPP-32 is converted into an inhibitor of PKA (1). DARPP-32 and truncated DARPP (t-DARPP) are overexpressed in gastric cancers (4).
|
||
Form |
50 mM Tris-Glycine (pH 7.4), 0.15 M NaCl, 40% Glycerol, 0.01% sodium azide and 0.05% BSA. |
||
Storage & Stability |
Store at +4°C short term. For long-term storage, aliquot and store at -20°C or below. Stable for 12 months at -20°C. Avoid repeated freeze-thaw cycles.
|
||
Applications |
WB, IHC
|
||
Dilution |
WB~~1:1000~10000
IHC~~1:250~500
|
||
Synonyms |
Protein phosphatase 1 regulatory subunit 1B, DARPP-32, Dopamine- and cAMP-regulated neuronal phosphoprotein, PPP1R1B, DARPP32
|
||
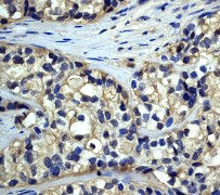
Images |
A. Western blot analysis on rat brain lysate using anti-DARPP-32 RabMAb (Cat. APR07501G), dilution 1: 50,000.
B. Immunohistochemical analysis of paraffin-embedded human breast adenocarcinoma using anti-DARPP-32 RabMAb (Cat. APR07501G). |
||
Specification |
|||
Quantity |
|
||
| Select | Brand | Catalog No. | Product Name | Pack Size | Type | Field of Research | Specification | Quantity | Price(USD) | |
| 1 | Leading Biology | APG02467G | CCK4 / PTK7 Antibody (clone 4F9) | 50 μl | Monoclonal Antibodies |
|
$495.00 | Add Ask | ||
| 2 | Leading Biology | AMM04683G | GALT Antibody (clone 4C11) | 50 μg | Monoclonal Antibodies |
|
$545.00 | Add Ask | ||
| 3 | Leading Biology | AMM01402G | Vimentin (Mesenchymal Cell Marker) Antibody - With BSA and Azide | 50 ug | Monoclonal Antibodies |
|
$395.00 | Add Ask | ||
| 4 | Leading Biology | APR08280G | LTA4H / LTA4 Antibody (clone 9G8) | 50 μl | Monoclonal Antibodies |
|
$495.00 | Add Ask | ||
| 5 | Leading Biology | AMM00172G | CD1a / HTA1 (Mature Langerhans Cells Marker) Antibody - With BSA and Azide | 50 ug | Monoclonal Antibodies |
|
$395.00 | Add Ask | ||
| 6 | Leading Biology | AMM05750G | CEBPA Antibody | 100 μl | Monoclonal Antibodies |
|
$545.00 | Add Ask |
Leading Biology Inc.
2600 Hilltop DR, Building G, B Suite C138
Richmond, CA, 94806
Tel: 1-661-524(LBI)-0262
Email: info@leadingbiology.com
Complete this form and click send to ask us a question, request a quote or simply say hello.

You have 0 item in your cart

You have 0 item in your inquiry list