> Antigen, Antibodies, ELISA, Western Blot > Primary Antibody > Monoclonal Antibodies > Cytochrome C AntibodyBrand |
Leading Biology | Catalog Number |
APR07478G |
Product Type |
Monoclonal Antibodies | Field of Research |
|
Product Overview |
We constantly strive to ensure we provide our customers with the best antibodies. As a result of this work we offer this antibody in purified format.
We are in the process of updating our datasheets. If you have any questions regarding this update, please feel free to contact our technical support team.
This product is a high quality Cytochrome C antibody.
|
||
Molecular Weight |
11749 Da
|
||
Cellular Localization |
Antigen Cellular Localization:
Mitochondrion intermembrane space. Note=Loosely associated with the inner membrane
|
||
Host |
Rabbit
|
||
Species Reactivity |
Human
|
||
Target |
A synthetic peptide corresponding to residues near the N-terminus of human Cytochrome C was used as an immunogen.
|
||
Clone |
EP1326Y
|
||
Symbol |
CYC
|
||
GeneID |
|||
UniProt ID |
|||
Function |
Electron carrier protein. The oxidized form of the cytochrome c heme group can accept an electron from the heme group of the cytochrome c1 subunit of cytochrome reductase. Cytochrome c then transfers this electron to the cytochrome oxidase complex, the final protein carrier in the mitochondrial electron-transport chain.
|
||
Summary |
Cytochrome C is located in the mitochondria of all aerobic cells and is involved in the electron transport system that functions in oxidative phosphorylation. It accepts electrons from cytochrome b and transfers them to cytochrome oxidase. In the process, the iron of the heme group, which is identical to that of hemoglobin and myoglobin, shifts from the ferrous to the ferric state (1). Recent progress in studies on apoptosis has revealed that cytochrome C is a pro-apoptotic factor. It is released from its places on the outer surface of the inner mitochondrial membrane at early steps of apoptosis and, combining with some cytosolic proteins, activates conversion of the latent apoptosis-promoting protease pro-caspase-9 to its active form. Cytochrome C release can be initiated by the pro-apoptotic protein Bax. This process is blocked by the anti-apoptotic proteins Bcl-2 and Bcl-xL (2). Also, differences in amino acid composition of cytochrome c have also been used as markers of biochemical evolution.
|
||
Form |
50 mM Tris-Glycine (pH 7.4), 0.15 M NaCl, 40% Glycerol, 0.01% sodium azide and 0.05% BSA. |
||
Storage & Stability |
Store at +4°C short term. For long-term storage, aliquot and store at -20°C or below. Stable for 12 months at -20°C. Avoid repeated freeze-thaw cycles.
|
||
Applications |
WB, IHC
|
||
Dilution |
WB~~1:2000~10000
IHC~~1:100~250
|
||
Synonyms |
Cytochrome c, CYCS, CYC
|
||
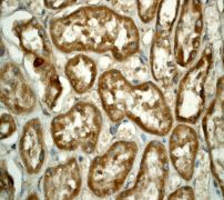
Images |
A. Western blot analysis on (A) HeLa (B) COS and (C) L929 cell lysate using anti-Cytochrome C RabMAb (Cat. APR07478G), dilution 1:200
B. Immunohistochemical staining of paraffin-embedded human kidney using anti-Cytochrome C RabMAb (Cat. APR07478G). |
||
Specification |
|||
Quantity |
|
||
| Select | Brand | Catalog No. | Product Name | Pack Size | Type | Field of Research | Specification | Quantity | Price(USD) | |
| 1 | Leading Biology | APG02467G | CCK4 / PTK7 Antibody (clone 4F9) | 50 μl | Monoclonal Antibodies |
|
$495.00 | Add Ask | ||
| 2 | Leading Biology | AMM04683G | GALT Antibody (clone 4C11) | 50 μg | Monoclonal Antibodies |
|
$545.00 | Add Ask | ||
| 3 | Leading Biology | AMM01402G | Vimentin (Mesenchymal Cell Marker) Antibody - With BSA and Azide | 50 ug | Monoclonal Antibodies |
|
$395.00 | Add Ask | ||
| 4 | Leading Biology | APR08280G | LTA4H / LTA4 Antibody (clone 9G8) | 50 μl | Monoclonal Antibodies |
|
$495.00 | Add Ask | ||
| 5 | Leading Biology | AMM00172G | CD1a / HTA1 (Mature Langerhans Cells Marker) Antibody - With BSA and Azide | 50 ug | Monoclonal Antibodies |
|
$395.00 | Add Ask | ||
| 6 | Leading Biology | AMM05750G | CEBPA Antibody | 100 μl | Monoclonal Antibodies |
|
$545.00 | Add Ask |
Leading Biology Inc.
2600 Hilltop DR, Building G, B Suite C138
Richmond, CA, 94806
Tel: 1-661-524(LBI)-0262
Email: info@leadingbiology.com
Complete this form and click send to ask us a question, request a quote or simply say hello.

You have 0 item in your cart

You have 0 item in your inquiry list