> Antigen, Antibodies, ELISA, Western Blot > Primary Antibody > Monoclonal Antibodies > CD11b/ITAM AntibodyBrand |
Leading Biology | Catalog Number |
AMM05712G |
Product Type |
Monoclonal Antibodies | Field of Research |
|
Product Overview |
We constantly strive to ensure we provide our customers with the best antibodies. As a result of this work we offer this antibody in purified format.
We are in the process of updating our datasheets. If you have any questions regarding this update, please feel free to contact our technical support team.
This product is a high quality CD11b/ITAM antibody.
|
||
Molecular Weight |
127179 Da
|
||
Cellular Localization |
Antigen Cellular Localization:
Membrane; Single-pass type I membrane protein
|
||
Host |
Rabbit
|
||
Species Reactivity |
Human
|
||
Target |
A synthetic peptide corresponding to residues in human CD11b was used as an immunogen.
|
||
Clone |
EPR1344
|
||
Symbol |
CD11B, CR3A
|
||
GeneID |
|||
UniProt ID |
|||
Function |
Integrin alpha-M/beta-2 is implicated in various adhesive interactions of monocytes, macrophages and granulocytes as well as in mediating the uptake of complement-coated particles. It is identical with CR-3, the receptor for the iC3b fragment of the third complement component. It probably recognizes the R-G-D peptide in C3b. Integrin alpha-M/beta-2 is also a receptor for fibrinogen, factor X and ICAM1. It recognizes P1 and P2 peptides of fibrinogen gamma chain.
|
||
Summary |
Integrin alpha-M (ITAM, ITGAM, CD11b, MAC-1 alpha subunit, CR3 alpha chain) belongs to integrin alpha chain family and it is predominately presented in human myeloid cells, NK1 cells, monocytes, and granulocytes. The alpha subunit of ITAM/beta-2 complex (CD11b/CD18, Mac-1), is complex is a receptor for fibrinogen (binding to P1 and P1 peptides of gamma chain), factor X, and ICAM1. ITAM/beta-2 is implicated in adhesive interactions of monocytes, macrophages, and granulocytes. It is also linked to mediation of complement-coated particle uptake (2).
|
||
Form |
50 mM Tris-Glycine (pH 7.4), 0.15 M NaCl, 40% Glycerol, 0.01% sodium azide and 0.05% BSA. |
||
Storage & Stability |
Store at +4°C short term. For long-term storage, aliquot and store at -20°C or below. Stable for 12 months at -20°C. Avoid repeated freeze-thaw cycles.
|
||
Applications |
WB, IHC
|
||
Dilution |
WB~~1:2000~5000
IHC~~1:100~250
|
||
Synonyms |
Integrin alpha-M, CD11 antigen-like family member B, CR-3 alpha chain, Cell surface glycoprotein MAC-1 subunit alpha, Leukocyte adhesion receptor MO1, Neutrophil adherence receptor, CD11b, ITGAM, CD11B, CR3A
|
||
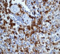
Images |
Western blot analysis on (A) THP-1 +TPA (B) TF-1 cell lysates using anti-CD11b RabMAb (Cat. AMM05712G).
Immunohistochemical analysis of paraffin-embedded human tonsil tissue using anti-CD11b RabMAb (Cat. AMM05712G).
Immunohistochemical analysis of paraffin-embedded human spleen tissue using anti-CD11b RabMAb (Cat. AMM05712G). |
||
Specification |
|||
Quantity |
|
||
| Select | Brand | Catalog No. | Product Name | Pack Size | Type | Field of Research | Specification | Quantity | Price(USD) | |
| 1 | Leading Biology | APG02467G | CCK4 / PTK7 Antibody (clone 4F9) | 50 μl | Monoclonal Antibodies |
|
$495.00 | Add Ask | ||
| 2 | Leading Biology | AMM04683G | GALT Antibody (clone 4C11) | 50 μg | Monoclonal Antibodies |
|
$545.00 | Add Ask | ||
| 3 | Leading Biology | AMM01402G | Vimentin (Mesenchymal Cell Marker) Antibody - With BSA and Azide | 50 ug | Monoclonal Antibodies |
|
$395.00 | Add Ask | ||
| 4 | Leading Biology | APR08280G | LTA4H / LTA4 Antibody (clone 9G8) | 50 μl | Monoclonal Antibodies |
|
$495.00 | Add Ask | ||
| 5 | Leading Biology | AMM00172G | CD1a / HTA1 (Mature Langerhans Cells Marker) Antibody - With BSA and Azide | 50 ug | Monoclonal Antibodies |
|
$395.00 | Add Ask | ||
| 6 | Leading Biology | AMM05750G | CEBPA Antibody | 100 μl | Monoclonal Antibodies |
|
$545.00 | Add Ask |
Leading Biology Inc.
2600 Hilltop DR, Building G, B Suite C138
Richmond, CA, 94806
Tel: 1-661-524(LBI)-0262
Email: info@leadingbiology.com
Complete this form and click send to ask us a question, request a quote or simply say hello.

You have 0 item in your cart

You have 0 item in your inquiry list