> Antigen, Antibodies, ELISA, Western Blot > Primary Antibody > Monoclonal Antibodies > Catenin (p120) Antibody Phospho (pY228)Brand |
Leading Biology | Catalog Number |
APR15274G |
Product Type |
Monoclonal Antibodies | Field of Research |
|
Product Overview |
We constantly strive to ensure we provide our customers with the best antibodies. As a result of this work we offer this antibody in purified format.
We are in the process of updating our datasheets. If you have any questions regarding this update, please feel free to contact our technical support team.
This product is a high quality Catenin (p120) antibody Phospho (pY228).
|
||
Molecular Weight |
108170 Da
|
||
Cellular Localization |
Antigen Cellular Localization:
Cytoplasm. Nucleus. Cell membrane. Note=Interaction with GLIS2 promotes nuclear translocation (By similarity). Detected at cell-cell contacts. NANOS1 induces its translocation from sites of cell-cell contact to the cytoplasm Isoforms 4A and 1AB are excluded from the nucleus. Isoform 2A: Nucleus.
|
||
Host |
Rabbit
|
||
Species Reactivity |
Human, Mouse, Rat
|
||
Target |
A synthetic phospho-peptide corresponding to residues surrounding Tyr228 of human p120 Catenin was used as immunogen. The antibody only detects p120 Catenin phosphorylated on Tyrosine 228.
|
||
Clone |
E205
|
||
Symbol |
KIAA0384
|
||
GeneID |
|||
UniProt ID |
|||
Function |
Binds to and inhibits the transcriptional repressor ZBTB33, which may lead to activation of target genes of the Wnt signaling pathway (By similarity). Associates with and regulates the cell adhesion properties of both C-, E- and N-cadherins, being critical for their surface stability. Implicated both in cell transformation by SRC and in ligand-induced receptor signaling through the EGF, PDGF, CSF-1 and ERBB2 receptors. Promotes GLIS2 C-terminal cleavage.
|
||
Summary |
Catenins are proteins that are linked to the cytoplasmic domain of transmembrane cadherins. p120 Catenin is one member of this Armadillo gene family of junctional plaque proteins (1-3). The association of catenins to cadherins produces a complex which is linked to the actin filament network, and which seems to be important for cadherins cell-adhesion properties. Recently it became clear that some catenins also mediate nuclear signaling (1). p120 Catenin is implicated both in cell transformation by SRC and in ligand-induced receptor signaling through the EGF, PDGF, CSF-1 and ERBB2 receptors.
|
||
Form |
50 mM Tris-Glycine (pH 7.4), 0.15 M NaCl, 40% Glycerol, 0.01% sodium azide and 0.05% BSA. |
||
Storage & Stability |
Store at +4°C short term. For long-term storage, aliquot and store at -20°C or below. Stable for 12 months at -20°C. Avoid repeated freeze-thaw cycles.
|
||
Applications |
WB, IHC
|
||
Dilution |
WB~~1:1000
IHC~~1:50
|
||
Synonyms |
Catenin delta-1, Cadherin-associated Src substrate, CAS, p120 catenin, p120(ctn), p120(cas), CTNND1, KIAA0384
|
||
Images |
A. Western blot analysis on HeLa cell lysate using anti- Phospho-p120 Catenin (Y228) RabMAb (Cat. APR15274G), dilution 1:5,000-20,000. Cell lysates were (1) untreated, (2) treated with Pervanadate, or (3) treated with Phosphatase.
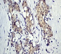
B. Immunohistochemical analysis of paraffin-embedded breast carcinoma using anti-Phospho-p120 Catenin (Y228) RabMAb (Cat. APR15274G). |
||
Specification |
|||
Quantity |
|
||
| Select | Brand | Catalog No. | Product Name | Pack Size | Type | Field of Research | Specification | Quantity | Price(USD) | |
| 1 | Leading Biology | APG02467G | CCK4 / PTK7 Antibody (clone 4F9) | 50 μl | Monoclonal Antibodies |
|
$495.00 | Add Ask | ||
| 2 | Leading Biology | AMM04683G | GALT Antibody (clone 4C11) | 50 μg | Monoclonal Antibodies |
|
$545.00 | Add Ask | ||
| 3 | Leading Biology | AMM01402G | Vimentin (Mesenchymal Cell Marker) Antibody - With BSA and Azide | 50 ug | Monoclonal Antibodies |
|
$395.00 | Add Ask | ||
| 4 | Leading Biology | APR08280G | LTA4H / LTA4 Antibody (clone 9G8) | 50 μl | Monoclonal Antibodies |
|
$495.00 | Add Ask | ||
| 5 | Leading Biology | AMM00172G | CD1a / HTA1 (Mature Langerhans Cells Marker) Antibody - With BSA and Azide | 50 ug | Monoclonal Antibodies |
|
$395.00 | Add Ask | ||
| 6 | Leading Biology | AMM05750G | CEBPA Antibody | 100 μl | Monoclonal Antibodies |
|
$545.00 | Add Ask |
Leading Biology Inc.
2600 Hilltop DR, Building G, B Suite C138
Richmond, CA, 94806
Tel: 1-661-524(LBI)-0262
Email: info@leadingbiology.com
Complete this form and click send to ask us a question, request a quote or simply say hello.

You have 0 item in your cart

You have 0 item in your inquiry list