> Antigen, Antibodies, ELISA, Western Blot > Primary Antibody > Monoclonal Antibodies > Caspase-9 Antibody (Pro)Brand |
Leading Biology | Catalog Number |
APG02422G |
Product Type |
Monoclonal Antibodies | Field of Research |
|
Product Overview |
We constantly strive to ensure we provide our customers with the best antibodies. As a result of this work we offer this antibody in purified format.
We are in the process of updating our datasheets. If you have any questions regarding this update, please feel free to contact our technical support team.
This product is a high quality Caspase-9 antibody (Pro).
|
||
Molecular Weight |
46281 Da
|
||
Host |
Rabbit
|
||
Species Reactivity |
Human, Mouse
|
||
Target |
A synthetic peptide corresponding to C-terminus of human Caspase-9 p35 subunit was used as immunogen. The antibody should recognize only pro-form (46kDa) .
|
||
Clone |
E23
|
||
Symbol |
MCH6
|
||
GeneID |
|||
UniProt ID |
|||
Function |
Involved in the activation cascade of caspases responsible for apoptosis execution. Binding of caspase-9 to Apaf- 1 leads to activation of the protease which then cleaves and activates caspase-3. Promotes DNA damage-induced apoptosis in a ABL1/c-Abl-dependent manner. Proteolytically cleaves poly(ADP- ribose) polymerase (PARP).
|
||
Summary |
Caspase-9 (ICE-LAP6, Mch-6, Apaf-3) is a member of the cysteine aspartic acid protease, or caspase, family. Pro-Caspase-9 exists as a 46 kDa isomer that is cleaved by apoptotic stimulation, and functions as the major initiator caspase in programmed cell death, or apoptosis (1-4). Upon stimulation, cytochrome c is released from mitochondria, and associates with the Pro-Caspase-9/Apaf 1 complex. This complex in turn activates Pro-Caspase-9 by cleaving it into an active 35 kDa fragment and a small 10 kDa fragment (1,2). Activated Caspase-9 cleaves Caspase-3 as well as poly (ADP-ribose) polymerase (PARP) to initiate a caspase cascade and apoptosis (3,4).
|
||
Form |
50 mM Tris-Glycine (pH 7.4), 0.15 M NaCl, 40% Glycerol, 0.01% sodium azide and 0.05% BSA. |
||
Storage & Stability |
Store at +4°C short term. For long-term storage, aliquot and store at -20°C or below. Stable for 12 months at -20°C. Avoid repeated freeze-thaw cycles.
|
||
Applications |
WB, IHC
|
||
Dilution |
WB~~1:5000~20000
IHC~~1:50~100
|
||
Synonyms |
Caspase-9, CASP-9, Apoptotic protease Mch-6, Apoptotic protease-activating factor 3, APAF-3, ICE-like apoptotic protease 6, ICE-LAP6, Caspase-9 subunit p35, Caspase-9 subunit p10, CASP9, MCH6
|
||
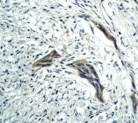
Images |
A. Western blot analysis on HeLa cell lysate using anti-Caspase-9 (pro) RabMAb (Cat. APG02422G), dilution 1:500.
B. Immunohistochemical staining of paraffin-embedded human cervical carcinoma using anti-Caspase-9 (pro/p35) RabMAb (Cat. APG02422G). |
||
Specification |
|||
Quantity |
|
||
| Select | Brand | Catalog No. | Product Name | Pack Size | Type | Field of Research | Specification | Quantity | Price(USD) | |
| 1 | Leading Biology | APG02467G | CCK4 / PTK7 Antibody (clone 4F9) | 50 μl | Monoclonal Antibodies |
|
$495.00 | Add Ask | ||
| 2 | Leading Biology | AMM04683G | GALT Antibody (clone 4C11) | 50 μg | Monoclonal Antibodies |
|
$545.00 | Add Ask | ||
| 3 | Leading Biology | AMM01402G | Vimentin (Mesenchymal Cell Marker) Antibody - With BSA and Azide | 50 ug | Monoclonal Antibodies |
|
$395.00 | Add Ask | ||
| 4 | Leading Biology | APR08280G | LTA4H / LTA4 Antibody (clone 9G8) | 50 μl | Monoclonal Antibodies |
|
$495.00 | Add Ask | ||
| 5 | Leading Biology | AMM00172G | CD1a / HTA1 (Mature Langerhans Cells Marker) Antibody - With BSA and Azide | 50 ug | Monoclonal Antibodies |
|
$395.00 | Add Ask | ||
| 6 | Leading Biology | AMM05750G | CEBPA Antibody | 100 μl | Monoclonal Antibodies |
|
$545.00 | Add Ask |
Leading Biology Inc.
2600 Hilltop DR, Building G, B Suite C138
Richmond, CA, 94806
Tel: 1-661-524(LBI)-0262
Email: info@leadingbiology.com
Complete this form and click send to ask us a question, request a quote or simply say hello.

You have 0 item in your cart

You have 0 item in your inquiry list