> Antigen, Antibodies, ELISA, Western Blot > Primary Antibody > Monoclonal Antibodies > Caspase-7 Antibody (Pro)Brand |
Leading Biology | Catalog Number |
APG02397G |
Product Type |
Monoclonal Antibodies | Field of Research |
|
Product Overview |
We constantly strive to ensure we provide our customers with the best antibodies. As a result of this work we offer this antibody in purified format.
We are in the process of updating our datasheets. If you have any questions regarding this update, please feel free to contact our technical support team.
This product is a high quality Caspase-7 antibody (Pro).
|
||
Molecular Weight |
34277 Da
|
||
Cellular Localization |
Antigen Cellular Localization:
Cytoplasm.
|
||
Host |
Rabbit
|
||
Species Reactivity |
Human
|
||
Target |
A synthetic peptide corresponding to N-terminal residues of human Pro-Caspase-7 was used as immunogen. The antibody only recognizes the pro-form of Caspase-7. It does not react with the cleaved forms (active enzyme) of Caspase-7.
|
||
Clone |
Y33
|
||
Symbol |
MCH3
|
||
GeneID |
|||
UniProt ID |
|||
Function |
Involved in the activation cascade of caspases responsible for apoptosis execution. Cleaves and activates sterol regulatory element binding proteins (SREBPs). Proteolytically cleaves poly(ADP-ribose) polymerase (PARP) at a '216-Asp-|-Gly- 217' bond. Overexpression promotes programmed cell death.
|
||
Summary |
Caspases are a family of cytosolic aspartate-specific cysteine proteases involved in the initiation and execution of apoptosis. Caspase-7 (CMH-1, Mch3, ICE-LAP3) is an effector caspase involved in the activation cascade for apoptosis execution (1,2,3). Pro-Caspase-7 is a 35-kDa protein localized to the cytoplasm and expressed in a variety of tissues and cell lines (1). Upon activation, Caspase-7 is translocated to the mitochondria, and proceeds to proteolytically cleave poly(ADP-ribose) polymerase (PARP) (2,3) and endoplasmic reticular-specific substrate, sterol regulatory element-binding protein 1 (4).
|
||
Form |
50 mM Tris-Glycine (pH 7.4), 0.15 M NaCl, 40% Glycerol, 0.01% sodium azide and 0.05% BSA. |
||
Storage & Stability |
Store at +4°C short term. For long-term storage, aliquot and store at -20°C or below. Stable for 12 months at -20°C. Avoid repeated freeze-thaw cycles.
|
||
Applications |
WB, IHC
|
||
Dilution |
WB~~1:1000
IHC~~1:50
|
||
Synonyms |
Caspase-7, CASP-7, Apoptotic protease Mch-3, CMH-1, ICE-like apoptotic protease 3, ICE-LAP3, Caspase-7 subunit p20, Caspase-7 subunit p11, CASP7, MCH3
|
||
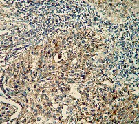
Images |
A. Western blot analysis on Jurkat cell lysate using anti-Pro-Caspase-7 RabMAb (Cat. APG02397G), 1:1,000 dilution.
B. Immunohistochemical analysis of paraffin-embedded human lung squamous carcinoma using anti- anti-Pro-Caspase-7 RabMAb (Cat. APG02397G). |
||
Specification |
|||
Quantity |
|
||
| Select | Brand | Catalog No. | Product Name | Pack Size | Type | Field of Research | Specification | Quantity | Price(USD) | |
| 1 | Leading Biology | APG02467G | CCK4 / PTK7 Antibody (clone 4F9) | 50 μl | Monoclonal Antibodies |
|
$495.00 | Add Ask | ||
| 2 | Leading Biology | AMM04683G | GALT Antibody (clone 4C11) | 50 μg | Monoclonal Antibodies |
|
$545.00 | Add Ask | ||
| 3 | Leading Biology | AMM01402G | Vimentin (Mesenchymal Cell Marker) Antibody - With BSA and Azide | 50 ug | Monoclonal Antibodies |
|
$395.00 | Add Ask | ||
| 4 | Leading Biology | APR08280G | LTA4H / LTA4 Antibody (clone 9G8) | 50 μl | Monoclonal Antibodies |
|
$495.00 | Add Ask | ||
| 5 | Leading Biology | AMM00172G | CD1a / HTA1 (Mature Langerhans Cells Marker) Antibody - With BSA and Azide | 50 ug | Monoclonal Antibodies |
|
$395.00 | Add Ask | ||
| 6 | Leading Biology | AMM05750G | CEBPA Antibody | 100 μl | Monoclonal Antibodies |
|
$545.00 | Add Ask |
Leading Biology Inc.
2600 Hilltop DR, Building G, B Suite C138
Richmond, CA, 94806
Tel: 1-661-524(LBI)-0262
Email: info@leadingbiology.com
Complete this form and click send to ask us a question, request a quote or simply say hello.

You have 0 item in your cart

You have 0 item in your inquiry list