> Antigen, Antibodies, ELISA, Western Blot > Primary Antibody > Monoclonal Antibodies > CaMKII AntibodyBrand |
Leading Biology | Catalog Number |
APG02345G |
Product Type |
Monoclonal Antibodies | Field of Research |
|
Product Overview |
We constantly strive to ensure we provide our customers with the best antibodies. As a result of this work we offer this antibody in purified format.
We are in the process of updating our datasheets. If you have any questions regarding this update, please feel free to contact our technical support team.
This product is a high quality CaMKII antibody.
|
||
Molecular Weight |
54088 Da
|
||
Cellular Localization |
Antigen Cellular Localization:
Cell junction, synapse, presynaptic cell membrane. Cell junction, synapse Note=Postsynaptic lipid rafts.
|
||
Host |
Rabbit
|
||
Species Reactivity |
Human, Mouse, Rat
|
||
Target |
A synthetic peptide corresponding to residues on human CaMKII was used as an immunogen. The peptide immunogen is highly conserved between CaMKII-alpha, -beta, -gamma, and -omega.
|
||
Clone |
EP1829Y
|
||
Symbol |
CAMKA, KIAA0968
|
||
GeneID |
|||
UniProt ID |
|||
Function |
CaM-kinase II (CAMK2) is a prominent kinase in the central nervous system that may function in long-term potentiation and neurotransmitter release. Member of the NMDAR signaling complex in excitatory synapses it may regulate NMDAR-dependent potentiation of the AMPAR and synaptic plasticity (By similarity).
|
||
Summary |
Calcium/calmodulin-dependent protein kinase II (CaMKII) is a widely distributed protein kinase that regulates numerous physiological functions. Inhibitors of CaMKII are useful tools for investigating the CaMKII functions (1). The synapse contains densely localized and interacting proteins that enable it to adapt to changing inputs. A Ca2+-sensitive protein complex involved in the regulation of AMPA receptor synaptic plasticity. The complex is comprised of MUPPI, a multi-PDZ domain-containing protein; SynGAP, a synaptic GTPase-activating protein; and the Ca2+/calmodulin-dependent kinase CaMKII. In synapses of hippocampal neurons, SynGAP and CaMKII are brought together by direct physical interaction with the PDZ domains of MUPP1, and in this complex, SynGAP is phosphorylated. Ca2+CaM binding to CaMKII dissociates it from the MUPP1 complex, and Ca2+ entering via the NMDAR drives the dephosphorylation of SynGAP (2).
|
||
Form |
50 mM Tris-Glycine (pH 7.4), 0.15 M NaCl, 40% Glycerol, 0.01% sodium azide and 0.05% BSA. |
||
Storage & Stability |
Store at +4°C short term. For long-term storage, aliquot and store at -20°C or below. Stable for 12 months at -20°C. Avoid repeated freeze-thaw cycles.
|
||
Applications |
WB, IHC
|
||
Dilution |
WB~~1:1000~5000
IHC~~1:100~250
|
||
Synonyms |
Calcium/calmodulin-dependent protein kinase type II subunit alpha, CaM kinase II subunit alpha, CaMK-II subunit alpha, CAMK2A, CAMKA, KIAA0968
|
||
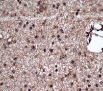
Images |
A. Western blot analysis on (A) mouse brain and (B) rat brain lysates using anti-CaMKII RabMAb (Cat. APG02345G), dilution 1:20,000.
B. Immunohistochemical staining of paraffin-embedded human brain carcinoma using anti-CaMKII RabMAb (Cat. APG02345G). |
||
Specification |
|||
Quantity |
|
||
| Select | Brand | Catalog No. | Product Name | Pack Size | Type | Field of Research | Specification | Quantity | Price(USD) | |
| 1 | Leading Biology | APG02467G | CCK4 / PTK7 Antibody (clone 4F9) | 50 μl | Monoclonal Antibodies |
|
$495.00 | Add Ask | ||
| 2 | Leading Biology | AMM04683G | GALT Antibody (clone 4C11) | 50 μg | Monoclonal Antibodies |
|
$545.00 | Add Ask | ||
| 3 | Leading Biology | AMM01402G | Vimentin (Mesenchymal Cell Marker) Antibody - With BSA and Azide | 50 ug | Monoclonal Antibodies |
|
$395.00 | Add Ask | ||
| 4 | Leading Biology | APR08280G | LTA4H / LTA4 Antibody (clone 9G8) | 50 μl | Monoclonal Antibodies |
|
$495.00 | Add Ask | ||
| 5 | Leading Biology | AMM00172G | CD1a / HTA1 (Mature Langerhans Cells Marker) Antibody - With BSA and Azide | 50 ug | Monoclonal Antibodies |
|
$395.00 | Add Ask | ||
| 6 | Leading Biology | AMM05750G | CEBPA Antibody | 100 μl | Monoclonal Antibodies |
|
$545.00 | Add Ask |
Leading Biology Inc.
2600 Hilltop DR, Building G, B Suite C138
Richmond, CA, 94806
Tel: 1-661-524(LBI)-0262
Email: info@leadingbiology.com
Complete this form and click send to ask us a question, request a quote or simply say hello.

You have 0 item in your cart

You have 0 item in your inquiry list