> Antigen, Antibodies, ELISA, Western Blot > Primary Antibody > Monoclonal Antibodies > Calpactin-I Antibody (light chain)Brand |
Leading Biology | Catalog Number |
APR11554G |
Product Type |
Monoclonal Antibodies | Field of Research |
|
Product Overview |
We constantly strive to ensure we provide our customers with the best antibodies. As a result of this work we offer this antibody in purified format.
We are in the process of updating our datasheets. If you have any questions regarding this update, please feel free to contact our technical support team.
This product is a high quality Calpactin-I antibody (light chain).
|
||
Molecular Weight |
11203 Da
|
||
Host |
Rabbit
|
||
Species Reactivity |
Human
|
||
Target |
A synthetic peptide corresponding to residues in human Calpactin I light chain/S100A10 was used as an immunogen.
|
||
Clone |
EPR3317
|
||
Symbol |
ANX2LG, CAL1L, CLP11
|
||
GeneID |
|||
UniProt ID |
|||
Function |
Because S100A10 induces the dimerization of ANXA2/p36, it may function as a regulator of protein phosphorylation in that the ANXA2 monomer is the preferred target (in vitro) of tyrosine- specific kinase.
|
||
Summary |
S100 proteins are low-molecular-weight calcium-binding proteins of the EF-hand superfamily and appear to be involved in the regulation of a number of cellular processes such as cell cycle progression and differentiation (1). The Calpactin I light chain (S100 calcium-binding protein A10; S100A10) is a member of the S100 family and it forms a heterotetrameric complex with another calcium-binding protein, annexin II(2). S100A10 is present in basal and spinous cells, in the cytoplasm, and is associated with the plasma membrane (3). The basic unit for S100A10 is a tight, non-covalent dimmer (4). S100A10, as well as a few other members of the S100 family, are suggested as transglutaminase substrates. Also, S100 proteins have been reported to localize to the plasma membrane in differentiated keratinocytes, suggesting a role in regulating calcium-dependent, membrane-associated events (3).
|
||
Form |
50 mM Tris-Glycine (pH 7.4), 0.15 M NaCl, 40% Glycerol, 0.01% sodium azide and 0.05% BSA. |
||
Storage & Stability |
Store at +4°C short term. For long-term storage, aliquot and store at -20°C or below. Stable for 12 months at -20°C. Avoid repeated freeze-thaw cycles.
|
||
Applications |
WB, IHC
|
||
Dilution |
WB~~1:500~1000
IHC~~1:100~250
|
||
Synonyms |
Protein S100-A10, Calpactin I light chain, Calpactin-1 light chain, Cellular ligand of annexin II, S100 calcium-binding protein A10, p10 protein, p11, S100A10, ANX2LG, CAL1L, CLP11
|
||
Images |
A. Western blot analysis on (A) HaCaT, (B) A431 and (C) HT-29 cell lysates using anti-Calpactin I Light Chain/S100A10 RabMAb (Cat. APR11554G), dilution 1:10,000.
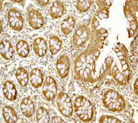
B.Immunohistochemical analysis of paraffin-embedded human colon using anti-Calpactin I light chain/ S100A10 RabMAb (Cat. APR11554G).
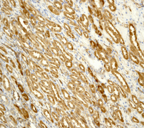
C.Immunohistochemical analysis of paraffin-embedded human kidneys using anti- Calpactin I light chain/ S100A10 RabMAb (Cat. APR11554G). |
||
Specification |
|||
Quantity |
|
||
| Select | Brand | Catalog No. | Product Name | Pack Size | Type | Field of Research | Specification | Quantity | Price(USD) | |
| 1 | Leading Biology | APG02467G | CCK4 / PTK7 Antibody (clone 4F9) | 50 μl | Monoclonal Antibodies |
|
$495.00 | Add Ask | ||
| 2 | Leading Biology | AMM04683G | GALT Antibody (clone 4C11) | 50 μg | Monoclonal Antibodies |
|
$545.00 | Add Ask | ||
| 3 | Leading Biology | AMM01402G | Vimentin (Mesenchymal Cell Marker) Antibody - With BSA and Azide | 50 ug | Monoclonal Antibodies |
|
$395.00 | Add Ask | ||
| 4 | Leading Biology | APR08280G | LTA4H / LTA4 Antibody (clone 9G8) | 50 μl | Monoclonal Antibodies |
|
$495.00 | Add Ask | ||
| 5 | Leading Biology | AMM00172G | CD1a / HTA1 (Mature Langerhans Cells Marker) Antibody - With BSA and Azide | 50 ug | Monoclonal Antibodies |
|
$395.00 | Add Ask | ||
| 6 | Leading Biology | AMM05750G | CEBPA Antibody | 100 μl | Monoclonal Antibodies |
|
$545.00 | Add Ask |
Leading Biology Inc.
2600 Hilltop DR, Building G, B Suite C138
Richmond, CA, 94806
Tel: 1-661-524(LBI)-0262
Email: info@leadingbiology.com
Complete this form and click send to ask us a question, request a quote or simply say hello.

You have 0 item in your cart

You have 0 item in your inquiry list