> Antigen, Antibodies, ELISA, Western Blot > Primary Antibody > Monoclonal Antibodies > Calcium/Calmodulin Kinase IV (CaMKIV) AntibodyBrand |
Leading Biology | Catalog Number |
APG03199G |
Product Type |
Monoclonal Antibodies | Field of Research |
|
Product Overview |
We constantly strive to ensure we provide our customers with the best antibodies. As a result of this work we offer this antibody in purified format.
We are in the process of updating our datasheets. If you have any questions regarding this update, please feel free to contact our technical support team.
This product is a high quality Calcium/Calmodulin Kinase IV (CaMKIV) antibody.
|
||
Molecular Weight |
51926 Da
|
||
Cellular Localization |
Antigen Cellular Localization:
Cytoplasm. Nucleus. Note=Localized in hippocampal neuron nuclei. In spermatids, associated with chromatin and nuclear matrix (By similarity).
|
||
Host |
Rabbit
|
||
Species Reactivity |
Human
|
||
Target |
A synthetic peptide corresponding to residues near the C-terminus of human CaMKIV was used as an immunogen.
|
||
Clone |
EP2565AY
|
||
Symbol |
CAMK, CAMK-GR, CAMKIV
|
||
GeneID |
|||
UniProt ID |
|||
Function |
Calcium/calmodulin-dependent protein kinase that operates in the calcium-triggered CaMKK-CaMK4 signaling cascade and regulates, mainly by phosphorylation, the activity of several transcription activators, such as CREB1, MEF2D, JUN and RORA, which play pivotal roles in immune response, inflammation, and memory consolidation. In the thymus, regulates the CD4(+)/CD8(+) double positive thymocytes selection threshold during T-cell ontogeny. In CD4 memory T-cells, is required to link T-cell antigen receptor (TCR) signaling to the production of IL2, IFNG and IL4 (through the regulation of CREB and MEF2). Regulates the differentiation and survival phases of osteoclasts and dendritic cells (DCs). Mediates DCs survival by linking TLR4 and the regulation of temporal expression of BCL2. Phosphorylates the transcription activator CREB1 on 'Ser-133' in hippocampal neuron nuclei and contribute to memory consolidation and long term potentiation (LTP) in the hippocampus. Can activate the MAP kinases MAPK1/ERK2, MAPK8/JNK1 and MAPK14/p38 and stimulate transcription through the phosphorylation of ELK1 and ATF2. Can also phosphorylate in vitro CREBBP, PRM2, MEF2A and STMN1/OP18.
|
||
Summary |
Ca(2+)/calmodulin-dependent protein kinase IV (CaMKIV) is a multifunctional protein kinase expressed abundantly in the central nervous system. Because changes in intracellular Ca(2+) concentrations affect progression through the mitotic cell cycle, enhanced expression of CaMKIV has been reported in small cell lung carcinoma and hepatocellular carcinoma (1). Multifunctional Ca2+/calmodulin kinase IV is enriched in neurons and T lymphocytes. The kinase is absent from primary human B lymphocytes but is expressed in Epstein-Barr virus (EBV)-transformed B-lymphoblastoid cell lines, suggesting that expression of the kinase can be upregulated by an EBV gene products. In view of the key role played by LMP1 in B-lymphocyte immortalization by EBV, findings implicate Ca2+/calmodulin kinase IV as a potential mediator of B-lymphocyte growth transformation (2). Ca2+/calmodulin kinase IV can suppress the MT-regulating activity of Op18 by phosphorylation on Ser-16. These results show that Op18 phosphorylation by Ca2+/calmodulin kinase IV may couple alterations of MT dynamics in response to external signals that involve Ca2+ (3).
|
||
Form |
50 mM Tris-Glycine (pH 7.4), 0.15 M NaCl, 40% Glycerol, 0.01% sodium azide and 0.05% BSA. |
||
Storage & Stability |
Store at +4°C short term. For long-term storage, aliquot and store at -20°C or below. Stable for 12 months at -20°C. Avoid repeated freeze-thaw cycles.
|
||
Applications |
WB, IHC
|
||
Dilution |
WB~~1:100000~500000
IHC~~1:250~500
|
||
Synonyms |
Calcium/calmodulin-dependent protein kinase type IV, CaMK IV, CaM kinase-GR, CAMK4, CAMK, CAMK-GR, CAMKIV
|
||
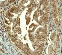
Images |
A. Western blot analysis on (A) Jurkat and (B) SH-SY5Y cell lysate using anti- CaMKIV RabMAb (Cat. APG03199G), dilution 1:1,000,000.
B. Immunohistochemical analysis of paraffin-embedded human brain tissue using anti- CaMKIV RabMAb (Cat. APG03199G)
C. Immunohistochemical analysis of paraffin-embedded human ovarian adenocarcinoma using anti-CaMKIV RabMAb(Cat. APG03199G) |
||
Specification |
|||
Quantity |
|
||
| Select | Brand | Catalog No. | Product Name | Pack Size | Type | Field of Research | Specification | Quantity | Price(USD) | |
| 1 | Leading Biology | APG02467G | CCK4 / PTK7 Antibody (clone 4F9) | 50 μl | Monoclonal Antibodies |
|
$495.00 | Add Ask | ||
| 2 | Leading Biology | AMM04683G | GALT Antibody (clone 4C11) | 50 μg | Monoclonal Antibodies |
|
$545.00 | Add Ask | ||
| 3 | Leading Biology | AMM01402G | Vimentin (Mesenchymal Cell Marker) Antibody - With BSA and Azide | 50 ug | Monoclonal Antibodies |
|
$395.00 | Add Ask | ||
| 4 | Leading Biology | APR08280G | LTA4H / LTA4 Antibody (clone 9G8) | 50 μl | Monoclonal Antibodies |
|
$495.00 | Add Ask | ||
| 5 | Leading Biology | AMM00172G | CD1a / HTA1 (Mature Langerhans Cells Marker) Antibody - With BSA and Azide | 50 ug | Monoclonal Antibodies |
|
$395.00 | Add Ask | ||
| 6 | Leading Biology | AMM05750G | CEBPA Antibody | 100 μl | Monoclonal Antibodies |
|
$545.00 | Add Ask |
Leading Biology Inc.
2600 Hilltop DR, Building G, B Suite C138
Richmond, CA, 94806
Tel: 1-661-524(LBI)-0262
Email: info@leadingbiology.com
Complete this form and click send to ask us a question, request a quote or simply say hello.

You have 0 item in your cart

You have 0 item in your inquiry list