> Antigen, Antibodies, ELISA, Western Blot > Primary Antibody > Monoclonal Antibodies > Bag-1 AntibodyBrand |
Leading Biology | Catalog Number |
APG02176G |
Product Type |
Monoclonal Antibodies | Field of Research |
|
Product Overview |
We constantly strive to ensure we provide our customers with the best antibodies. As a result of this work we offer this antibody in purified format.
We are in the process of updating our datasheets. If you have any questions regarding this update, please feel free to contact our technical support team.
This product is a high quality Bag-1 antibody.
|
||
Molecular Weight |
38779 Da
|
||
Cellular Localization |
Antigen Cellular Localization:
Isoform 1: Nucleus. Cytoplasm. Note=Isoform 1 localizes predominantly to the nucleus Isoform 4: Cytoplasm. Nucleus. Note=Isoform 4 localizes predominantly to the cytoplasm. The cellular background in which it is expressed can influence whether it resides primarily in the cytoplasm or is also found in the nucleus. In the presence of BCL2, localizes to intracellular membranes (what appears to be the nuclear envelope and perinuclear membranes) as well as punctate cytosolic structures suggestive of mitochondria
|
||
Host |
Rabbit
|
||
Species Reactivity |
Human, Rat
|
||
Target |
A synthetic peptide corresponding to residues following the repeat 7 of human Bag-1 was used as immunogen. The antibody should recognize all three isoforms of Bag-1 (Bag-1L, Bag-1M and Bag-1S).
|
||
Clone |
Y166
|
||
Symbol |
HAP
|
||
GeneID |
|||
UniProt ID |
|||
Function |
Inhibits the chaperone activity of HSP70/HSC70 by promoting substrate release. Inhibits the pro-apoptotic function of PPP1R15A, and has anti-apoptotic activity. Markedly increases the anti-cell death function of BCL2 induced by various stimuli.
|
||
Summary |
Members of the Bcl-2 family of proteins play varied stimulatory or inhibitory roles in the regulation of programmed cell death, or apoptosis. One member of this family, Bcl2-Interacting Protein-1 (BAG-1), functions in conjunction with Bcl-2 to inhibit apoptosis (1,2). BAG-1 is a heat shock 70 kDa (Hsp70)- binding protein (3) that is localized to either the cytosol, nucleus or both.
|
||
Form |
50 mM Tris-Glycine (pH 7.4), 0.15 M NaCl, 40% Glycerol, 0.01% sodium azide and 0.05% BSA. |
||
Storage & Stability |
Store at +4°C short term. For long-term storage, aliquot and store at -20°C or below. Stable for 12 months at -20°C. Avoid repeated freeze-thaw cycles.
|
||
Applications |
WB, IHC, IF
|
||
Dilution |
WB~~1:1000~10000
IHC~~1:100~250
|
||
Synonyms |
BAG family molecular chaperone regulator 1, BAG-1, Bcl-2-associated athanogene 1, BAG1, HAP
|
||
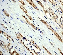
Images |
A. Western blot analysis on HeLa cell lysate using anti-Bag-1 RabMAb (Cat. APG02176G). Dilution 1:500
B. Immunohistochemical analysis of paraffin-embedded human prostate carcinoma using anti-Bag-1 RabMAb (Cat. APG02176G).
C. Immunofluorescent stsining of HeLa cells using anti-Bag-1 RabMAb (Cat. APG02176G). |
||
Specification |
|||
Quantity |
|
||
| Select | Brand | Catalog No. | Product Name | Pack Size | Type | Field of Research | Specification | Quantity | Price(USD) | |
| 1 | Leading Biology | APG02467G | CCK4 / PTK7 Antibody (clone 4F9) | 50 μl | Monoclonal Antibodies |
|
$495.00 | Add Ask | ||
| 2 | Leading Biology | AMM04683G | GALT Antibody (clone 4C11) | 50 μg | Monoclonal Antibodies |
|
$545.00 | Add Ask | ||
| 3 | Leading Biology | AMM01402G | Vimentin (Mesenchymal Cell Marker) Antibody - With BSA and Azide | 50 ug | Monoclonal Antibodies |
|
$395.00 | Add Ask | ||
| 4 | Leading Biology | APR08280G | LTA4H / LTA4 Antibody (clone 9G8) | 50 μl | Monoclonal Antibodies |
|
$495.00 | Add Ask | ||
| 5 | Leading Biology | AMM00172G | CD1a / HTA1 (Mature Langerhans Cells Marker) Antibody - With BSA and Azide | 50 ug | Monoclonal Antibodies |
|
$395.00 | Add Ask | ||
| 6 | Leading Biology | AMM05750G | CEBPA Antibody | 100 μl | Monoclonal Antibodies |
|
$545.00 | Add Ask |
Leading Biology Inc.
2600 Hilltop DR, Building G, B Suite C138
Richmond, CA, 94806
Tel: 1-661-524(LBI)-0262
Email: info@leadingbiology.com
Complete this form and click send to ask us a question, request a quote or simply say hello.

You have 0 item in your cart

You have 0 item in your inquiry list