> Antigen, Antibodies, ELISA, Western Blot > Primary Antibody > Monoclonal Antibodies > Amyloid-Beta A4 Antibody (APP)Brand |
Leading Biology | Catalog Number |
APG03145G |
Product Type |
Monoclonal Antibodies | Field of Research |
|
Product Overview |
We constantly strive to ensure we provide our customers with the best antibodies. As a result of this work we offer this antibody in purified format.
We are in the process of updating our datasheets. If you have any questions regarding this update, please feel free to contact our technical support team.
This product is a high quality Amyloid-Beta A4 antibody (APP).
|
||
Molecular Weight |
86943 Da
|
||
Cellular Localization |
Antigen Cellular Localization:
Membrane; Single-pass type I membrane protein. Membrane, clathrin-coated pit. Note=Cell surface protein that rapidly becomes internalized via clathrin-coated pits. During maturation, the immature APP (N-glycosylated in the endoplasmic reticulum) moves to the Golgi complex where complete maturation occurs (O-glycosylated and sulfated). After alpha-secretase cleavage, soluble APP is released into the extracellular space and the C-terminal is internalized to endosomes and lysosomes. Some APP accumulates in secretory transport vesicles leaving the late Golgi compartment and returns to the cell surface. Gamma-CTF(59) peptide is located to both the cytoplasm and nuclei of neurons. It can be translocated to the nucleus through association with APBB1 (Fe65). Beta-APP42 associates with FRPL1 at the cell surface and the complex is then rapidly internalized. APP sorts to the basolateral surface in epithelial cells. During neuronal differentiation, the Thr-743 phosphorylated form is located mainly in growth cones, moderately in neurites and sparingly in the cell body. Casein kinase phosphorylation can occur either at the cell surface or within a post-Golgi compartment. Associates with GPC1 in perinuclear compartments. Colocalizes with SORL1 in a vesicular pattern in cytoplasm and perinuclear regions
|
||
Host |
Rabbit
|
||
Species Reactivity |
Human, Mouse, Rat
|
||
Target |
A synthetic peptide corresponding to residues in the NPXY motif of human Amyloid Beta A4 precusor (APP) was used as immunogen. This antibody specifically recognizes APP and its isoforms. It will not recognize either of the two Amyloid Beta Protein ( A?4 ) variants, A?1 -40 or A?1 -42.
|
||
Clone |
Y188
|
||
Symbol |
A4, AD1
|
||
GeneID |
|||
UniProt ID |
|||
Function |
Functions as a cell surface receptor and performs physiological functions on the surface of neurons relevant to neurite growth, neuronal adhesion and axonogenesis. Involved in cell mobility and transcription regulation through protein-protein interactions. Can promote transcription activation through binding to APBB1-KAT5 and inhibits Notch signaling through interaction with Numb. Couples to apoptosis-inducing pathways such as those mediated by G(O) and JIP. Inhibits G(o) alpha ATPase activity (By similarity). Acts as a kinesin I membrane receptor, mediating the axonal transport of beta-secretase and presenilin 1. Involved in copper homeostasis/oxidative stress through copper ion reduction. In vitro, copper-metallated APP induces neuronal death directly or is potentiated through Cu(2+)-mediated low-density lipoprotein oxidation. Can regulate neurite outgrowth through binding to components of the extracellular matrix such as heparin and collagen I and IV. The splice isoforms that contain the BPTI domain possess protease inhibitor activity. Induces a AGER- dependent pathway that involves activation of p38 MAPK, resulting in internalization of amyloid-beta peptide and leading to mitochondrial dysfunction in cultured cortical neurons. Provides Cu(2+) ions for GPC1 which are required for release of nitric oxide (NO) and subsequent degradation of the heparan sulfate chains on GPC1. N-APP binds TNFRSF21 triggering caspase activation and degeneration of both neuronal cell bodies (via caspase-3) and axons (via caspase-6).
|
||
Summary |
Alzheimer's disease (AD) is characterized by the presence of senile plaques in the brain and blood vessel walls. Amyloid Beta A4 (A?4) protein has been found to be the principal constituent of senile plaques of ADs patients (1-2). The amyloid beta-protein precursor (APP) is proteolytically cleaved to generate the 4 kDa A?4 protein. Two variants of A?4 can be detected; A?1-40 short-tailed and A?1-42 long-tailed (3-4).
|
||
Form |
50 mM Tris-Glycine (pH 7.4), 0.15 M NaCl, 40% Glycerol, 0.01% sodium azide and 0.05% BSA. |
||
Storage & Stability |
Store at +4°C short term. For long-term storage, aliquot and store at -20°C or below. Stable for 12 months at -20°C. Avoid repeated freeze-thaw cycles.
|
||
Applications |
IHC, WB
|
||
Dilution |
IHC~~1:250~500
WB~~1:1000~10000
|
||
Synonyms |
Amyloid beta A4 protein, ABPP, APPI, APP, Alzheimer disease amyloid protein, Cerebral vascular amyloid peptide, CVAP, PreA4, Protease nexin-II, PN-II, N-APP, Soluble APP-alpha, S-APP-alpha, Soluble APP-beta, S-APP-beta, C99, Beta-amyloid protein 42, Beta-APP42, Beta-amyloid protein 40, Beta-APP40, C83, P3(42), P3(40), C80, Gamma-secretase C-terminal fragment 59, Amyloid intracellular domain 59, AICD-59, AID(59), Gamma-CTF(59), Gamma-secretase C-terminal fragment 57, Amyloid intracellular domain 57, AICD-57, AID(57), Gamma-CTF(57), Gamma-secretase C-terminal fragment 50, Amyloid intracellular domain 50, AICD-50, AID(50), Gamma-CTF(50), C31, APP, A4, AD1
|
||
Images |
Staining of various paraffin-embedded human tissue samples using anti-Amyloid Beta A4 precursor RabMAb (Cat. APG03145G). Human breast showed negative staining. Tissues were stained in parallel on the same Normal Tissue Array.
B. Staining of various paraffin-embedded human tissue samples using anti-Amyloid Beta A4 precursor RabMAb (Cat. APG03145G). Human brain tissue showed positive immunohistochemical staining for Amyloid Beta A4 precursor. Tissues were stained in parallel on the same Normal Tissue Array.
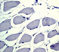
Staining of various paraffin-embedded human tissue samples using anti-Amyloid Beta A4 precursor RabMAb (Cat. APG03145G). Skeletal muscle showed negative staining. Tissues were stained in parallel on the same Normal Tissue Array. |
||
Specification |
|||
Quantity |
|
||
| Select | Brand | Catalog No. | Product Name | Pack Size | Type | Field of Research | Specification | Quantity | Price(USD) | |
| 1 | Leading Biology | APG02467G | CCK4 / PTK7 Antibody (clone 4F9) | 50 μl | Monoclonal Antibodies |
|
$495.00 | Add Ask | ||
| 2 | Leading Biology | AMM04683G | GALT Antibody (clone 4C11) | 50 μg | Monoclonal Antibodies |
|
$545.00 | Add Ask | ||
| 3 | Leading Biology | AMM01402G | Vimentin (Mesenchymal Cell Marker) Antibody - With BSA and Azide | 50 ug | Monoclonal Antibodies |
|
$395.00 | Add Ask | ||
| 4 | Leading Biology | APR08280G | LTA4H / LTA4 Antibody (clone 9G8) | 50 μl | Monoclonal Antibodies |
|
$495.00 | Add Ask | ||
| 5 | Leading Biology | AMM00172G | CD1a / HTA1 (Mature Langerhans Cells Marker) Antibody - With BSA and Azide | 50 ug | Monoclonal Antibodies |
|
$395.00 | Add Ask | ||
| 6 | Leading Biology | AMM05750G | CEBPA Antibody | 100 μl | Monoclonal Antibodies |
|
$545.00 | Add Ask |
Leading Biology Inc.
2600 Hilltop DR, Building G, B Suite C138
Richmond, CA, 94806
Tel: 1-661-524(LBI)-0262
Email: info@leadingbiology.com
Complete this form and click send to ask us a question, request a quote or simply say hello.

You have 0 item in your cart

You have 0 item in your inquiry list