> Antigen, Antibodies, ELISA, Western Blot > Primary Antibody > Monoclonal Antibodies > Alpha-Tubulin AntibodyBrand |
Leading Biology | Catalog Number |
APR11255G |
Product Type |
Monoclonal Antibodies | Field of Research |
|
Product Overview |
We constantly strive to ensure we provide our customers with the best antibodies. As a result of this work we offer this antibody in purified format.
We are in the process of updating our datasheets. If you have any questions regarding this update, please feel free to contact our technical support team.
This product is a high quality Alpha-Tubulin antibody.
|
||
Molecular Weight |
50152 Da
|
||
Cellular Localization |
Antigen Cellular Localization:
Cytoplasm, cytoskeleton.
|
||
Host |
Rabbit
|
||
Species Reactivity |
Human, Mouse, Rat
|
||
Target |
A synthetic peptide corresponding to residues near the N-term of human ?-Tubulin was used as immunogen.
|
||
Clone |
EP1332Y
|
||
GeneID |
|||
UniProt ID |
|||
Function |
Tubulin is the major constituent of microtubules. It binds two moles of GTP, one at an exchangeable site on the beta chain and one at a non-exchangeable site on the alpha chain.
|
||
Summary |
Microtubules are essential parts in eukaryotic cell structures, transportation, and mitosis. It consists mainly of 2 soluble protein subunits, alpha and beta tubulin. Beta tubulin binds to alpha tubulin to form tubulin heterodimer which is post-translationally modified (1). The tubulin dimer complex binds to GTP and assembles onto the positive ends of microtubules. After incorporation into the microtubules, bound GTP is hydrolyzed by beta tubulin. The stability of the dimer in the microtubules is depended on presence of beta tubulin, where dimer with GTP bound beta-tubulin is stable to microtubule incorporation (2). For both type of tubulin, the carboxy-terminal tail is post-translationally modified to regulate associated protein binding at microtubule surface (3). A mutation on alpha tubulin has been linked to abnormal neuronal migration and neurodevelopmental disorders in humans (4).
|
||
Form |
50 mM Tris-Glycine (pH 7.4), 0.15 M NaCl, 40% Glycerol, 0.01% sodium azide and 0.05% BSA. |
||
Storage & Stability |
Store at +4°C short term. For long-term storage, aliquot and store at -20°C or below. Stable for 12 months at -20°C. Avoid repeated freeze-thaw cycles.
|
||
Applications |
WB, IHC, IF
|
||
Dilution |
IHC~~1:250~500
WB~~1:50000~200000
|
||
Synonyms |
Tubulin alpha-1B chain, Alpha-tubulin ubiquitous, Tubulin K-alpha-1, Tubulin alpha-ubiquitous chain, TUBA1B
|
||
Images |
C. Immunofluorescent staining of HeLa cells using anti- alpha-Tubulin RabMAb (Cat. APR11255G)
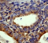
B. Immunohistochemical analysis of paraffin-embedded human gastric carcinoma using anti- alpha-Tubulin RabMAb (Cat. APR11255G).
A. Western blot analysis on HeLa cell lysate using anti- alpha-Tubulin RabMAb (Cat. APR11255G), dilution 1:50,000. |
||
Specification |
|||
Quantity |
|
||
| Select | Brand | Catalog No. | Product Name | Pack Size | Type | Field of Research | Specification | Quantity | Price(USD) | |
| 1 | Leading Biology | APG02467G | CCK4 / PTK7 Antibody (clone 4F9) | 50 μl | Monoclonal Antibodies |
|
$495.00 | Add Ask | ||
| 2 | Leading Biology | AMM04683G | GALT Antibody (clone 4C11) | 50 μg | Monoclonal Antibodies |
|
$545.00 | Add Ask | ||
| 3 | Leading Biology | AMM01402G | Vimentin (Mesenchymal Cell Marker) Antibody - With BSA and Azide | 50 ug | Monoclonal Antibodies |
|
$395.00 | Add Ask | ||
| 4 | Leading Biology | APR08280G | LTA4H / LTA4 Antibody (clone 9G8) | 50 μl | Monoclonal Antibodies |
|
$495.00 | Add Ask | ||
| 5 | Leading Biology | AMM00172G | CD1a / HTA1 (Mature Langerhans Cells Marker) Antibody - With BSA and Azide | 50 ug | Monoclonal Antibodies |
|
$395.00 | Add Ask | ||
| 6 | Leading Biology | AMM05750G | CEBPA Antibody | 100 μl | Monoclonal Antibodies |
|
$545.00 | Add Ask |
Leading Biology Inc.
2600 Hilltop DR, Building G, B Suite C138
Richmond, CA, 94806
Tel: 1-661-524(LBI)-0262
Email: info@leadingbiology.com
Complete this form and click send to ask us a question, request a quote or simply say hello.

You have 0 item in your cart

You have 0 item in your inquiry list