> Antigen, Antibodies, ELISA, Western Blot > Primary Antibody > Monoclonal Antibodies > Adducin alpha Antibody Phospho (pS481)Brand |
Leading Biology | Catalog Number |
APR14833G |
Product Type |
Monoclonal Antibodies | Field of Research |
|
Product Overview |
We constantly strive to ensure we provide our customers with the best antibodies. As a result of this work we offer this antibody in purified format.
We are in the process of updating our datasheets. If you have any questions regarding this update, please feel free to contact our technical support team.
This product is a high quality Adducin alpha antibody Phospho (pS481).
|
||
Molecular Weight |
80955 Da
|
||
Cellular Localization |
Antigen Cellular Localization:
Cytoplasm, cytoskeleton. Cell membrane; Peripheral membrane protein; Cytoplasmic side
|
||
Host |
Rabbit
|
||
Species Reactivity |
Human, Mouse, Rat
|
||
Target |
A synthetic phospho-peptide corresponding to residues surrounding Ser481 of human alpha Adducin was used as an immunogen. The antibody only detects alpha Adducin phosphorylated on Serine 481.
|
||
Clone |
EP733Y
|
||
Symbol |
ADDA
|
||
GeneID |
|||
UniProt ID |
|||
Function |
Membrane-cytoskeleton-associated protein that promotes the assembly of the spectrin-actin network. Binds to calmodulin.
|
||
Summary |
Adducin is a membrane skeletal protein that binds to actin filaments (F-actin) and promotes the association of spectrin with F-actin to form a spectrin-actin meshwork beneath plasma membranes (1-2). Adducin is a heterodimeric protein that consists of related subunits; ? and ?, or ? and ? subunits (3). Adducin binds with high affinity to Ca(2+)/calmodulin and is a substrate for protein kinase C (PKC), and protein kinase A (PKA) (4). PKA specifically phosphorylates Ser408, Ser436, and Ser481 located in the neck domain of alpha Adducin. Phosphorylation of Adducin alpha by Rho-kinase at Thr445 and Thr480 enhances the F-actin-binding activity of Adducin alpha (5).
|
||
Form |
50 mM Tris-Glycine (pH 7.4), 0.15 M NaCl, 40% Glycerol, 0.01% sodium azide and 0.05% BSA. |
||
Storage & Stability |
Store at +4°C short term. For long-term storage, aliquot and store at -20°C or below. Stable for 12 months at -20°C. Avoid repeated freeze-thaw cycles.
|
||
Applications |
WB, IHC
|
||
Dilution |
WB~~1:1000~10000
IHC~~1:250~500
|
||
Synonyms |
Alpha-adducin, Erythrocyte adducin subunit alpha, ADD1, ADDA
|
||
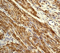
Images |
A. Western blot analysis on (1) Hela cell lysate and (2) HeLa lysate + TPA using anti-Phospho-Adducin (pS481) RabMAb (Cat. APR14833G), dilution 1:20,000.
B. Immunohistochemical analysis of paraffin-embedded human uterus using anti-Adducin alpha Rab MAb. (Cat. APR14833G). |
||
Specification |
|||
Quantity |
|
||
| Select | Brand | Catalog No. | Product Name | Pack Size | Type | Field of Research | Specification | Quantity | Price(USD) | |
| 1 | Leading Biology | APG02467G | CCK4 / PTK7 Antibody (clone 4F9) | 50 μl | Monoclonal Antibodies |
|
$495.00 | Add Ask | ||
| 2 | Leading Biology | AMM04683G | GALT Antibody (clone 4C11) | 50 μg | Monoclonal Antibodies |
|
$545.00 | Add Ask | ||
| 3 | Leading Biology | AMM01402G | Vimentin (Mesenchymal Cell Marker) Antibody - With BSA and Azide | 50 ug | Monoclonal Antibodies |
|
$395.00 | Add Ask | ||
| 4 | Leading Biology | APR08280G | LTA4H / LTA4 Antibody (clone 9G8) | 50 μl | Monoclonal Antibodies |
|
$495.00 | Add Ask | ||
| 5 | Leading Biology | AMM00172G | CD1a / HTA1 (Mature Langerhans Cells Marker) Antibody - With BSA and Azide | 50 ug | Monoclonal Antibodies |
|
$395.00 | Add Ask | ||
| 6 | Leading Biology | AMM05750G | CEBPA Antibody | 100 μl | Monoclonal Antibodies |
|
$545.00 | Add Ask |
Leading Biology Inc.
2600 Hilltop DR, Building G, B Suite C138
Richmond, CA, 94806
Tel: 1-661-524(LBI)-0262
Email: info@leadingbiology.com
Complete this form and click send to ask us a question, request a quote or simply say hello.

You have 0 item in your cart

You have 0 item in your inquiry list