> Antigen, Antibodies, ELISA, Western Blot > Primary Antibody > Monoclonal Antibodies > Acetyl-CoA1 (ACC1) AntibodyBrand |
Leading Biology | Catalog Number |
APG01483G |
Product Type |
Monoclonal Antibodies | Field of Research |
|
Product Overview |
We constantly strive to ensure we provide our customers with the best antibodies. As a result of this work we offer this antibody in purified format.
We are in the process of updating our datasheets. If you have any questions regarding this update, please feel free to contact our technical support team.
This product is a high quality Acetyl-CoA1 (ACC1) antibody.
|
||
Molecular Weight |
265554 Da
|
||
Cellular Localization |
Antigen Cellular Localization:
Cytoplasm.
|
||
Host |
Rabbit
|
||
Species Reactivity |
Human, Mouse, Rat
|
||
Target |
A synthetic peptide corresponding to residues in the human Acetyl-CoA carboxylase 1 was used as an immunogen.
|
||
Clone |
EP687Y
|
||
Symbol |
ACAC, ACC1, ACCA
|
||
GeneID |
|||
UniProt ID |
|||
Function |
Catalyzes the rate-limiting reaction in the biogenesis of long-chain fatty acids. Carries out three functions: biotin carboxyl carrier protein, biotin carboxylase and carboxyltransferase.
|
||
Summary |
Acetyl-CoA carboxylase 1 (ACC1) is a biotin dependent lipogenic enzyme that is highly expressed during adipogenesis. ACC1 catalyzes acetyl-CoA carboxylation, producing malonyl-CoA, a metabolite involved in energy homeostasis regulation. Malonyl-CoA is a two carbon donor in the synthesis of long-chain fatty acids and the elongation of fatty acids found in the cystol (1). ACC1 is regulated short-term by citrate, CoA, and palmitoyl-CoA through allosteric interactions. Nutrients and hormones can be both short-term (inducing reversible phosphorylations by such as AMPK) and long-term (transcription level regulation) regulators of ACC1 (2). Highly expressed in lipogenic tissues, ACC1 is found in liver, adipose, and lactating mammary gland (3). ACC1 has been implicated as a target in the development of anti-obesity drugs (4).
|
||
Form |
50 mM Tris-Glycine (pH 7.4), 0.15 M NaCl, 40% Glycerol, 0.01% sodium azide and 0.05% BSA. |
||
Storage & Stability |
Store at +4°C short term. For long-term storage, aliquot and store at -20°C or below. Stable for 12 months at -20°C. Avoid repeated freeze-thaw cycles.
|
||
Applications |
WB, IHC
|
||
Dilution |
WB~~1:500~2000
IHC~~1:50~100
|
||
Synonyms |
Acetyl-CoA carboxylase 1, ACC1, ACC-alpha, Biotin carboxylase, ACACA, ACAC, ACC1, ACCA
|
||
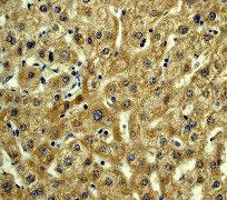
Images |
A. Western blot analysis on A431 cell lysate using anti-Acetyl-CoA carboxylase RabMAb (Cat. APG01483G), dilution 1:2000
B. Immunohistochemical analysis of paraffin-embedded human liver using anti-AcetylCoenzyme A RabMAb (Cat. APG01483G). |
||
Specification |
|||
Quantity |
|
||
| Select | Brand | Catalog No. | Product Name | Pack Size | Type | Field of Research | Specification | Quantity | Price(USD) | |
| 1 | Leading Biology | APG02467G | CCK4 / PTK7 Antibody (clone 4F9) | 50 μl | Monoclonal Antibodies |
|
$495.00 | Add Ask | ||
| 2 | Leading Biology | AMM04683G | GALT Antibody (clone 4C11) | 50 μg | Monoclonal Antibodies |
|
$545.00 | Add Ask | ||
| 3 | Leading Biology | AMM01402G | Vimentin (Mesenchymal Cell Marker) Antibody - With BSA and Azide | 50 ug | Monoclonal Antibodies |
|
$395.00 | Add Ask | ||
| 4 | Leading Biology | APR08280G | LTA4H / LTA4 Antibody (clone 9G8) | 50 μl | Monoclonal Antibodies |
|
$495.00 | Add Ask | ||
| 5 | Leading Biology | AMM00172G | CD1a / HTA1 (Mature Langerhans Cells Marker) Antibody - With BSA and Azide | 50 ug | Monoclonal Antibodies |
|
$395.00 | Add Ask | ||
| 6 | Leading Biology | AMM05750G | CEBPA Antibody | 100 μl | Monoclonal Antibodies |
|
$545.00 | Add Ask |
Leading Biology Inc.
2600 Hilltop DR, Building G, B Suite C138
Richmond, CA, 94806
Tel: 1-661-524(LBI)-0262
Email: info@leadingbiology.com
Complete this form and click send to ask us a question, request a quote or simply say hello.

You have 0 item in your cart

You have 0 item in your inquiry list