> Antigen, Antibodies, ELISA, Western Blot > Primary Antibody > Monoclonal Antibodies > BRAF AntibodyBrand |
Leading Biology | Catalog Number |
AMM02626G |
Product Type |
Monoclonal Antibodies | Field of Research |
|
Product Overview |
We constantly strive to ensure we provide our customers with the best antibodies. As a result of this work we offer this antibody in purified format.
We are in the process of updating our datasheets. If you have any questions regarding this update, please feel free to contact our technical support team.
This product is a high quality BRAF Antibody.
|
||
Molecular Weight |
84437 Da
|
||
Cellular Localization |
Antigen Cellular Localization:
Nucleus. Cytoplasm. Cell membrane. Note=Colocalizes with RGS14 and RAF1 in both the cytoplasm and membranes.
|
||
Host |
Mouse
|
||
Species Reactivity |
Human
|
||
Clone |
1H12F1; 1H12G10; 1F12F11C9
|
||
Isotype |
IgG1
|
||
Symbol |
BRAF1, RAFB1
|
||
GeneID |
|||
UniProt ID |
|||
Function |
Protein kinase involved in the transduction of mitogenic signals from the cell membrane to the nucleus. May play a role in the postsynaptic responses of hippocampal neuron. Phosphorylates MAP2K1, and thereby contributes to the MAP kinase signal transduction pathway.
|
||
Storage & Stability |
Store at +4°C short term. For long-term storage, aliquot and store at -20°C or below. Stable for 12 months at -20°C. Avoid repeated freeze-thaw cycles.
|
||
Applications |
WB, IHC, E
|
||
Dilution |
WB~~1/500 - 1/2000
IHC~~1/200 - 1/1000
IF~~1:200~1000.
|
||
Images |
Figure 1: Western blot analysis using BRAF mouse mAb against truncated recombinant Braf (1) and A431 cell lysate (2).
Figure 2: Western blot analysis using BRAF mouse mAb against HEK293T cells transfected with the pCMV6-ENTRY control (1) and pCMV6-ENTRY Braf cDNA (2).
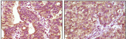
Figure 3: Immunohistochemical analysis of paraffin-embedded human bladder carcinoma tissue(left) and lung carcinoma tissue (right) showing cytoplasmic localization using BRAF mouse mAb with DAB staining. |
||
Specification |
|||
Quantity |
|
||
| Select | Brand | Catalog No. | Product Name | Pack Size | Type | Field of Research | Specification | Quantity | Price(USD) | |
| 1 | Leading Biology | APG02467G | CCK4 / PTK7 Antibody (clone 4F9) | 50 μl | Monoclonal Antibodies |
|
$495.00 | Add Ask | ||
| 2 | Leading Biology | AMM04683G | GALT Antibody (clone 4C11) | 50 μg | Monoclonal Antibodies |
|
$545.00 | Add Ask | ||
| 3 | Leading Biology | AMM01402G | Vimentin (Mesenchymal Cell Marker) Antibody - With BSA and Azide | 50 ug | Monoclonal Antibodies |
|
$395.00 | Add Ask | ||
| 4 | Leading Biology | APR08280G | LTA4H / LTA4 Antibody (clone 9G8) | 50 μl | Monoclonal Antibodies |
|
$495.00 | Add Ask | ||
| 5 | Leading Biology | AMM00172G | CD1a / HTA1 (Mature Langerhans Cells Marker) Antibody - With BSA and Azide | 50 ug | Monoclonal Antibodies |
|
$395.00 | Add Ask | ||
| 6 | Leading Biology | AMM05750G | CEBPA Antibody | 100 μl | Monoclonal Antibodies |
|
$545.00 | Add Ask |
Leading Biology Inc.
2600 Hilltop DR, Building G, B Suite C138
Richmond, CA, 94806
Tel: 1-661-524(LBI)-0262
Email: info@leadingbiology.com
Complete this form and click send to ask us a question, request a quote or simply say hello.

You have 0 item in your cart

You have 0 item in your inquiry list