> Antigen, Antibodies, ELISA, Western Blot > Primary Antibody > Monoclonal Antibodies > Cdk5 AntibodyBrand |
Leading Biology | Catalog Number |
AMM02591G |
Product Type |
Monoclonal Antibodies | Field of Research |
|
Product Overview |
We constantly strive to ensure we provide our customers with the best antibodies. As a result of this work we offer this antibody in purified format.
We are in the process of updating our datasheets. If you have any questions regarding this update, please feel free to contact our technical support team.
This product is a high quality Cdk5 Antibody.
|
||
Molecular Weight |
28 KDa
|
||
Host |
Mouse
|
||
Species Reactivity |
Human, Mouse, Rat
|
||
Target |
Purified rat Cdk5.
|
||
Clone |
1H3
|
||
Isotype |
IgG1
|
||
GeneID |
|||
UniProt ID |
|||
Summary |
The neuronal protein kinase, Cdk5 has been implicated in a vast array of normal neuronal functions including regulation of neurotransmitter synthesis (Kansy J et al., 2004), the presynaptic vesicle cycle (Nguyen, C. & Bibb, JA 2003), neurotransmitter receptor trafficking and dopamine neurotransmission (Bibb, JA et al. 1999). At the same time Cdk5 has been implicated in a plethora of neurological and neuropsychiatric disorders including Alzheimer’s, Parkinson’s, Huntington’s, epilepsy, schizophrenia, and drug addiction. Detection of Cdk5 in normal samples as well as tissue undergoing neurodegeneration may advance studies in these areas. Moreover, this antibody may allow more accurate postmortem evaluations of Cdk5 protein expression, and thus serve as a valuable new reagent for neuropathology.
|
||
Storage & Stability |
Store at +4°C short term. For long-term storage, aliquot and store at -20°C or below. Stable for 12 months at -20°C. Avoid repeated freeze-thaw cycles.
|
||
Applications |
IHC, IF, WB, FC
|
||
Dilution |
IHC~~1:500
IF~~1:500
FC~~1:500
WB~~ 1:1000
|
||
Images |
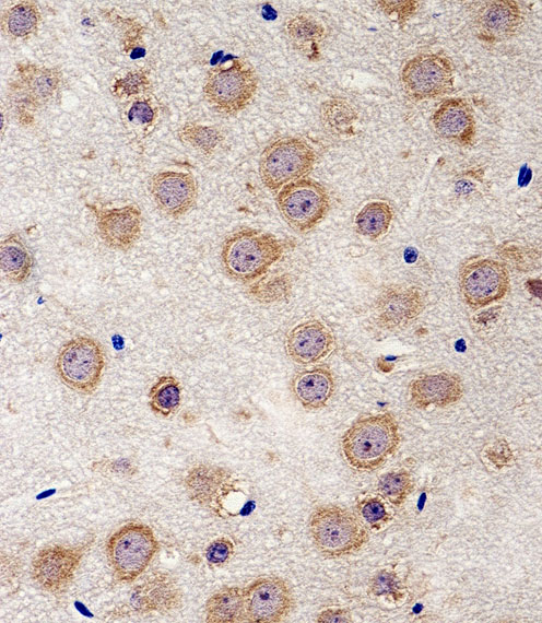
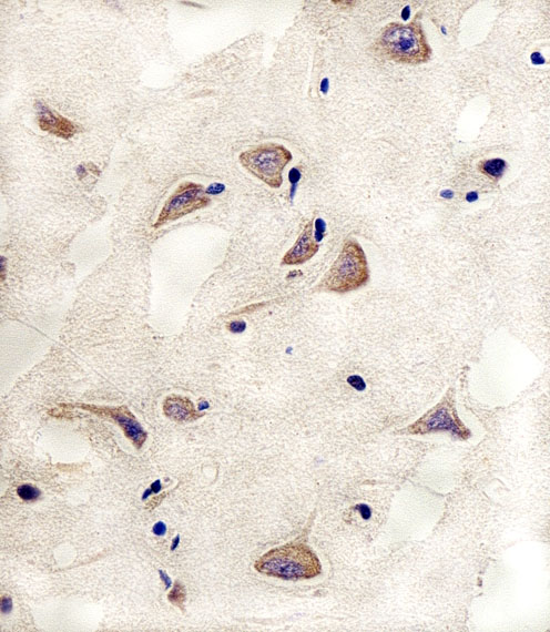
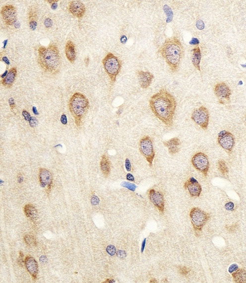
Immunohistochemical analysis of paraffin-embedded R. brain section using Cdk5 Antibody ( AMM02591G). AMM02591G was diluted at 1:500 dilution. A peroxidase-conjugated goat anti-rabbit IgG at 1:400 dilution was used as the secondary antibody, followed by DAB staining.
Immunohistochemical analysis of paraffin-embedded H. brain section using Cdk5 Antibody ( AMM02591G). AMM02591G was diluted at 1:500 dilution. A peroxidase-conjugated goat anti-rabbit IgG at 1:400 dilution was used as the secondary antibody, followed by DAB staining.
Immunohistochemical analysis of paraffin-embedded M. brain section using Cdk5 Antibody ( AMM02591G). AMM02591G was diluted at 1:500 dilution. A peroxidase-conjugated goat anti-rabbit IgG at 1:400 dilution was used as the secondary antibody, followed by DAB staining. |
||
Specification |
|||
Quantity |
|
||
| Select | Brand | Catalog No. | Product Name | Pack Size | Type | Field of Research | Specification | Quantity | Price(USD) | |
| 1 | Leading Biology | APG02467G | CCK4 / PTK7 Antibody (clone 4F9) | 50 μl | Monoclonal Antibodies |
|
$495.00 | Add Ask | ||
| 2 | Leading Biology | AMM04683G | GALT Antibody (clone 4C11) | 50 μg | Monoclonal Antibodies |
|
$545.00 | Add Ask | ||
| 3 | Leading Biology | AMM01402G | Vimentin (Mesenchymal Cell Marker) Antibody - With BSA and Azide | 50 ug | Monoclonal Antibodies |
|
$395.00 | Add Ask | ||
| 4 | Leading Biology | APR08280G | LTA4H / LTA4 Antibody (clone 9G8) | 50 μl | Monoclonal Antibodies |
|
$495.00 | Add Ask | ||
| 5 | Leading Biology | AMM00172G | CD1a / HTA1 (Mature Langerhans Cells Marker) Antibody - With BSA and Azide | 50 ug | Monoclonal Antibodies |
|
$395.00 | Add Ask | ||
| 6 | Leading Biology | AMM05750G | CEBPA Antibody | 100 μl | Monoclonal Antibodies |
|
$545.00 | Add Ask |
Leading Biology Inc.
2600 Hilltop DR, Building G, B Suite C138
Richmond, CA, 94806
Tel: 1-661-524(LBI)-0262
Email: info@leadingbiology.com
Complete this form and click send to ask us a question, request a quote or simply say hello.

You have 0 item in your cart

You have 0 item in your inquiry list