> Antigen, Antibodies, ELISA, Western Blot > Primary Antibody > Monoclonal Antibodies > KI67 AntibodyBrand |
Leading Biology | Catalog Number |
AMM02719G |
Product Type |
Monoclonal Antibodies | Field of Research |
|
Product Overview |
We constantly strive to ensure we provide our customers with the best antibodies. As a result of this work we offer this antibody in purified format.
We are in the process of updating our datasheets. If you have any questions regarding this update, please feel free to contact our technical support team.
This product is a high quality KI67 Antibody.
|
||
Molecular Weight |
358kDa
|
||
Cellular Localization |
Antigen Cellular Localization:
Nucleus. Nucleus, nucleolus. Chromosome. Note=Predominantly localized in the G1 phase in the perinucleolar region, in the later phases it is also detected throughout the nuclear interior, being predominantly localized in the nuclear matrix. In mitosis, it is present on all chromosomes
|
||
Host |
Mouse
|
||
Species Reactivity |
Human
|
||
Clone |
4A1
|
||
Isotype |
IgG2b
|
||
GeneID |
|||
UniProt ID |
|||
Function |
Thought to be required for maintaining cell proliferation.
|
||
Storage & Stability |
Store at +4°C short term. For long-term storage, aliquot and store at -20°C or below. Stable for 12 months at -20°C. Avoid repeated freeze-thaw cycles.
|
||
Applications |
IHC, E
|
||
Dilution |
IHC~~1/200 - 1/1000
ICC~~1:200~~1000
IF~~1:200~1000.
|
||
Images |
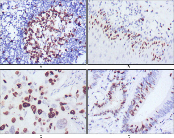
Figure 1: Immunohistochemical analysis of paraffin-embedded human lymph node (A), esophagus (B), lung cancer (C), rectum cancer (D), showing nuclear localization using KI67 mouse mAb with DAB staining.
Figure 1: Confocal immunofluorescence analysis of human peripheral blood lymphocyles (left) and mouse L1210 cells (right) using CD40 mouse mAb (green). Blue: DRAQ5 fluorescent DNA dye.
Figure 1: Confocal immunofluorescence analysis of human peripheral blood lymphocyles (left) and mouse L1210 cells (right) using anti-CD40 monoclonal antibody (green). Blue: DRAQ5 fluorescent DNA dye. |
||
Specification |
|||
Quantity |
|
||
| Select | Brand | Catalog No. | Product Name | Pack Size | Type | Field of Research | Specification | Quantity | Price(USD) | |
| 1 | Leading Biology | APG02467G | CCK4 / PTK7 Antibody (clone 4F9) | 50 μl | Monoclonal Antibodies |
|
$495.00 | Add Ask | ||
| 2 | Leading Biology | AMM04683G | GALT Antibody (clone 4C11) | 50 μg | Monoclonal Antibodies |
|
$545.00 | Add Ask | ||
| 3 | Leading Biology | AMM01402G | Vimentin (Mesenchymal Cell Marker) Antibody - With BSA and Azide | 50 ug | Monoclonal Antibodies |
|
$395.00 | Add Ask | ||
| 4 | Leading Biology | APR08280G | LTA4H / LTA4 Antibody (clone 9G8) | 50 μl | Monoclonal Antibodies |
|
$495.00 | Add Ask | ||
| 5 | Leading Biology | AMM00172G | CD1a / HTA1 (Mature Langerhans Cells Marker) Antibody - With BSA and Azide | 50 ug | Monoclonal Antibodies |
|
$395.00 | Add Ask | ||
| 6 | Leading Biology | AMM05750G | CEBPA Antibody | 100 μl | Monoclonal Antibodies |
|
$545.00 | Add Ask |
Leading Biology Inc.
2600 Hilltop DR, Building G, B Suite C138
Richmond, CA, 94806
Tel: 1-661-524(LBI)-0262
Email: info@leadingbiology.com
Complete this form and click send to ask us a question, request a quote or simply say hello.

You have 0 item in your cart

You have 0 item in your inquiry list