> Antigen, Antibodies, ELISA, Western Blot > Primary Antibody > Monoclonal Antibodies > MuRF1 AntibodyBrand |
Leading Biology | Catalog Number |
AMM03006G |
Product Type |
Monoclonal Antibodies | Field of Research |
|
Product Overview |
We constantly strive to ensure we provide our customers with the best antibodies. As a result of this work we offer this antibody in purified format.
We are in the process of updating our datasheets. If you have any questions regarding this update, please feel free to contact our technical support team.
This product is a high quality MuRF1 Antibody.
|
||
Molecular Weight |
40.2kDa
|
||
Cellular Localization |
Antigen Cellular Localization:
Cytoplasm. Nucleus. Cytoplasm, myofibril, sarcomere, M line. Cytoplasm, myofibril, sarcomere, Z line. Note=Colocalizes with TNNI3 in myocytes (By similarity) Localizes to the M- and Z-lines in skeletal muscle.
|
||
Host |
Mouse
|
||
Species Reactivity |
Human
|
||
Clone |
6H6D4
|
||
Isotype |
IgG1
|
||
Symbol |
IRF, MURF1, RNF28, SMRZ
|
||
GeneID |
|||
UniProt ID |
|||
Function |
E3 ubiquitin ligase. Mediates the ubiquitination and subsequent proteasomal degradation of CKM, GMEB1 and HIBADH. Regulates the proteasomal degradation of muscle proteins under amino acid starvation, where muscle protein is catabolized to provide other organs with amino acids. Inhibits de novo skeletal muscle protein synthesis under amino acid starvation. Regulates proteasomal degradation of cardiac troponin I/TNNI3 and probably of other sarcomeric-associated proteins. May play a role in striated muscle atrophy and hypertrophy by regulating an anti- hypertrophic PKC-mediated signaling pathway. May regulate the organization of myofibrils through TTN in muscle cells.
|
||
Summary |
DNAL4 is a component of the dynein motor complex
|
||
Storage & Stability |
Store at +4°C short term. For long-term storage, aliquot and store at -20°C or below. Stable for 12 months at -20°C. Avoid repeated freeze-thaw cycles.
|
||
Applications |
IHC, E
|
||
Dilution |
E~~1/10000
IHC~~1/200 - 1/1000
|
||
Images |
Black line: Control Antigen (100 ng);Purple line: Antigen(10ng);Blue line: Antigen (50 ng);Red line: Antigen (100 ng);
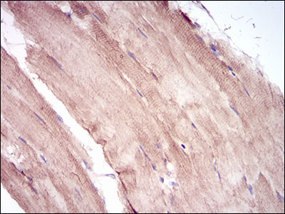
Figure 1: Immunohistochemical analysis of paraffin-embedded muscle tissues using MuRF1 mouse mAb with DAB staining. |
||
Specification |
|||
Quantity |
|
||
| Select | Brand | Catalog No. | Product Name | Pack Size | Type | Field of Research | Specification | Quantity | Price(USD) | |
| 1 | Leading Biology | APG02467G | CCK4 / PTK7 Antibody (clone 4F9) | 50 μl | Monoclonal Antibodies |
|
$495.00 | Add Ask | ||
| 2 | Leading Biology | AMM04683G | GALT Antibody (clone 4C11) | 50 μg | Monoclonal Antibodies |
|
$545.00 | Add Ask | ||
| 3 | Leading Biology | AMM01402G | Vimentin (Mesenchymal Cell Marker) Antibody - With BSA and Azide | 50 ug | Monoclonal Antibodies |
|
$395.00 | Add Ask | ||
| 4 | Leading Biology | APR08280G | LTA4H / LTA4 Antibody (clone 9G8) | 50 μl | Monoclonal Antibodies |
|
$495.00 | Add Ask | ||
| 5 | Leading Biology | AMM00172G | CD1a / HTA1 (Mature Langerhans Cells Marker) Antibody - With BSA and Azide | 50 ug | Monoclonal Antibodies |
|
$395.00 | Add Ask | ||
| 6 | Leading Biology | AMM05750G | CEBPA Antibody | 100 μl | Monoclonal Antibodies |
|
$545.00 | Add Ask |
Leading Biology Inc.
2600 Hilltop DR, Building G, B Suite C138
Richmond, CA, 94806
Tel: 1-661-524(LBI)-0262
Email: info@leadingbiology.com
Complete this form and click send to ask us a question, request a quote or simply say hello.

You have 0 item in your cart

You have 0 item in your inquiry list