> Antigen, Antibodies, ELISA, Western Blot > Primary Antibody > Monoclonal Antibodies > E7 AntibodyBrand |
Leading Biology | Catalog Number |
AMM02828G |
Product Type |
Monoclonal Antibodies | Field of Research |
|
Product Overview |
We constantly strive to ensure we provide our customers with the best antibodies. As a result of this work we offer this antibody in purified format.
We are in the process of updating our datasheets. If you have any questions regarding this update, please feel free to contact our technical support team.
This product is a high quality E7 Antibody.
|
||
Molecular Weight |
21kDa
|
||
Host |
Mouse
|
||
Species Reactivity |
Human
|
||
Clone |
6F3
|
||
Isotype |
IgG1
|
||
GeneID |
|||
UniProt ID |
|||
Function |
E7 protein has both transforming and trans-activating activities. Disrupts the function of host retinoblastoma protein RB1/pRb, which is a key regulator of the cell cycle. Induces the disassembly of the E2F1 transcription factors from RB1, with subsequent transcriptional activation of E2F1-regulated S-phase genes. Inactivation of the ability of RB1 to arrest the cell cycle is critical for cellular transformation, uncontrolled cellular growth and proliferation induced by viral infection. Stimulation of progression from G1 to S phase allows the virus to efficiently use the cellular DNA replicating machinery to achieve viral genome replication. Interferes with histone deacetylation mediated by HDAC1 and HDAC2, leading to activation of transcription (By similarity).
|
||
Storage & Stability |
Store at +4°C short term. For long-term storage, aliquot and store at -20°C or below. Stable for 12 months at -20°C. Avoid repeated freeze-thaw cycles.
|
||
Applications |
WB, IHC, E
|
||
Dilution |
E~~1/10000
WB~~1/500 - 1/2000
IHC~~1/500 - 1/2000
|
||
Images |
Red: Control Antigen (100ng);Purple: Antigen (10ng);Green: Antigen (50ng);Blue: Antigen (100ng);
Figure 1: Western blot analysis using E7 mAb against human E7 (AA: 1-98) recombinant protein.
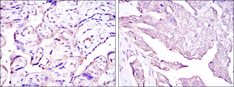
Figure 2: Immunohistochemical analysis of paraffin-embedded placenta tissues (left) and ovarian cancer (right) using E7 mouse mAb with DAB staining. |
||
Specification |
|||
Quantity |
|
||
| Select | Brand | Catalog No. | Product Name | Pack Size | Type | Field of Research | Specification | Quantity | Price(USD) | |
| 1 | Leading Biology | APG02467G | CCK4 / PTK7 Antibody (clone 4F9) | 50 μl | Monoclonal Antibodies |
|
$495.00 | Add Ask | ||
| 2 | Leading Biology | AMM04683G | GALT Antibody (clone 4C11) | 50 μg | Monoclonal Antibodies |
|
$545.00 | Add Ask | ||
| 3 | Leading Biology | AMM01402G | Vimentin (Mesenchymal Cell Marker) Antibody - With BSA and Azide | 50 ug | Monoclonal Antibodies |
|
$395.00 | Add Ask | ||
| 4 | Leading Biology | APR08280G | LTA4H / LTA4 Antibody (clone 9G8) | 50 μl | Monoclonal Antibodies |
|
$495.00 | Add Ask | ||
| 5 | Leading Biology | AMM00172G | CD1a / HTA1 (Mature Langerhans Cells Marker) Antibody - With BSA and Azide | 50 ug | Monoclonal Antibodies |
|
$395.00 | Add Ask | ||
| 6 | Leading Biology | AMM05750G | CEBPA Antibody | 100 μl | Monoclonal Antibodies |
|
$545.00 | Add Ask |
Leading Biology Inc.
2600 Hilltop DR, Building G, B Suite C138
Richmond, CA, 94806
Tel: 1-661-524(LBI)-0262
Email: info@leadingbiology.com
Complete this form and click send to ask us a question, request a quote or simply say hello.

You have 0 item in your cart

You have 0 item in your inquiry list