> Antigen, Antibodies, ELISA, Western Blot > Primary Antibody > Monoclonal Antibodies > Complement C1s Antibody (clone 2D11)Brand |
Leading Biology | Catalog Number |
AMM02297G |
Product Type |
Monoclonal Antibodies | Field of Research |
|
Product Overview |
We constantly strive to ensure we provide our customers with the best antibodies. As a result of this work we offer this antibody in purified format.
We are in the process of updating our datasheets. If you have any questions regarding this update, please feel free to contact our technical support team.
This product is a high quality Complement C1s Antibody (clone 2D11).
|
||
Molecular Weight |
76684 Da
|
||
Host |
Mouse
|
||
Species Reactivity |
Human
|
||
Target |
Human ComplementC1S
|
||
Clone |
2D11
|
||
Isotype |
IgG2a
|
||
GeneID |
|||
UniProt ID |
|||
Function |
C1s B chain is a serine protease that combines with C1q and C1r to form C1, the first component of the classical pathway of the complement system. C1r activates C1s so that it can, in turn, activate C2 and C4.
|
||
Summary |
C1s B chain is a serine protease that combines with C1q and C1r to form C1, the first component of the classical pathway of the complement system. C1r activates C1s so that it can, in turn, activate C2 and C4.
|
||
Storage & Stability |
Store at +4°C short term. For long-term storage, aliquot and store at -20°C or below. Stable for 12 months at -20°C. Avoid repeated freeze-thaw cycles.
|
||
Applications |
WB, IHC-P, Flo
|
||
Dilution |
Flo (1:100), IHC-P (10 μg/ml), WB (1:2000),
|
||
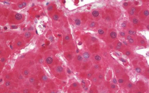
Images |
Anti-Complement C1s antibody IHC staining of human liver.
HEK293T cells were transfected with the pCMV6-ENTRY control (Left lane) or pCMV6-ENTRY C1S...
Flow cytometry of HeLa cells, using anti-C1S antibody (Red), compared to a nonspecific negative... |
||
Specification |
|||
Quantity |
|
||
| Select | Brand | Catalog No. | Product Name | Pack Size | Type | Field of Research | Specification | Quantity | Price(USD) | |
| 1 | Leading Biology | APG02467G | CCK4 / PTK7 Antibody (clone 4F9) | 50 μl | Monoclonal Antibodies |
|
$495.00 | Add Ask | ||
| 2 | Leading Biology | AMM04683G | GALT Antibody (clone 4C11) | 50 μg | Monoclonal Antibodies |
|
$545.00 | Add Ask | ||
| 3 | Leading Biology | AMM01402G | Vimentin (Mesenchymal Cell Marker) Antibody - With BSA and Azide | 50 ug | Monoclonal Antibodies |
|
$395.00 | Add Ask | ||
| 4 | Leading Biology | APR08280G | LTA4H / LTA4 Antibody (clone 9G8) | 50 μl | Monoclonal Antibodies |
|
$495.00 | Add Ask | ||
| 5 | Leading Biology | AMM00172G | CD1a / HTA1 (Mature Langerhans Cells Marker) Antibody - With BSA and Azide | 50 ug | Monoclonal Antibodies |
|
$395.00 | Add Ask | ||
| 6 | Leading Biology | AMM05750G | CEBPA Antibody | 100 μl | Monoclonal Antibodies |
|
$545.00 | Add Ask |
Leading Biology Inc.
2600 Hilltop DR, Building G, B Suite C138
Richmond, CA, 94806
Tel: 1-661-524(LBI)-0262
Email: info@leadingbiology.com
Complete this form and click send to ask us a question, request a quote or simply say hello.

You have 0 item in your cart

You have 0 item in your inquiry list