> Antigen, Antibodies, ELISA, Western Blot > Primary Antibody > Monoclonal Antibodies > NT5E AntibodyBrand |
Leading Biology | Catalog Number |
AMM02724G |
Product Type |
Monoclonal Antibodies | Field of Research |
|
Product Overview |
We constantly strive to ensure we provide our customers with the best antibodies. As a result of this work we offer this antibody in purified format.
We are in the process of updating our datasheets. If you have any questions regarding this update, please feel free to contact our technical support team.
This product is a high quality NT5E Antibody.
|
||
Molecular Weight |
70kDa
|
||
Cellular Localization |
Antigen Cellular Localization:
Cell membrane; Lipid-anchor, GPI-anchor.
|
||
Host |
Mouse
|
||
Species Reactivity |
Human
|
||
Clone |
1D7
|
||
Isotype |
IgG1
|
||
Symbol |
NT5, NTE
|
||
GeneID |
|||
UniProt ID |
|||
Function |
Hydrolyzes extracellular nucleotides into membrane permeable nucleosides. Exhibits AMP-, NAD-, and NMN-nucleosidase activities.
|
||
Storage & Stability |
Store at +4°C short term. For long-term storage, aliquot and store at -20°C or below. Stable for 12 months at -20°C. Avoid repeated freeze-thaw cycles.
|
||
Applications |
IHC, E
|
||
Dilution |
IHC~~1/200 - 1/1000
WB~~1:500~~2000
|
||
Images |
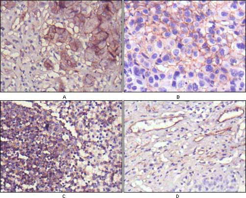
Figure 1: Immunohistochemical analysis of paraffin-embedded human lung cancer (A), cholangiocarcinorna (B), lymph node (C) and esophagus (D) tissues using NT5E mouse mAb with DAB staining.
Figure 1: Western blot analysis using FRK mouse mAb against K562 cell lysate (1). |
||
Specification |
|||
Quantity |
|
||
| Select | Brand | Catalog No. | Product Name | Pack Size | Type | Field of Research | Specification | Quantity | Price(USD) | |
| 1 | Leading Biology | APG02467G | CCK4 / PTK7 Antibody (clone 4F9) | 50 μl | Monoclonal Antibodies |
|
$495.00 | Add Ask | ||
| 2 | Leading Biology | AMM04683G | GALT Antibody (clone 4C11) | 50 μg | Monoclonal Antibodies |
|
$545.00 | Add Ask | ||
| 3 | Leading Biology | AMM01402G | Vimentin (Mesenchymal Cell Marker) Antibody - With BSA and Azide | 50 ug | Monoclonal Antibodies |
|
$395.00 | Add Ask | ||
| 4 | Leading Biology | APR08280G | LTA4H / LTA4 Antibody (clone 9G8) | 50 μl | Monoclonal Antibodies |
|
$495.00 | Add Ask | ||
| 5 | Leading Biology | AMM00172G | CD1a / HTA1 (Mature Langerhans Cells Marker) Antibody - With BSA and Azide | 50 ug | Monoclonal Antibodies |
|
$395.00 | Add Ask | ||
| 6 | Leading Biology | AMM05750G | CEBPA Antibody | 100 μl | Monoclonal Antibodies |
|
$545.00 | Add Ask |
Leading Biology Inc.
2600 Hilltop DR, Building G, B Suite C138
Richmond, CA, 94806
Tel: 1-661-524(LBI)-0262
Email: info@leadingbiology.com
Complete this form and click send to ask us a question, request a quote or simply say hello.

You have 0 item in your cart

You have 0 item in your inquiry list