> Antigen, Antibodies, ELISA, Western Blot > Primary Antibody > Monoclonal Antibodies > EEF1E1 AntibodyBrand |
Leading Biology | Catalog Number |
AMM04350G |
Product Type |
Monoclonal Antibodies | Field of Research |
|
Product Overview |
We constantly strive to ensure we provide our customers with the best antibodies. As a result of this work we offer this antibody in purified format.
We are in the process of updating our datasheets. If you have any questions regarding this update, please feel free to contact our technical support team.
This product is a high quality EEF1E1 Antibody.
|
||
Molecular Weight |
H=20,16;M=20 KDa
|
||
Cellular Localization |
Antigen Cellular Localization:
Cytoplasm. Nucleus. Note=Cytoplasmic under growth arrest conditions. Translocated into the nucleus when growth resumes (S phase) and following DNA damage
|
||
Host |
Mouse
|
||
Species Reactivity |
Human
|
||
Immunogen |
1-112 aa
|
||
Target |
This EEF1E1 antibody is generated from a mouse immunized with a recombinant protein of human EEF1E1.
|
||
Symbol |
AIMP3, P18
|
||
GeneID |
|||
UniProt ID |
|||
Function |
Positive modulator of ATM response to DNA damage.
|
||
Summary |
Positive modulator of ATM response to DNA damage.
|
||
Storage & Stability |
Store at +4°C short term. For long-term storage, aliquot and store at -20°C or below. Stable for 12 months at -20°C. Avoid repeated freeze-thaw cycles.
|
||
Applications |
FC, IF, WB
|
||
Dilution |
WB~~1:2000
FC~~1:25
IF~~1:25
|
||
Images |
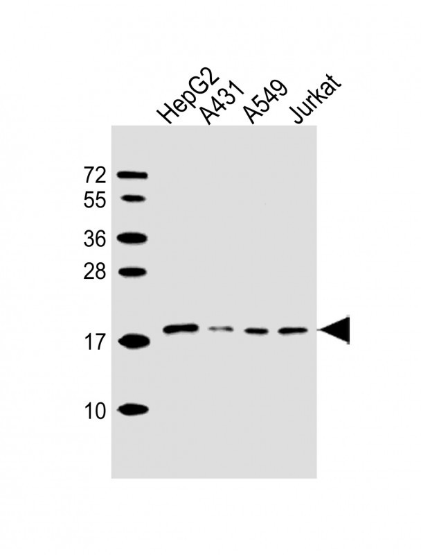
All lanes : Anti-EEF1E1 Antibody at1:2000 dilution Lane 1: HepG2 whole cell lysate Lane 2: A431 whole cell lysate Lane 3: A549 whole cell lysate Lane 4: Jurkat whole cell lysate Lysates/proteins at 20 μg per lane. Secondary Goat Anti-mouse IgG, (H+L), Peroxidase conjugated at 1/10000 dilution. Predicted band size : 20 kDa Blocking/Dilution buffer: 5% NFDM/TBST.
Overlay histogram showing Hela cells stained with AMM04350G (green line). The cells were fixed with 2% paraformaldehyde (10 min) and then permeabilized with 90% methanol for 10 min. The cells were then icubated in 2% bovine serum albumin to block non-specific protein-protein interactions followed by the antibody (AMM04350G, 1:25 dilution) for 60 min at 37?C. The secondary antibody used was Goat-Anti-Mouse IgG, DyLight? 488 Conjugated Highly Cross-Adsorbed(NA168821)) at 1/400 dilution for 40 min at 37?C. Isotype control antibody (blue line) was mouse IgG2b (1μg/1x10^6 cells) used under the same conditions. Acquisition of >10, 000 events was performed.
Immunofluorescent analysis of 4% paraformaldehyde-fixed, 0. 1% Triton X-100 permeabilized HeLa (human cervical epithelial adenocarcinoma cell line) cells labeling Pdx1 with AMM04350G at 1/25 dilution, followed by Dylight? 488-conjugated goat anti-mouse IgG (NA166821) secondary antibody at 1/200 dilution (green). Immunofluorescence image showing cytoplasm staining on HeLa cell line. Cytoplasmic actin is detected with Dylight? 554 Phalloidin (PD18466410) at 1/100 dilution (red). The nuclear counter stain is DAPI (blue). |
||
Specification |
|||
Quantity |
|
||
| Select | Brand | Catalog No. | Product Name | Pack Size | Type | Field of Research | Specification | Quantity | Price(USD) | |
| 1 | Leading Biology | APG02467G | CCK4 / PTK7 Antibody (clone 4F9) | 50 μl | Monoclonal Antibodies |
|
$495.00 | Add Ask | ||
| 2 | Leading Biology | AMM04683G | GALT Antibody (clone 4C11) | 50 μg | Monoclonal Antibodies |
|
$545.00 | Add Ask | ||
| 3 | Leading Biology | AMM01402G | Vimentin (Mesenchymal Cell Marker) Antibody - With BSA and Azide | 50 ug | Monoclonal Antibodies |
|
$395.00 | Add Ask | ||
| 4 | Leading Biology | APR08280G | LTA4H / LTA4 Antibody (clone 9G8) | 50 μl | Monoclonal Antibodies |
|
$495.00 | Add Ask | ||
| 5 | Leading Biology | AMM00172G | CD1a / HTA1 (Mature Langerhans Cells Marker) Antibody - With BSA and Azide | 50 ug | Monoclonal Antibodies |
|
$395.00 | Add Ask | ||
| 6 | Leading Biology | AMM05750G | CEBPA Antibody | 100 μl | Monoclonal Antibodies |
|
$545.00 | Add Ask |
Leading Biology Inc.
2600 Hilltop DR, Building G, B Suite C138
Richmond, CA, 94806
Tel: 1-661-524(LBI)-0262
Email: info@leadingbiology.com
Complete this form and click send to ask us a question, request a quote or simply say hello.

You have 0 item in your cart

You have 0 item in your inquiry list