> Antigen, Antibodies, ELISA, Western Blot > Primary Antibody > Monoclonal Antibodies > HK1 AntibodyBrand |
Leading Biology | Catalog Number |
AMM02783G |
Product Type |
Monoclonal Antibodies | Field of Research |
|
Product Overview |
We constantly strive to ensure we provide our customers with the best antibodies. As a result of this work we offer this antibody in purified format.
We are in the process of updating our datasheets. If you have any questions regarding this update, please feel free to contact our technical support team.
This product is a high quality HK1 Antibody.
|
||
Molecular Weight |
102kDa
|
||
Cellular Localization |
Antigen Cellular Localization:
Mitochondrion outer membrane. Note=Its hydrophobic N-terminal sequence may be involved in membrane binding
|
||
Host |
Mouse
|
||
Species Reactivity |
Human, Mouse, Rat
|
||
Clone |
7A7
|
||
Isotype |
IgG1
|
||
GeneID |
|||
UniProt ID |
|||
Storage & Stability |
Store at +4°C short term. For long-term storage, aliquot and store at -20°C or below. Stable for 12 months at -20°C. Avoid repeated freeze-thaw cycles.
|
||
Applications |
WB, IHC, ICC, E
|
||
Dilution |
WB~~1/500 - 1/2000
IHC~~1/200 - 1/1000
IF~~1/200 - 1/1000
|
||
Images |
Figure 1: Western blot analysis using HK1 mouse mAb against Jurkat (1), Hela (2), HepG2 (3), MCF-7 (4) and PC-12 (5) cell lysate.
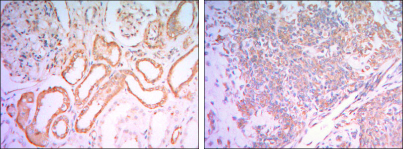
Figure 2: Immunohistochemical analysis of paraffin-embedded human salivary gland tissues (left) and kidney tissues (right) using HK1 mouse mAb with DAB staining.
Figure 3: Immunofluorescence analysis of NIH/3T3 cells using HK1 mouse mAb (green). Blue: DRAQ5 fluorescent DNA dye. Red: Actin filaments have been labeled with Alexa Fluor-555 phalloidin. |
||
Specification |
|||
Quantity |
|
||
| Select | Brand | Catalog No. | Product Name | Pack Size | Type | Field of Research | Specification | Quantity | Price(USD) | |
| 1 | Leading Biology | APG02467G | CCK4 / PTK7 Antibody (clone 4F9) | 50 μl | Monoclonal Antibodies |
|
$495.00 | Add Ask | ||
| 2 | Leading Biology | AMM04683G | GALT Antibody (clone 4C11) | 50 μg | Monoclonal Antibodies |
|
$545.00 | Add Ask | ||
| 3 | Leading Biology | AMM01402G | Vimentin (Mesenchymal Cell Marker) Antibody - With BSA and Azide | 50 ug | Monoclonal Antibodies |
|
$395.00 | Add Ask | ||
| 4 | Leading Biology | APR08280G | LTA4H / LTA4 Antibody (clone 9G8) | 50 μl | Monoclonal Antibodies |
|
$495.00 | Add Ask | ||
| 5 | Leading Biology | AMM00172G | CD1a / HTA1 (Mature Langerhans Cells Marker) Antibody - With BSA and Azide | 50 ug | Monoclonal Antibodies |
|
$395.00 | Add Ask | ||
| 6 | Leading Biology | AMM05750G | CEBPA Antibody | 100 μl | Monoclonal Antibodies |
|
$545.00 | Add Ask |
Leading Biology Inc.
2600 Hilltop DR, Building G, B Suite C138
Richmond, CA, 94806
Tel: 1-661-524(LBI)-0262
Email: info@leadingbiology.com
Complete this form and click send to ask us a question, request a quote or simply say hello.

You have 0 item in your cart

You have 0 item in your inquiry list