> Antigen, Antibodies, ELISA, Western Blot > Primary Antibody > Monoclonal Antibodies > VCAM1 AntibodyBrand |
Leading Biology | Catalog Number |
AMM02766G |
Product Type |
Monoclonal Antibodies | Field of Research |
|
Product Overview |
We constantly strive to ensure we provide our customers with the best antibodies. As a result of this work we offer this antibody in purified format.
We are in the process of updating our datasheets. If you have any questions regarding this update, please feel free to contact our technical support team.
This product is a high quality VCAM1 Antibody.
|
||
Molecular Weight |
81kDa
|
||
Cellular Localization |
Antigen Cellular Localization:
Membrane; Single-pass type I membrane protein
|
||
Host |
Mouse
|
||
Species Reactivity |
Human
|
||
Clone |
6G9
|
||
Isotype |
IgG1
|
||
Symbol |
L1CAM
|
||
GeneID |
|||
UniProt ID |
|||
Function |
Important in cell-cell recognition. Appears to function in leukocyte-endothelial cell adhesion. Interacts with integrin alpha-4/beta-1 (ITGA4/ITGB1) on leukocytes, and mediates both adhesion and signal transduction. The VCAM1/ITGA4/ITGB1 interaction may play a pathophysiologic role both in immune responses and in leukocyte emigration to sites of inflammation.
|
||
Storage & Stability |
Store at +4°C short term. For long-term storage, aliquot and store at -20°C or below. Stable for 12 months at -20°C. Avoid repeated freeze-thaw cycles.
|
||
Applications |
WB, IHC, E
|
||
Dilution |
WB~~1/500 - 1/2000
IHC~~1/500 - 1/2000
|
||
Images |
Figure 1: Western blot analysis using VCAM1 mouse mAb against HUVEC (1) and EC (2) cell lysate.
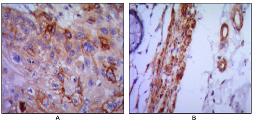
Figure 2: Immunohistochemical analysis of paraffin-embedded human lung cancer (A) and colon cancer (B) using VCAM1 mouse mAb with DAB staining.
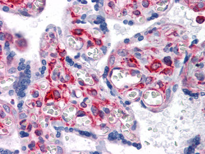
Figure 3: Immunohistochemical analysis of paraffin-embedded human Placenta tissues using VCAM1 mouse mAb |
||
Specification |
|||
Quantity |
|
||
| Select | Brand | Catalog No. | Product Name | Pack Size | Type | Field of Research | Specification | Quantity | Price(USD) | |
| 1 | Leading Biology | APG02467G | CCK4 / PTK7 Antibody (clone 4F9) | 50 μl | Monoclonal Antibodies |
|
$495.00 | Add Ask | ||
| 2 | Leading Biology | AMM04683G | GALT Antibody (clone 4C11) | 50 μg | Monoclonal Antibodies |
|
$545.00 | Add Ask | ||
| 3 | Leading Biology | AMM01402G | Vimentin (Mesenchymal Cell Marker) Antibody - With BSA and Azide | 50 ug | Monoclonal Antibodies |
|
$395.00 | Add Ask | ||
| 4 | Leading Biology | APR08280G | LTA4H / LTA4 Antibody (clone 9G8) | 50 μl | Monoclonal Antibodies |
|
$495.00 | Add Ask | ||
| 5 | Leading Biology | AMM00172G | CD1a / HTA1 (Mature Langerhans Cells Marker) Antibody - With BSA and Azide | 50 ug | Monoclonal Antibodies |
|
$395.00 | Add Ask | ||
| 6 | Leading Biology | AMM05750G | CEBPA Antibody | 100 μl | Monoclonal Antibodies |
|
$545.00 | Add Ask |
Leading Biology Inc.
2600 Hilltop DR, Building G, B Suite C138
Richmond, CA, 94806
Tel: 1-661-524(LBI)-0262
Email: info@leadingbiology.com
Complete this form and click send to ask us a question, request a quote or simply say hello.

You have 0 item in your cart

You have 0 item in your inquiry list