> Antigen, Antibodies, ELISA, Western Blot > Primary Antibody > Monoclonal Antibodies > CHD3 AntibodyBrand |
Leading Biology | Catalog Number |
AMM02737G |
Product Type |
Monoclonal Antibodies | Field of Research |
|
Product Overview |
We constantly strive to ensure we provide our customers with the best antibodies. As a result of this work we offer this antibody in purified format.
We are in the process of updating our datasheets. If you have any questions regarding this update, please feel free to contact our technical support team.
This product is a high quality CHD3 Antibody.
|
||
Molecular Weight |
226kDa
|
||
Cellular Localization |
Antigen Cellular Localization:
Nucleus. Cytoplasm, cytoskeleton, microtubule organizing center, centrosome. Note=Associates with centrosomes in interphase and mitosis
|
||
Host |
Mouse
|
||
Species Reactivity |
Human, Mouse
|
||
Clone |
2G4
|
||
Isotype |
IgG1
|
||
GeneID |
|||
UniProt ID |
|||
Function |
Component of the histone deacetylase NuRD complex which participates in the remodeling of chromatin by deacetylating histones. Required for anchoring centrosomal pericentrin in both interphase and mitosis, for spindle organization and centrosome integrity.
|
||
Storage & Stability |
Store at +4°C short term. For long-term storage, aliquot and store at -20°C or below. Stable for 12 months at -20°C. Avoid repeated freeze-thaw cycles.
|
||
Applications |
WB, IHC, FC, ICC, E
|
||
Dilution |
WB~~1/500 - 1/2000
IHC~~1/200 - 1/1000
IF~~1/200 - 1/1000
FC~~1/200 - 1/400
|
||
Images |
Figure 1: Western blot analysis using CHD3 mouse mAb against Hela (1), K562 (2), Jurkat (3), NTERA-2 (4), HEK293 (5), Raji (6) cell lysate and mouse brain (7) tissue lysate.
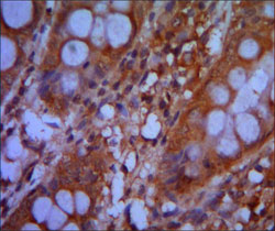
Figure 2: Immunohistochemical analysis of paraffin-embedded colon cancer tissues using CHD3 mouse mAb with DAB staining.
Figure 3: Immunofluorescence analysis of Hela cells using CHD3 mouse mAb (green). Blue: DRAQ5 fluorescent DNA dye. |
||
Specification |
|||
Quantity |
|
||
| Select | Brand | Catalog No. | Product Name | Pack Size | Type | Field of Research | Specification | Quantity | Price(USD) | |
| 1 | Leading Biology | APG02467G | CCK4 / PTK7 Antibody (clone 4F9) | 50 μl | Monoclonal Antibodies |
|
$495.00 | Add Ask | ||
| 2 | Leading Biology | AMM04683G | GALT Antibody (clone 4C11) | 50 μg | Monoclonal Antibodies |
|
$545.00 | Add Ask | ||
| 3 | Leading Biology | AMM01402G | Vimentin (Mesenchymal Cell Marker) Antibody - With BSA and Azide | 50 ug | Monoclonal Antibodies |
|
$395.00 | Add Ask | ||
| 4 | Leading Biology | APR08280G | LTA4H / LTA4 Antibody (clone 9G8) | 50 μl | Monoclonal Antibodies |
|
$495.00 | Add Ask | ||
| 5 | Leading Biology | AMM00172G | CD1a / HTA1 (Mature Langerhans Cells Marker) Antibody - With BSA and Azide | 50 ug | Monoclonal Antibodies |
|
$395.00 | Add Ask | ||
| 6 | Leading Biology | AMM05750G | CEBPA Antibody | 100 μl | Monoclonal Antibodies |
|
$545.00 | Add Ask |
Leading Biology Inc.
2600 Hilltop DR, Building G, B Suite C138
Richmond, CA, 94806
Tel: 1-661-524(LBI)-0262
Email: info@leadingbiology.com
Complete this form and click send to ask us a question, request a quote or simply say hello.

You have 0 item in your cart

You have 0 item in your inquiry list