> Antigen, Antibodies, ELISA, Western Blot > Primary Antibody > Monoclonal Antibodies > SRCRB4D Antibody (monoclonal) (M01)Brand |
Leading Biology | Catalog Number |
AMM04133G |
Product Type |
Monoclonal Antibodies | Field of Research |
|
Product Overview |
We constantly strive to ensure we provide our customers with the best antibodies. As a result of this work we offer this antibody in purified format.
We are in the process of updating our datasheets. If you have any questions regarding this update, please feel free to contact our technical support team.
This product is a high quality SRCRB4D Antibody (monoclonal) (M01).
|
||
Molecular Weight |
60819 Da
|
||
Host |
mouse
|
||
Species Reactivity |
Human
|
||
Target |
SRCRB4D (AAH15651.1, 1 a.a. ~ 190 a.a) full-length recombinant protein with GST tag. MW of the GST tag alone is 26 KDa.
|
||
Clone |
3D9
|
||
Isotype |
IgG1 kappa
|
||
GeneID |
|||
UniProt ID |
|||
Summary |
The scavenger receptor cysteine-rich (SRCR) superfamily is an ancient and highly conserved group of cell surface and/or secreted proteins, some of which are involved in the development of the immune system and the regulation of both innate and adaptive immune responses. Group B SRCR domains usually contain 8 regularly spaced cysteines that give rise to a well-defined intradomain disulfide-bond pattern.
|
||
Storage & Stability |
Store at +4°C short term. For long-term storage, aliquot and store at -20°C or below. Stable for 12 months at -20°C. Avoid repeated freeze-thaw cycles.
|
||
Applications |
WB, IF, E
|
||
Dilution |
WB~~1:500~1000
|
||
Images |
Antibody Reactive Against Recombinant Protein.Western Blot detection against Immunogen (46.64 KDa) .
SRCRB4D monoclonal antibody (M01), clone 3D9 Western Blot analysis of SRCRB4D expression in C32 ( AMM04133G )
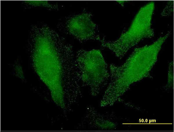
Immunofluorescence of monoclonal antibody to SRCRB4D on HeLa cell. [antibody concentration 10 ug/ml] |
||
Specification |
|||
Quantity |
|
||
| Select | Brand | Catalog No. | Product Name | Pack Size | Type | Field of Research | Specification | Quantity | Price(USD) | |
| 1 | Leading Biology | APG02467G | CCK4 / PTK7 Antibody (clone 4F9) | 50 μl | Monoclonal Antibodies |
|
$495.00 | Add Ask | ||
| 2 | Leading Biology | AMM04683G | GALT Antibody (clone 4C11) | 50 μg | Monoclonal Antibodies |
|
$545.00 | Add Ask | ||
| 3 | Leading Biology | AMM01402G | Vimentin (Mesenchymal Cell Marker) Antibody - With BSA and Azide | 50 ug | Monoclonal Antibodies |
|
$395.00 | Add Ask | ||
| 4 | Leading Biology | APR08280G | LTA4H / LTA4 Antibody (clone 9G8) | 50 μl | Monoclonal Antibodies |
|
$495.00 | Add Ask | ||
| 5 | Leading Biology | AMM00172G | CD1a / HTA1 (Mature Langerhans Cells Marker) Antibody - With BSA and Azide | 50 ug | Monoclonal Antibodies |
|
$395.00 | Add Ask | ||
| 6 | Leading Biology | AMM05750G | CEBPA Antibody | 100 μl | Monoclonal Antibodies |
|
$545.00 | Add Ask |
Leading Biology Inc.
2600 Hilltop DR, Building G, B Suite C138
Richmond, CA, 94806
Tel: 1-661-524(LBI)-0262
Email: info@leadingbiology.com
Complete this form and click send to ask us a question, request a quote or simply say hello.

You have 0 item in your cart

You have 0 item in your inquiry list