> Antigen, Antibodies, ELISA, Western Blot > Primary Antibody > Monoclonal Antibodies > SAA1 Antibody (monoclonal) (M01)Brand |
Leading Biology | Catalog Number |
AMM04067G |
Product Type |
Monoclonal Antibodies | Field of Research |
|
Product Overview |
We constantly strive to ensure we provide our customers with the best antibodies. As a result of this work we offer this antibody in purified format.
We are in the process of updating our datasheets. If you have any questions regarding this update, please feel free to contact our technical support team.
This product is a high quality SAA1 Antibody (monoclonal) (M01).
|
||
Molecular Weight |
13532 Da
|
||
Host |
mouse
|
||
Species Reactivity |
Human
|
||
Target |
SAA1 (AAH07022, 1 a.a. ~ 122 a.a) full-length recombinant protein with GST tag. MW of the GST tag alone is 26 KDa.
|
||
Clone |
3C11-2C1
|
||
Isotype |
IgG2b kappa
|
||
GeneID |
|||
UniProt ID |
|||
Summary |
This gene encodes a member of the serum amyloid A family of apolipoproteins. The encoded protein is a major acute phase protein that is highly expressed in response to inflammation and tissue injury. This protein also plays an important role in HDL metabolism and cholesterol homeostasis. High levels of this protein are associated with chronic inflammatory diseases including atherosclerosis, rheumatoid arthritis, Alzheimer's disease and Crohn s disease. This protein may also be a potential biomarker for certain tumors. Alternate splicing results in multiple transcript variants that encode the same protein. A pseudogene of this gene is found on chromosome 11.
|
||
Storage & Stability |
Store at +4°C short term. For long-term storage, aliquot and store at -20°C or below. Stable for 12 months at -20°C. Avoid repeated freeze-thaw cycles.
|
||
Applications |
WB, IHC
|
||
Dilution |
WB~~1:500~1000
|
||
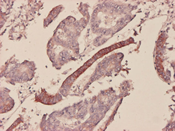
Images |
Antibody Reactive Against Recombinant Protein.Western Blot detection against Immunogen (39.16 KDa) .
SAA1 monoclonal antibody (M01), clone 3C11-2C1. Western Blot analysis of SAA1 expression in human spleen.
Immunoperoxidase of monoclonal antibody to SAA1 on formalin-fixed paraffin-embedded human colon adenocarcinoma tissue. [antibody concentration 1 ~ 10 ug/ml] |
||
Specification |
|||
Quantity |
|
||
| Select | Brand | Catalog No. | Product Name | Pack Size | Type | Field of Research | Specification | Quantity | Price(USD) | |
| 1 | Leading Biology | APG02467G | CCK4 / PTK7 Antibody (clone 4F9) | 50 μl | Monoclonal Antibodies |
|
$495.00 | Add Ask | ||
| 2 | Leading Biology | AMM04683G | GALT Antibody (clone 4C11) | 50 μg | Monoclonal Antibodies |
|
$545.00 | Add Ask | ||
| 3 | Leading Biology | AMM01402G | Vimentin (Mesenchymal Cell Marker) Antibody - With BSA and Azide | 50 ug | Monoclonal Antibodies |
|
$395.00 | Add Ask | ||
| 4 | Leading Biology | APR08280G | LTA4H / LTA4 Antibody (clone 9G8) | 50 μl | Monoclonal Antibodies |
|
$495.00 | Add Ask | ||
| 5 | Leading Biology | AMM00172G | CD1a / HTA1 (Mature Langerhans Cells Marker) Antibody - With BSA and Azide | 50 ug | Monoclonal Antibodies |
|
$395.00 | Add Ask | ||
| 6 | Leading Biology | AMM05750G | CEBPA Antibody | 100 μl | Monoclonal Antibodies |
|
$545.00 | Add Ask |
Leading Biology Inc.
2600 Hilltop DR, Building G, B Suite C138
Richmond, CA, 94806
Tel: 1-661-524(LBI)-0262
Email: info@leadingbiology.com
Complete this form and click send to ask us a question, request a quote or simply say hello.

You have 0 item in your cart

You have 0 item in your inquiry list