> Antigen, Antibodies, ELISA, Western Blot > Primary Antibody > Monoclonal Antibodies > DMTF1 Antibody (monoclonal) (M03)Brand |
Leading Biology | Catalog Number |
AMM03460G |
Product Type |
Monoclonal Antibodies | Field of Research |
|
Product Overview |
We constantly strive to ensure we provide our customers with the best antibodies. As a result of this work we offer this antibody in purified format.
We are in the process of updating our datasheets. If you have any questions regarding this update, please feel free to contact our technical support team.
This product is a high quality DMTF1 Antibody (monoclonal) (M03).
|
||
Molecular Weight |
84471 Da
|
||
Host |
mouse
|
||
Species Reactivity |
Human
|
||
Target |
DMTF1 (NP_066968, 661 a.a. ~ 760 a.a) partial recombinant protein with GST tag. MW of the GST tag alone is 26 KDa.
|
||
Clone |
5C6
|
||
Isotype |
IgG2a Kappa
|
||
GeneID |
|||
UniProt ID |
|||
Summary |
This gene encodes a transcription factor that contains a cyclin D-binding domain, three central Myb-like repeats, and two flanking acidic transactivation domains at the N- and C-termini. The encoded protein is induced by the oncogenic Ras signaling pathway and functions as a tumor suppressor by activating the transcription of ARF and thus the ARF-p53 pathway to arrest cell growth or induce apoptosis. It also activates the transcription of aminopeptidase N and may play a role in hematopoietic cell differentiation. The transcriptional activity of this protein is regulated by binding of D-cyclins. This gene is hemizygously deleted in approximately 40% of human non-small-cell lung cancer and is a potential prognostic and gene-therapy target for non-small-cell lung cancer. Multiple transcript variants encoding different isoforms have been found for this gene.
|
||
Storage & Stability |
Store at +4°C short term. For long-term storage, aliquot and store at -20°C or below. Stable for 12 months at -20°C. Avoid repeated freeze-thaw cycles.
|
||
Applications |
WB, IHC, IF
|
||
Dilution |
WB~~1:500~1000
|
||
Images |
DMTF1 monoclonal antibody (M03), clone 5C6 Western Blot analysis of DMTF1 expression in Hela S3 NE ( AMM03460G ).
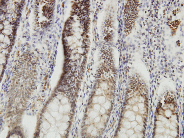
Immunoperoxidase of monoclonal antibody to DMTF1 on formalin-fixed paraffin-embedded human colon. [antibody concentration 1 ug/ml]
Immunofluorescence of monoclonal antibody to DMTF1 on HeLa cell. [antibody concentration 30 ug/ml] |
||
Specification |
|||
Quantity |
|
||
| Select | Brand | Catalog No. | Product Name | Pack Size | Type | Field of Research | Specification | Quantity | Price(USD) | |
| 1 | Leading Biology | APG02467G | CCK4 / PTK7 Antibody (clone 4F9) | 50 μl | Monoclonal Antibodies |
|
$495.00 | Add Ask | ||
| 2 | Leading Biology | AMM04683G | GALT Antibody (clone 4C11) | 50 μg | Monoclonal Antibodies |
|
$545.00 | Add Ask | ||
| 3 | Leading Biology | AMM01402G | Vimentin (Mesenchymal Cell Marker) Antibody - With BSA and Azide | 50 ug | Monoclonal Antibodies |
|
$395.00 | Add Ask | ||
| 4 | Leading Biology | APR08280G | LTA4H / LTA4 Antibody (clone 9G8) | 50 μl | Monoclonal Antibodies |
|
$495.00 | Add Ask | ||
| 5 | Leading Biology | AMM00172G | CD1a / HTA1 (Mature Langerhans Cells Marker) Antibody - With BSA and Azide | 50 ug | Monoclonal Antibodies |
|
$395.00 | Add Ask | ||
| 6 | Leading Biology | AMM05750G | CEBPA Antibody | 100 μl | Monoclonal Antibodies |
|
$545.00 | Add Ask |
Leading Biology Inc.
2600 Hilltop DR, Building G, B Suite C138
Richmond, CA, 94806
Tel: 1-661-524(LBI)-0262
Email: info@leadingbiology.com
Complete this form and click send to ask us a question, request a quote or simply say hello.

You have 0 item in your cart

You have 0 item in your inquiry list