> Antigen, Antibodies, ELISA, Western Blot > Primary Antibody > Monoclonal Antibodies > CXCL5 Antibody (monoclonal) (M05)Brand |
Leading Biology | Catalog Number |
AMM03442G |
Product Type |
Monoclonal Antibodies | Field of Research |
|
Product Overview |
We constantly strive to ensure we provide our customers with the best antibodies. As a result of this work we offer this antibody in purified format.
We are in the process of updating our datasheets. If you have any questions regarding this update, please feel free to contact our technical support team.
This product is a high quality CXCL5 Antibody (monoclonal) (M05).
|
||
Molecular Weight |
11972 Da
|
||
Host |
mouse
|
||
Species Reactivity |
Human
|
||
Target |
CXCL5 (AAH08376, 1 a.a. ~ 114 a.a) full-length recombinant protein with GST tag. MW of the GST tag alone is 26 KDa.
|
||
Clone |
S5
|
||
Isotype |
IgG1 Kappa
|
||
GeneID |
|||
UniProt ID |
|||
Summary |
The protein encoded by this gene is an inflammatory chemokine that belongs to the CXC chemokine family. This chemokine is produced concomitantly with interleukin-8 (IL8) in response to stimulation with either interleukin-1 (IL1) or tumor necrosis factor-alpha (TNFA). This chemokine is a potent chemotaxin involved in neutrophil activation.
|
||
Storage & Stability |
Store at +4°C short term. For long-term storage, aliquot and store at -20°C or below. Stable for 12 months at -20°C. Avoid repeated freeze-thaw cycles.
|
||
Applications |
WB, IHC
|
||
Dilution |
WB~~1:500~1000
|
||
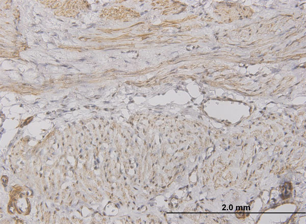
Images |
Antibody Reactive Against Recombinant Protein.Western Blot detection against Immunogen (38.28 KDa) .
Western Blot analysis of CXCL5 expression in transfected 293T cell line by CXCL5 monoclonal antibody (M05), clone 2A9.Lane 1: CXCL5 transfected lysate(12 KDa).Lane 2: Non-transfected lysate.
Immunoperoxidase of monoclonal antibody to CXCL5 on formalin-fixed paraffin-embedded human smooth muscle. [antibody concentration 0.7 ug/ml] |
||
Specification |
|||
Quantity |
|
||
| Select | Brand | Catalog No. | Product Name | Pack Size | Type | Field of Research | Specification | Quantity | Price(USD) | |
| 1 | Leading Biology | APG02467G | CCK4 / PTK7 Antibody (clone 4F9) | 50 μl | Monoclonal Antibodies |
|
$495.00 | Add Ask | ||
| 2 | Leading Biology | AMM04683G | GALT Antibody (clone 4C11) | 50 μg | Monoclonal Antibodies |
|
$545.00 | Add Ask | ||
| 3 | Leading Biology | AMM01402G | Vimentin (Mesenchymal Cell Marker) Antibody - With BSA and Azide | 50 ug | Monoclonal Antibodies |
|
$395.00 | Add Ask | ||
| 4 | Leading Biology | APR08280G | LTA4H / LTA4 Antibody (clone 9G8) | 50 μl | Monoclonal Antibodies |
|
$495.00 | Add Ask | ||
| 5 | Leading Biology | AMM00172G | CD1a / HTA1 (Mature Langerhans Cells Marker) Antibody - With BSA and Azide | 50 ug | Monoclonal Antibodies |
|
$395.00 | Add Ask | ||
| 6 | Leading Biology | AMM05750G | CEBPA Antibody | 100 μl | Monoclonal Antibodies |
|
$545.00 | Add Ask |
Leading Biology Inc.
2600 Hilltop DR, Building G, B Suite C138
Richmond, CA, 94806
Tel: 1-661-524(LBI)-0262
Email: info@leadingbiology.com
Complete this form and click send to ask us a question, request a quote or simply say hello.

You have 0 item in your cart

You have 0 item in your inquiry list