> Antigen, Antibodies, ELISA, Western Blot > Primary Antibody > Monoclonal Antibodies > Major Vault Protein (MVP) Antibody - Without BSA and AzideBrand |
Leading Biology | Catalog Number |
AMM01653G |
Product Type |
Monoclonal Antibodies | Field of Research |
|
Product Overview |
We constantly strive to ensure we provide our customers with the best antibodies. As a result of this work we offer this antibody in purified format.
We are in the process of updating our datasheets. If you have any questions regarding this update, please feel free to contact our technical support team.
This product is a high quality Major Vault Protein (MVP) Antibody - Without BSA and Azide.
|
||
Molecular Weight |
104-110kDa
|
||
Cellular Localization |
Antigen Cellular Localization:
Cytoplasm. Nucleus, nuclear pore complex. Note=5% found in the nuclear pore complex. Translocates from the nucleus to the cytoplasm upon EGF treatment
|
||
Host |
Mouse
|
||
Species Reactivity |
Human
|
||
Clone |
1032
|
||
Isotype |
Mouse / IgG1, kappa
|
||
Symbol |
LRP
|
||
GeneID |
|||
UniProt ID |
|||
Function |
Required for normal vault structure. Vaults are multi- subunit structures that may act as scaffolds for proteins involved in signal transduction. Vaults may also play a role in nucleo- cytoplasmic transport. Down-regulates INFG-mediated STAT1 signaling and subsequent activation of JAK. Down-regulates SRC activity and signaling through MAP kinases.
|
||
Summary |
Recognizes a protein of 104kDa-110kDa, characterized as major vault protein (MVP). Vaults are large ribonucleoprotein particles (RNPs) present in all eukaryotic cells. They have a complex morphology, including several small molecules of RNA, but a single protein species. The MVP accounts for >70% of their mass. Their shape is reminiscent of the nucleopore central plug. Treatment of cells with estradiol increases the amount of MVP in nuclear extract. The hormone-dependent interaction of vaults with ER is prevented in vitro by sodium molybdate. Antibodies to estrogen, progesterone and glucocorticoid receptors are able to co-immunoprecipitate the MVP. MVP is overexpressed in many neoplastic tissues and cell lines. Expression of MVP predicts a poor response to chemotherapy.
|
||
Form |
Liquid |
||
Storage & Stability |
Store at +4°C short term. For long-term storage, aliquot and store at -20°C or below. Stable for 12 months at -20°C. Avoid repeated freeze-thaw cycles.
|
||
Applications |
IHC, IF, FC
|
||
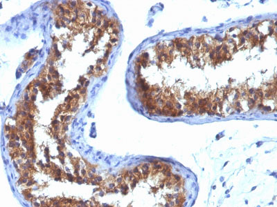
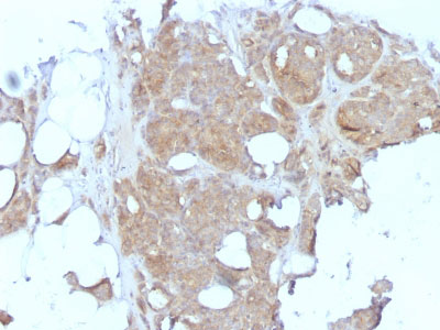
Images |
Formalin-fixed, paraffin-embedded human Testicular Carcinoma stained with MVP Monoclonal Antibody (1032).
Formalin-fixed, paraffin-embedded human Breast Carcinoma stained with MVP Monoclonal Antibody (1032). |
||
Specification |
|||
Quantity |
|
||
| Select | Brand | Catalog No. | Product Name | Pack Size | Type | Field of Research | Specification | Quantity | Price(USD) | |
| 1 | Leading Biology | APG02467G | CCK4 / PTK7 Antibody (clone 4F9) | 50 μl | Monoclonal Antibodies |
|
$495.00 | Add Ask | ||
| 2 | Leading Biology | AMM04683G | GALT Antibody (clone 4C11) | 50 μg | Monoclonal Antibodies |
|
$545.00 | Add Ask | ||
| 3 | Leading Biology | AMM01402G | Vimentin (Mesenchymal Cell Marker) Antibody - With BSA and Azide | 50 ug | Monoclonal Antibodies |
|
$395.00 | Add Ask | ||
| 4 | Leading Biology | APR08280G | LTA4H / LTA4 Antibody (clone 9G8) | 50 μl | Monoclonal Antibodies |
|
$495.00 | Add Ask | ||
| 5 | Leading Biology | AMM00172G | CD1a / HTA1 (Mature Langerhans Cells Marker) Antibody - With BSA and Azide | 50 ug | Monoclonal Antibodies |
|
$395.00 | Add Ask | ||
| 6 | Leading Biology | AMM05750G | CEBPA Antibody | 100 μl | Monoclonal Antibodies |
|
$545.00 | Add Ask |
Leading Biology Inc.
2600 Hilltop DR, Building G, B Suite C138
Richmond, CA, 94806
Tel: 1-661-524(LBI)-0262
Email: info@leadingbiology.com
Complete this form and click send to ask us a question, request a quote or simply say hello.

You have 0 item in your cart

You have 0 item in your inquiry list