> Antigen, Antibodies, ELISA, Western Blot > Primary Antibody > Monoclonal Antibodies > Nuclear Mitotic Apparatus Protein (NuMA) Antibody - Without BSA and AzideBrand |
Leading Biology | Catalog Number |
AMM01158G |
Product Type |
Monoclonal Antibodies | Field of Research |
|
Product Overview |
We constantly strive to ensure we provide our customers with the best antibodies. As a result of this work we offer this antibody in purified format.
We are in the process of updating our datasheets. If you have any questions regarding this update, please feel free to contact our technical support team.
This product is a high quality Nuclear Mitotic Apparatus Protein (NuMA) Antibody - Without BSA and Azide.
|
||
Molecular Weight |
228kDa
|
||
Cellular Localization |
Antigen Cellular Localization:
Nucleus matrix. Chromosome. Cytoplasm, cytoskeleton, spindle pole. Note=Resides in the nuclear matrix during interphases. Dissociates from condensing chromosomes during early prophase, and relocates to the spindle poles via dynein/dynamin association, it remain there until the anaphase onset. Before the complete disintegration of the nuclear lamina As mitosis progresses it reassociates with telophase chromosomes very early during nuclear reformation, before substantial accumulation of lamins on chromosomal surfaces is evident Isoform Numa-s: Cytoplasm. Note=Mainly clustered at the centrosomal region
|
||
Host |
Mouse
|
||
Species Reactivity |
Human
|
||
Clone |
A73-B/D12
|
||
Isotype |
Mouse / IgM, kappa
|
||
GeneID |
|||
UniProt ID |
|||
Function |
Highly abundant component of the nuclear matrix where it may serve a non-mitotic structural role, occupies the majority if the nuclear volume. Required for maintenance and establishment of the mitotic spindle poles, functionning as a tether linking bulk microtubules of the spindle to centrosomes. May be involved in coordination of the alignment of the mitotic spindle to the cellular polarity axis, which is a prerequisite for asymmetric cell divisions.
|
||
Summary |
Recognizes a phosphorylated protein of 228kDa, identified as nuclear mitotic apparatus protein (NuMA). Its epitope is resistant to phosphatases. NuMA is intra-nuclear protein and present in nucleus during interphase. At the onset of mitosis, it redistributes from the nucleus to two centrosomal structures that later will become part of the mitotic spindle pole. After anaphase, the protein redistributes from the spindle polar region into reforming nucleus. NuMA is an essential protein during mitosis for the terminal phases of chromosome separation and/or nuclear reassembly. Recently a study shows that NuMA is cleaved to a 180 to 200kDa during apoptosis. Chromosomal translocation of this gene with the RARA (retinoic acid receptor, alpha) gene on chromosome 17 has been detected in patients with acute promyelocytic leukemia.
|
||
Form |
Liquid |
||
Storage & Stability |
Store at +4°C short term. For long-term storage, aliquot and store at -20°C or below. Stable for 12 months at -20°C. Avoid repeated freeze-thaw cycles.
|
||
Applications |
IHC, IF, FC
|
||
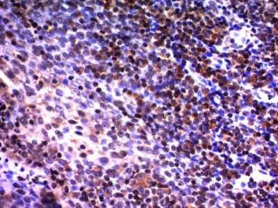
Images |
Formalin-fixed, paraffin-embedded human Tonsil stained with NuMA Monoclonal Antibody (A73-B/D12) |
||
Specification |
|||
Quantity |
|
||
| Select | Brand | Catalog No. | Product Name | Pack Size | Type | Field of Research | Specification | Quantity | Price(USD) | |
| 1 | Leading Biology | APG02467G | CCK4 / PTK7 Antibody (clone 4F9) | 50 μl | Monoclonal Antibodies |
|
$495.00 | Add Ask | ||
| 2 | Leading Biology | AMM04683G | GALT Antibody (clone 4C11) | 50 μg | Monoclonal Antibodies |
|
$545.00 | Add Ask | ||
| 3 | Leading Biology | AMM01402G | Vimentin (Mesenchymal Cell Marker) Antibody - With BSA and Azide | 50 ug | Monoclonal Antibodies |
|
$395.00 | Add Ask | ||
| 4 | Leading Biology | APR08280G | LTA4H / LTA4 Antibody (clone 9G8) | 50 μl | Monoclonal Antibodies |
|
$495.00 | Add Ask | ||
| 5 | Leading Biology | AMM00172G | CD1a / HTA1 (Mature Langerhans Cells Marker) Antibody - With BSA and Azide | 50 ug | Monoclonal Antibodies |
|
$395.00 | Add Ask | ||
| 6 | Leading Biology | AMM05750G | CEBPA Antibody | 100 μl | Monoclonal Antibodies |
|
$545.00 | Add Ask |
Leading Biology Inc.
2600 Hilltop DR, Building G, B Suite C138
Richmond, CA, 94806
Tel: 1-661-524(LBI)-0262
Email: info@leadingbiology.com
Complete this form and click send to ask us a question, request a quote or simply say hello.

You have 0 item in your cart

You have 0 item in your inquiry list