> Antigen, Antibodies, ELISA, Western Blot > Primary Antibody > Monoclonal Antibodies > c-Myc Oncoprotein Antibody - Without BSA and AzideBrand |
Leading Biology | Catalog Number |
AMM01129G |
Product Type |
Monoclonal Antibodies | Field of Research |
|
Product Overview |
We constantly strive to ensure we provide our customers with the best antibodies. As a result of this work we offer this antibody in purified format.
We are in the process of updating our datasheets. If you have any questions regarding this update, please feel free to contact our technical support team.
This product is a high quality c-Myc Oncoprotein Antibody - Without BSA and Azide.
|
||
Molecular Weight |
62-64kDa
|
||
Cellular Localization |
Antigen Cellular Localization:
Nucleus, nucleoplasm. Nucleus, nucleolus
|
||
Host |
Mouse
|
||
Species Reactivity |
Human
|
||
Clone |
9E10.3
|
||
Isotype |
Mouse / IgG1, kappa
|
||
Symbol |
BHLHE39
|
||
GeneID |
|||
UniProt ID |
|||
Function |
Transcription factor that binds DNA in a non-specific manner, yet also specifically recognizes the core sequence 5'- CAC[GA]TG-3'. Activates the transcription of growth-related genes.
|
||
Summary |
It recognizes a transcription factor of 64-67kDa, identified as c-myc. Its epitope spans between aa 410-419 (EQKLISEEDL) which is a specific portion of an alpha helical region of human c-myc protein. This MAb shows no cross-reaction with v-myc. c-myc is involved in the control of cell proliferation and differentiation and is amplified and/or overexpressed in a variety of tumors. Over-expression of c-myc protein occurs frequently in luminal cells of prostate intraepithelial neoplasia as well as in most primary carcinomas and metastatic disease.?
|
||
Form |
Liquid |
||
Storage & Stability |
Store at +4°C short term. For long-term storage, aliquot and store at -20°C or below. Stable for 12 months at -20°C. Avoid repeated freeze-thaw cycles.
|
||
Applications |
IHC, IF, FC
|
||
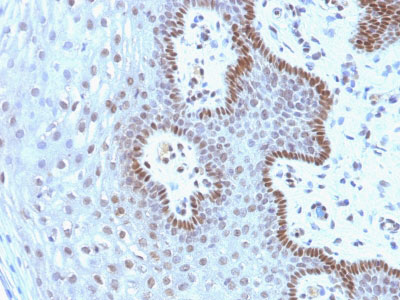
Images |
Formalin-fixed, paraffin-embedded human Cervical Carcinoma stained with c-myc Monoclonal Antibody (9E10.3). |
||
Specification |
|||
Quantity |
|
||
| Select | Brand | Catalog No. | Product Name | Pack Size | Type | Field of Research | Specification | Quantity | Price(USD) | |
| 1 | Leading Biology | APG02467G | CCK4 / PTK7 Antibody (clone 4F9) | 50 μl | Monoclonal Antibodies |
|
$495.00 | Add Ask | ||
| 2 | Leading Biology | AMM04683G | GALT Antibody (clone 4C11) | 50 μg | Monoclonal Antibodies |
|
$545.00 | Add Ask | ||
| 3 | Leading Biology | AMM01402G | Vimentin (Mesenchymal Cell Marker) Antibody - With BSA and Azide | 50 ug | Monoclonal Antibodies |
|
$395.00 | Add Ask | ||
| 4 | Leading Biology | APR08280G | LTA4H / LTA4 Antibody (clone 9G8) | 50 μl | Monoclonal Antibodies |
|
$495.00 | Add Ask | ||
| 5 | Leading Biology | AMM00172G | CD1a / HTA1 (Mature Langerhans Cells Marker) Antibody - With BSA and Azide | 50 ug | Monoclonal Antibodies |
|
$395.00 | Add Ask | ||
| 6 | Leading Biology | AMM05750G | CEBPA Antibody | 100 μl | Monoclonal Antibodies |
|
$545.00 | Add Ask |
Leading Biology Inc.
2600 Hilltop DR, Building G, B Suite C138
Richmond, CA, 94806
Tel: 1-661-524(LBI)-0262
Email: info@leadingbiology.com
Complete this form and click send to ask us a question, request a quote or simply say hello.

You have 0 item in your cart

You have 0 item in your inquiry list