> Antigen, Antibodies, ELISA, Western Blot > Primary Antibody > Monoclonal Antibodies > MUC5AC (Mucin 5AC / Gastric Mucin) Antibody - Without BSA and AzideBrand |
Leading Biology | Catalog Number |
AMM01116G |
Product Type |
Monoclonal Antibodies | Field of Research |
|
Product Overview |
We constantly strive to ensure we provide our customers with the best antibodies. As a result of this work we offer this antibody in purified format.
We are in the process of updating our datasheets. If you have any questions regarding this update, please feel free to contact our technical support team.
This product is a high quality MUC5AC (Mucin 5AC / Gastric Mucin) Antibody - Without BSA and Azide.
|
||
Molecular Weight |
641kDa
|
||
Cellular Localization |
Antigen Cellular Localization:
Secreted.
|
||
Host |
Mouse
|
||
Species Reactivity |
Human
|
||
Clone |
MUC5AC/917 + 45M1
|
||
Isotype |
Mouse / IgG's
|
||
Symbol |
MUC5
|
||
UniProt ID |
|||
Function |
Gel-forming glycoprotein of gastric and respiratoy tract epithelia that protects the mucosa from infection and chemical damage by binding to inhaled microrganisms and particles that are subsequently removed by the mucocilary system.
|
||
Summary |
Mucin 5AC glycoprotein (MUC5AC) is a 641kDa glycoprotein belonging to the superfamily of mucins. Mucins are high molecular weight glycoproteins produced by epithelial cells and can be divided into two families; secretory mucins and membrane bound mucins. MUC5AC is a mucus-forming secreted mucin that is found in normal gastric and tracheo-bronchial mucosa, but absent from normal colon. MUC5AC expression is present in primary ovarian mucinous cancer but usually absent in colorectal adenocarcinoma, thus showing an expression pattern opposite to MUC2. Together with a panel of antibodies, Anti-MUC5AC may be useful for differential identification of primary mucinous ovarian tumors from colon adenocarcinoma metastatic to the ovary. MUC5AC antibodies may also be useful for identification of intestinal metaplasia as well as in the identification of pancreatic carcinoma and pre-cancerous changes vs. normal pancreas.
|
||
Form |
Liquid |
||
Storage & Stability |
Store at +4°C short term. For long-term storage, aliquot and store at -20°C or below. Stable for 12 months at -20°C. Avoid repeated freeze-thaw cycles.
|
||
Applications |
IHC, IF, FC
|
||
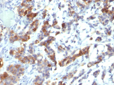
Images |
Formalin-fixed, paraffin-embedded human Stomach stained with MUC5AC Monoclonal Antibody (MUC5AC/917 + 45M1).
Formalin-fixed, paraffin-embedded human Gastric Carcinoma stained with MUC5AC Monoclonal Antibody (MUC5AC/917 + 45M1). |
||
Specification |
|||
Quantity |
|
||
| Select | Brand | Catalog No. | Product Name | Pack Size | Type | Field of Research | Specification | Quantity | Price(USD) | |
| 1 | Leading Biology | APG02467G | CCK4 / PTK7 Antibody (clone 4F9) | 50 μl | Monoclonal Antibodies |
|
$495.00 | Add Ask | ||
| 2 | Leading Biology | AMM04683G | GALT Antibody (clone 4C11) | 50 μg | Monoclonal Antibodies |
|
$545.00 | Add Ask | ||
| 3 | Leading Biology | AMM01402G | Vimentin (Mesenchymal Cell Marker) Antibody - With BSA and Azide | 50 ug | Monoclonal Antibodies |
|
$395.00 | Add Ask | ||
| 4 | Leading Biology | APR08280G | LTA4H / LTA4 Antibody (clone 9G8) | 50 μl | Monoclonal Antibodies |
|
$495.00 | Add Ask | ||
| 5 | Leading Biology | AMM00172G | CD1a / HTA1 (Mature Langerhans Cells Marker) Antibody - With BSA and Azide | 50 ug | Monoclonal Antibodies |
|
$395.00 | Add Ask | ||
| 6 | Leading Biology | AMM05750G | CEBPA Antibody | 100 μl | Monoclonal Antibodies |
|
$545.00 | Add Ask |
Leading Biology Inc.
2600 Hilltop DR, Building G, B Suite C138
Richmond, CA, 94806
Tel: 1-661-524(LBI)-0262
Email: info@leadingbiology.com
Complete this form and click send to ask us a question, request a quote or simply say hello.

You have 0 item in your cart

You have 0 item in your inquiry list