> Antigen, Antibodies, ELISA, Western Blot > Primary Antibody > Monoclonal Antibodies > MUC2 (Mucin 2) Antibody - Without BSA and AzideBrand |
Leading Biology | Catalog Number |
AMM00339G |
Product Type |
Monoclonal Antibodies | Field of Research |
|
Product Overview |
We constantly strive to ensure we provide our customers with the best antibodies. As a result of this work we offer this antibody in purified format.
We are in the process of updating our datasheets. If you have any questions regarding this update, please feel free to contact our technical support team.
This product is a high quality MUC2 (Mucin 2) Antibody - Without BSA and Azide.
|
||
Molecular Weight |
520kDa
|
||
Cellular Localization |
Antigen Cellular Localization:
Secreted. Note=In the intestine, secreted into the inner and outer mucus layers.
|
||
Host |
Mouse
|
||
Species Reactivity |
Human
|
||
Clone |
SPM296
|
||
Isotype |
Mouse / IgG1, kappa
|
||
Symbol |
SMUC
|
||
GeneID |
|||
UniProt ID |
|||
Function |
Coats the epithelia of the intestines, airways, and other mucus membrane-containing organs. Thought to provide a protective, lubricating barrier against particles and infectious agents at mucosal surfaces. Major constituent of both the inner and outer mucus layers of the colon and may play a role in excluding bacteria from the inner mucus layer.
|
||
Summary |
Recognizes a single glycoprotein of 520kDa, identified as mucin 2 (MUC2). This MAb shows no cross-reaction with human milk fat globule membranes, MUC1, or MUC3. Mucins are high molecular weight glycoproteins, which constitute the major component of the mucus layer that protects the gastric epithelium.?MUC2 is specifically expressed in goblet cells of the small intestine & colon; in about 65% of colonic carcinomas and about 40% of gastric carcinomas. MUC2 is rarely expressed outside of the GI tract with the exceptions of mucinous carcinoma of breast and clear cell-type carcinomas of the ovary.
|
||
Form |
Liquid. Purified antibody supplied in 1x PBS buffer with 0.09% (w/v) sodium azide and 2% sucrose. |
||
Storage & Stability |
Store at +4°C short term. For long-term storage, aliquot and store at -20°C or below. Stable for 12 months at -20°C. Avoid repeated freeze-thaw cycles.
|
||
Applications |
IHC-P, IF, FC
|
||
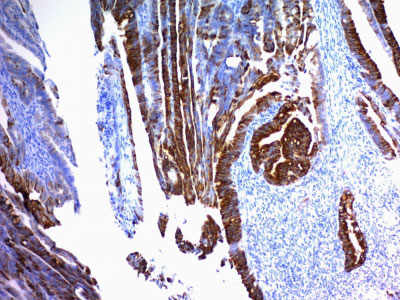
Images |
Formalin-fixed, paraffin-embedded human Colon Carcinoma stained with MUC2 Monoclonal Antibody (SPM296). |
||
Specification |
|||
Quantity |
|
||
| Select | Brand | Catalog No. | Product Name | Pack Size | Type | Field of Research | Specification | Quantity | Price(USD) | |
| 1 | Leading Biology | APG02467G | CCK4 / PTK7 Antibody (clone 4F9) | 50 μl | Monoclonal Antibodies |
|
$495.00 | Add Ask | ||
| 2 | Leading Biology | AMM04683G | GALT Antibody (clone 4C11) | 50 μg | Monoclonal Antibodies |
|
$545.00 | Add Ask | ||
| 3 | Leading Biology | AMM01402G | Vimentin (Mesenchymal Cell Marker) Antibody - With BSA and Azide | 50 ug | Monoclonal Antibodies |
|
$395.00 | Add Ask | ||
| 4 | Leading Biology | APR08280G | LTA4H / LTA4 Antibody (clone 9G8) | 50 μl | Monoclonal Antibodies |
|
$495.00 | Add Ask | ||
| 5 | Leading Biology | AMM00172G | CD1a / HTA1 (Mature Langerhans Cells Marker) Antibody - With BSA and Azide | 50 ug | Monoclonal Antibodies |
|
$395.00 | Add Ask | ||
| 6 | Leading Biology | AMM05750G | CEBPA Antibody | 100 μl | Monoclonal Antibodies |
|
$545.00 | Add Ask |
Leading Biology Inc.
2600 Hilltop DR, Building G, B Suite C138
Richmond, CA, 94806
Tel: 1-661-524(LBI)-0262
Email: info@leadingbiology.com
Complete this form and click send to ask us a question, request a quote or simply say hello.

You have 0 item in your cart

You have 0 item in your inquiry list