> Antigen, Antibodies, ELISA, Western Blot > Primary Antibody > Monoclonal Antibodies > Bcl-6 (Follicular Lymphoma Marker) AntibodyBrand |
Leading Biology | Catalog Number |
AMM01306G |
Product Type |
Monoclonal Antibodies | Field of Research |
|
Product Overview |
We constantly strive to ensure we provide our customers with the best antibodies. As a result of this work we offer this antibody in purified format.
We are in the process of updating our datasheets. If you have any questions regarding this update, please feel free to contact our technical support team.
This product is a high quality Bcl-6 (Follicular Lymphoma Marker) Antibody.
|
||
Molecular Weight |
95kDa
|
||
Cellular Localization |
Antigen Cellular Localization:
Nucleus
|
||
Host |
Mouse
|
||
Species Reactivity |
Human, Mouse
|
||
Clone |
PG-B6P
|
||
Isotype |
Mouse / IgG1, kappa
|
||
Symbol |
BCL5, LAZ3, ZBTB27, ZNF51
|
||
GeneID |
|||
UniProt ID |
|||
Function |
Transcriptional repressor mainly required for germinal center (GC) formation and antibody affinity maturation which has different mechanisms of action specific to the lineage and biological functions. Forms complexes with different corepressors and histone deacetylases to repress the transcriptional expression of different subsets of target genes. Represses its target genes by binding directly to the DNA sequence 5'-TTCCTAGAA-3' (BCL6- binding site) or indirectly by repressing the transcriptional activity of transcription factors. In GC B-cells, represses genes that function in differentiation, inflammation, apoptosis and cell cycle control, also autoregulates its transcriptional expression and up-regulates, indirectly, the expression of some genes important for GC reactions, such as AICDA, through the repression of microRNAs expression, like miR155. An important function is to allow GC B-cells to proliferate very rapidly in response to T-cell dependent antigens and tolerate the physiological DNA breaks required for immunglobulin class switch recombination and somatic hypermutation without inducing a p53/TP53-dependent apoptotic response. In follicular helper CD4(+) T-cells (T(FH) cells), promotes the expression of T(FH)-related genes but inhibits the differentiation of T(H)1, T(H)2 and T(H)17 cells. Also required for the establishment and maintenance of immunological memory for both T- and B-cells. Suppresses macrophage proliferation through competition with STAT5 for STAT-binding motifs binding on certain target genes, such as CCL2 and CCND2. In response to genotoxic stress, controls cell cycle arrest in GC B-cells in both p53/TP53- dependedent and -independent manners. Besides, also controls neurogenesis through the alteration of the composition of NOTCH- dependent transcriptional complexes at selective NOTCH targets, such as HES5, including the recruitment of the deacetylase SIRT1 and resulting in an epigenetic silencing leading to neuronal differentiation.
|
||
Summary |
Recognizes a protein of 95kDa, which is identified as Bcl-6. Antibody to bcl-6 is helpful in a number of diagnostic settings: (1) In the differential diagnosis of small B-cell lymphoma. Follicular lymphoma will show bcl-6 (and CD10) positivity whereas other small B-cell lymphomas are usually negative. (2) Bcl-6 is an important prognostic marker in diffuse large B-cell lymphomas (DLBCL), where CD10, bcl-6 and MUM1/IRF4 are used to identify germinal center and activated B-cell phenotypes. (3) Bcl-6 can be valuable in distinguishing classical Hodgkin lymphoma from nodular lymphocyte predominant Hodgkin lymphoma (NLPHL). The Reed-Sternberg cells of classical Hodgkin lymphoma are bcl-6 negative whereas the large (?L&H?) cells of NLPHL are bcl-6 positive. In contrast, anti-Bcl-6 rarely stains mantle-cell lymphoma and MALT lymphoma.
|
||
Form |
Liquid |
||
Storage & Stability |
Store at +4°C short term. For long-term storage, aliquot and store at -20°C or below. Stable for 12 months at -20°C. Avoid repeated freeze-thaw cycles.
|
||
Applications |
IHC, IF
|
||
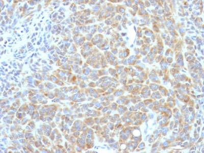
Images |
Formalin-fixed, paraffin-embedded human Hodgkin's Lymphoma stained with bcl-6 Monoclonal Antibody (PG-B6P).
Formalin-fixed, paraffin-embedded human Melanoma stained with bcl-6 Monoclonal Antibody (PG-B6P). |
||
Specification |
|||
Quantity |
|
||
| Select | Brand | Catalog No. | Product Name | Pack Size | Type | Field of Research | Specification | Quantity | Price(USD) | |
| 1 | Leading Biology | APG02467G | CCK4 / PTK7 Antibody (clone 4F9) | 50 μl | Monoclonal Antibodies |
|
$495.00 | Add Ask | ||
| 2 | Leading Biology | AMM04683G | GALT Antibody (clone 4C11) | 50 μg | Monoclonal Antibodies |
|
$545.00 | Add Ask | ||
| 3 | Leading Biology | AMM01402G | Vimentin (Mesenchymal Cell Marker) Antibody - With BSA and Azide | 50 ug | Monoclonal Antibodies |
|
$395.00 | Add Ask | ||
| 4 | Leading Biology | APR08280G | LTA4H / LTA4 Antibody (clone 9G8) | 50 μl | Monoclonal Antibodies |
|
$495.00 | Add Ask | ||
| 5 | Leading Biology | AMM00172G | CD1a / HTA1 (Mature Langerhans Cells Marker) Antibody - With BSA and Azide | 50 ug | Monoclonal Antibodies |
|
$395.00 | Add Ask | ||
| 6 | Leading Biology | AMM05750G | CEBPA Antibody | 100 μl | Monoclonal Antibodies |
|
$545.00 | Add Ask |
Leading Biology Inc.
2600 Hilltop DR, Building G, B Suite C138
Richmond, CA, 94806
Tel: 1-661-524(LBI)-0262
Email: info@leadingbiology.com
Complete this form and click send to ask us a question, request a quote or simply say hello.

You have 0 item in your cart

You have 0 item in your inquiry list