> Antigen, Antibodies, ELISA, Western Blot > Primary Antibody > Monoclonal Antibodies > Microphthalmia Transcription Factor (MITF) AntibodyBrand |
Leading Biology | Catalog Number |
AMM01049G |
Product Type |
Monoclonal Antibodies | Field of Research |
|
Product Overview |
We constantly strive to ensure we provide our customers with the best antibodies. As a result of this work we offer this antibody in purified format.
We are in the process of updating our datasheets. If you have any questions regarding this update, please feel free to contact our technical support team.
This product is a high quality Microphthalmia Transcription Factor (MITF) Antibody.
|
||
Molecular Weight |
52-56kDa (doublet)
|
||
Cellular Localization |
Antigen Cellular Localization:
Nucleus.
|
||
Host |
Mouse
|
||
Species Reactivity |
Human
|
||
Clone |
D5 + MITF/915
|
||
Isotype |
Mouse / IgG's
|
||
Symbol |
BHLHE32
|
||
GeneID |
|||
UniProt ID |
|||
Function |
Transcription factor that regulates the expression of genes with essential roles in cell differentiation, proliferation and survival. Binds to symmetrical DNA sequences (E-boxes) (5'- CACGTG-3') found in the promoters of target genes, such as BCL2 and tyrosinase (TYR). Plays an important role in melanocyte development by regulating the expression of tyrosinase (TYR) and tyrosinase-related protein 1 (TYRP1). Plays a critical role in the differentiation of various cell types, such as neural crest- derived melanocytes, mast cells, osteoclasts and optic cup-derived retinal pigment epithelium.
|
||
Summary |
MITF (microphthalmia transcription factor) is a basic helix-loop-helix-leucine-zipper (bHLH-Zip) transcription factor that regulates the development and survival of melanocytes and retinal pigment epithelium, and also is involved in transcription of pigmentation enzyme genes such as tyrosinase TRP1 and TRP2. MITF has been shown to be phosphorylated by MAP kinase in response to c-kit activation, resulting in upregulation of MITF transcriptional activity. Mutations of the MITF gene are associated with the autosomal dominant hereditary deafness and pigmentation condition, Waardenburg Syndrome type 2A. Multiple isoforms of MITF exist, including MITF-A, MITF-B, MITF-C, MITF-H, and MITF-M, which differ in the amino-terminal domain and in their expression patterns. The MITF-M isoform is restricted to the melanocyte cell lineage. Anti-MITF, D5, recognizes a nuclear protein, which is expressed in the majority of primary and metastatic epithelioid malignant melanomas as well as in normal melanocytes, benign nevi and dysplastic nevi.
|
||
Form |
Liquid |
||
Storage & Stability |
Store at +4°C short term. For long-term storage, aliquot and store at -20°C or below. Stable for 12 months at -20°C. Avoid repeated freeze-thaw cycles.
|
||
Applications |
IHC, IF, FC
|
||
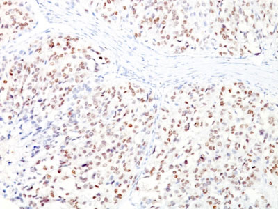
Images |
Formalin-fixed, paraffin-embedded human Melanoma stained with MITF Monoclonal Antibody (D5 + MITF/915). |
||
Specification |
|||
Quantity |
|
||
| Select | Brand | Catalog No. | Product Name | Pack Size | Type | Field of Research | Specification | Quantity | Price(USD) | |
| 1 | Leading Biology | APG02467G | CCK4 / PTK7 Antibody (clone 4F9) | 50 μl | Monoclonal Antibodies |
|
$495.00 | Add Ask | ||
| 2 | Leading Biology | AMM04683G | GALT Antibody (clone 4C11) | 50 μg | Monoclonal Antibodies |
|
$545.00 | Add Ask | ||
| 3 | Leading Biology | AMM01402G | Vimentin (Mesenchymal Cell Marker) Antibody - With BSA and Azide | 50 ug | Monoclonal Antibodies |
|
$395.00 | Add Ask | ||
| 4 | Leading Biology | APR08280G | LTA4H / LTA4 Antibody (clone 9G8) | 50 μl | Monoclonal Antibodies |
|
$495.00 | Add Ask | ||
| 5 | Leading Biology | AMM00172G | CD1a / HTA1 (Mature Langerhans Cells Marker) Antibody - With BSA and Azide | 50 ug | Monoclonal Antibodies |
|
$395.00 | Add Ask | ||
| 6 | Leading Biology | AMM05750G | CEBPA Antibody | 100 μl | Monoclonal Antibodies |
|
$545.00 | Add Ask |
Leading Biology Inc.
2600 Hilltop DR, Building G, B Suite C138
Richmond, CA, 94806
Tel: 1-661-524(LBI)-0262
Email: info@leadingbiology.com
Complete this form and click send to ask us a question, request a quote or simply say hello.

You have 0 item in your cart

You have 0 item in your inquiry list