> Antigen, Antibodies, ELISA, Western Blot > Primary Antibody > Monoclonal Antibodies > AMP Deaminase, Isoform E (AMPD3) (Erythroid Marker) AntibodyBrand |
Leading Biology | Catalog Number |
AMM00776G |
Product Type |
Monoclonal Antibodies | Field of Research |
|
Product Overview |
We constantly strive to ensure we provide our customers with the best antibodies. As a result of this work we offer this antibody in purified format.
We are in the process of updating our datasheets. If you have any questions regarding this update, please feel free to contact our technical support team.
This product is a high quality AMP Deaminase, Isoform E (AMPD3) (Erythroid Marker) Antibody.
|
||
Molecular Weight |
~90kDa
|
||
Host |
Mouse
|
||
Species Reactivity |
Human
|
||
Clone |
AMPD3/901
|
||
Isotype |
Mouse / IgG2b, kappa
|
||
GeneID |
|||
UniProt ID |
|||
Function |
AMP deaminase plays a critical role in energy metabolism.
|
||
Summary |
It recognizes a protein of ~90kDa, which is identified as Adenosine Monophosphate Deaminase, isoform E (AMPD3). It has 767 amino acids and is assigned an EC 3.5.4.6. It is a highly regulated enzyme that catalyzes the hydrolytic deamination of adenosine monophosphate to inosine monophosphate, a branch point in the adenylate catabolic pathway. AMPD3 gene encodes the erythrocyte (E) isoforms, whereas other family members encode isoforms that predominate in muscle (M) and liver (L) cells. This MAb shows reactivity with cells of the erythroid lineage at all stages of maturation in the peripheral blood, bone marrow, and fetal liver. Non-erythroid lineages are negative by flow cytometry. This MAb is useful in the diagnosis of erythroleukemia, identification of bone marrow erythroid precursors, gating erythroid nucleated precursor cells from malignant cells in bone marrow specimens.
|
||
Form |
Liquid |
||
Storage & Stability |
Store at +4°C short term. For long-term storage, aliquot and store at -20°C or below. Stable for 12 months at -20°C. Avoid repeated freeze-thaw cycles.
|
||
Applications |
IHC-F, IF, FC, ICC
|
||
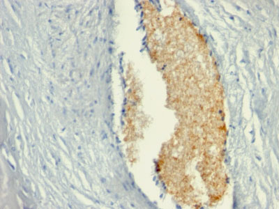
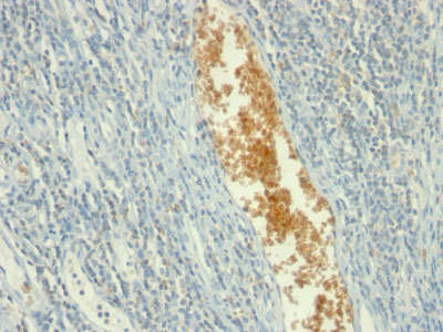
Images |
Formalin-fixed, paraffin-embedded human Tonsil stained with AMPD3 Monoclonal Antibody (AMPD3/901)
Formalin-fixed, paraffin-embedded human Placenta stained with AMPD3 Monoclonal Antibody (AMPD3/901) |
||
Specification |
|||
Quantity |
|
||
| Select | Brand | Catalog No. | Product Name | Pack Size | Type | Field of Research | Specification | Quantity | Price(USD) | |
| 1 | Leading Biology | APG02467G | CCK4 / PTK7 Antibody (clone 4F9) | 50 μl | Monoclonal Antibodies |
|
$495.00 | Add Ask | ||
| 2 | Leading Biology | AMM04683G | GALT Antibody (clone 4C11) | 50 μg | Monoclonal Antibodies |
|
$545.00 | Add Ask | ||
| 3 | Leading Biology | AMM01402G | Vimentin (Mesenchymal Cell Marker) Antibody - With BSA and Azide | 50 ug | Monoclonal Antibodies |
|
$395.00 | Add Ask | ||
| 4 | Leading Biology | APR08280G | LTA4H / LTA4 Antibody (clone 9G8) | 50 μl | Monoclonal Antibodies |
|
$495.00 | Add Ask | ||
| 5 | Leading Biology | AMM00172G | CD1a / HTA1 (Mature Langerhans Cells Marker) Antibody - With BSA and Azide | 50 ug | Monoclonal Antibodies |
|
$395.00 | Add Ask | ||
| 6 | Leading Biology | AMM05750G | CEBPA Antibody | 100 μl | Monoclonal Antibodies |
|
$545.00 | Add Ask |
Leading Biology Inc.
2600 Hilltop DR, Building G, B Suite C138
Richmond, CA, 94806
Tel: 1-661-524(LBI)-0262
Email: info@leadingbiology.com
Complete this form and click send to ask us a question, request a quote or simply say hello.

You have 0 item in your cart

You have 0 item in your inquiry list