> Antigen, Antibodies, ELISA, Western Blot > Primary Antibody > Monoclonal Antibodies > CD57 / B3GAT1 (Natural Killer Cell Marker) AntibodyBrand |
Leading Biology | Catalog Number |
AMM00755G |
Product Type |
Monoclonal Antibodies | Field of Research |
|
Product Overview |
We constantly strive to ensure we provide our customers with the best antibodies. As a result of this work we offer this antibody in purified format.
We are in the process of updating our datasheets. If you have any questions regarding this update, please feel free to contact our technical support team.
This product is a high quality CD57 / B3GAT1 (Natural Killer Cell Marker) Antibody.
|
||
Molecular Weight |
~110kDa (Glycoprotein)
|
||
Cellular Localization |
Antigen Cellular Localization:
Golgi apparatus membrane; Single-pass type II membrane protein
|
||
Host |
Mouse
|
||
Species Reactivity |
Human
|
||
Clone |
SPM129
|
||
Isotype |
Mouse / IgM, kappa
|
||
Symbol |
GLCATP
|
||
GeneID |
|||
UniProt ID |
|||
Function |
Involved in the biosynthesis of L2/HNK-1 carbohydrate epitope on glycoproteins. Can also play a role in glycosaminoglycan biosynthesis. Substrates include asialo- orosomucoid (ASOR), asialo-fetuin, and asialo-neural cell adhesion molecule. Requires sphingomyelin for activity: stearoyl- sphingomyelin was the most effective, followed by palmitoyl- sphingomyelin and lignoceroyl-sphingomyelin. Activity was demonstrated only for sphingomyelin with a saturated fatty acid and not for that with an unsaturated fatty acid, regardless of the length of the acyl group (By similarity).
|
||
Summary |
Anti-CD57 marks a subset of lymphocytes known as natural killer (NK) cells. Follicular center cell lymphomas often contain many NK cells within the neoplastic follicles. Anti-CD57 also stains neuroendocrine cells and their derived tumors, including carcinoid tumor and medulloblastoma. Anti-CD57 can also be useful in separating type B3 thymoma from thymic carcinoma when combined with a panel that includes antibodies against GLUT1, CD5, and CEA.
|
||
Form |
Liquid |
||
Storage & Stability |
Store at +4°C short term. For long-term storage, aliquot and store at -20°C or below. Stable for 12 months at -20°C. Avoid repeated freeze-thaw cycles.
|
||
Applications |
IHC, IF
|
||
Images |
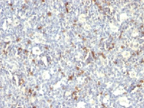
Formalin-fixed, paraffin-embedded human Spleen stained with CD57 Monoclonal Antibody (SPM129). |
||
Specification |
|||
Quantity |
|
||
| Select | Brand | Catalog No. | Product Name | Pack Size | Type | Field of Research | Specification | Quantity | Price(USD) | |
| 1 | Leading Biology | APG02467G | CCK4 / PTK7 Antibody (clone 4F9) | 50 μl | Monoclonal Antibodies |
|
$495.00 | Add Ask | ||
| 2 | Leading Biology | AMM04683G | GALT Antibody (clone 4C11) | 50 μg | Monoclonal Antibodies |
|
$545.00 | Add Ask | ||
| 3 | Leading Biology | AMM01402G | Vimentin (Mesenchymal Cell Marker) Antibody - With BSA and Azide | 50 ug | Monoclonal Antibodies |
|
$395.00 | Add Ask | ||
| 4 | Leading Biology | APR08280G | LTA4H / LTA4 Antibody (clone 9G8) | 50 μl | Monoclonal Antibodies |
|
$495.00 | Add Ask | ||
| 5 | Leading Biology | AMM00172G | CD1a / HTA1 (Mature Langerhans Cells Marker) Antibody - With BSA and Azide | 50 ug | Monoclonal Antibodies |
|
$395.00 | Add Ask | ||
| 6 | Leading Biology | AMM05750G | CEBPA Antibody | 100 μl | Monoclonal Antibodies |
|
$545.00 | Add Ask |
Leading Biology Inc.
2600 Hilltop DR, Building G, B Suite C138
Richmond, CA, 94806
Tel: 1-661-524(LBI)-0262
Email: info@leadingbiology.com
Complete this form and click send to ask us a question, request a quote or simply say hello.

You have 0 item in your cart

You have 0 item in your inquiry list