> Antigen, Antibodies, ELISA, Western Blot > Primary Antibody > Monoclonal Antibodies > RAB3B AntibodyBrand |
Leading Biology | Catalog Number |
AMM02529G |
Product Type |
Monoclonal Antibodies | Field of Research |
|
Product Overview |
We constantly strive to ensure we provide our customers with the best antibodies. As a result of this work we offer this antibody in purified format.
We are in the process of updating our datasheets. If you have any questions regarding this update, please feel free to contact our technical support team.
This product is a high quality RAB3B Antibody.
|
||
Molecular Weight |
24758 Da
|
||
Cellular Localization |
Antigen Cellular Localization:
Cell membrane; Lipid-anchor; Cytoplasmic side
|
||
Host |
Mouse
|
||
Species Reactivity |
Human, Mouse, Rat
|
||
Target |
This RAB3B antibody is generated from a mouse immunized with a recombinant protein of human RAB3B.
|
||
Clone |
1543CT354.60.92
|
||
Isotype |
IgG1,k
|
||
GeneID |
|||
UniProt ID |
|||
Function |
Protein transport. Probably involved in vesicular traffic (By similarity).
|
||
Summary |
Protein transport. Probably involved in vesicular traffic (By similarity).
|
||
Storage & Stability |
Store at +4°C short term. For long-term storage, aliquot and store at -20°C or below. Stable for 12 months at -20°C. Avoid repeated freeze-thaw cycles.
|
||
Applications |
FC, IHC-P, WB, E
|
||
Dilution |
FC~~1:25
IHC-P~~1:25
WB~~1:2000
|
||
Images |
Overlay histogram showing HepG2 cells stained with AMM02529G (green line). The cells were fixed with 2% paraformaldehyde (10 min) and then permeabilized with 90% methanol for 10 min. The cells were then icubated in 2% bovine serum albumin to block non-specific protein-protein interactions followed by the antibody (AMM02529G, 1:25 dilution) for 60 min at 37?C. The secondary antibody used was Goat-Anti-Mouse IgG, DyLight? 488 Conjugated Highly Cross-Adsorbed(NA168821) at 1/400 dilution for 40 min at 37?C. Isotype control antibody (blue line) was mouse IgG (1μg/1x10^6 cells) used under the same conditions. Acquisition of >10, 000 events was performed.
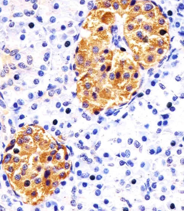
AMM02529G staining RAB3B in human pancreas sections by Immunohistochemistry (IHC-P - paraformaldehyde-fixed, paraffin-embedded sections). Tissue was fixed with formaldehyde and blocked with 3% BSA for 0. 5 hour at room temperature; antigen retrieval was by heat mediation with a citrate buffer (pH6). Samples were incubated with primary antibody (1/25) for 1 hours at 37°C. A undiluted biotinylated goat polyvalent antibody was used as the secondary antibody.
All lanes : Anti-RAB3B Antibody at 1:2000 dilution Lane 1: mouse brain lysate Lane 2: rat brain lysate Lane 3: SW480 whole cell lysate Lane 4: human brain lysate Lysates/proteins at 20 μg per lane. Secondary Goat Anti-mouse IgG, (H+L), Peroxidase conjugated at 1/10000 dilution. Predicted band size : 25 kDa Blocking/Dilution buffer: 5% NFDM/TBST. |
||
Specification |
|||
Quantity |
|
||
| Select | Brand | Catalog No. | Product Name | Pack Size | Type | Field of Research | Specification | Quantity | Price(USD) | |
| 1 | Leading Biology | APG02467G | CCK4 / PTK7 Antibody (clone 4F9) | 50 μl | Monoclonal Antibodies |
|
$495.00 | Add Ask | ||
| 2 | Leading Biology | AMM04683G | GALT Antibody (clone 4C11) | 50 μg | Monoclonal Antibodies |
|
$545.00 | Add Ask | ||
| 3 | Leading Biology | AMM01402G | Vimentin (Mesenchymal Cell Marker) Antibody - With BSA and Azide | 50 ug | Monoclonal Antibodies |
|
$395.00 | Add Ask | ||
| 4 | Leading Biology | APR08280G | LTA4H / LTA4 Antibody (clone 9G8) | 50 μl | Monoclonal Antibodies |
|
$495.00 | Add Ask | ||
| 5 | Leading Biology | AMM00172G | CD1a / HTA1 (Mature Langerhans Cells Marker) Antibody - With BSA and Azide | 50 ug | Monoclonal Antibodies |
|
$395.00 | Add Ask | ||
| 6 | Leading Biology | AMM05750G | CEBPA Antibody | 100 μl | Monoclonal Antibodies |
|
$545.00 | Add Ask |
Leading Biology Inc.
2600 Hilltop DR, Building G, B Suite C138
Richmond, CA, 94806
Tel: 1-661-524(LBI)-0262
Email: info@leadingbiology.com
Complete this form and click send to ask us a question, request a quote or simply say hello.

You have 0 item in your cart

You have 0 item in your inquiry list