> Antigen, Antibodies, ELISA, Western Blot > Primary Antibody > Monoclonal Antibodies > PD1 / PDCD1 / CD279 (Programmed Cell Death 1) Antibody - With BSA and AzideBrand |
Leading Biology | Catalog Number |
AMM01176G |
Product Type |
Monoclonal Antibodies | Field of Research |
|
Product Overview |
We constantly strive to ensure we provide our customers with the best antibodies. As a result of this work we offer this antibody in purified format.
We are in the process of updating our datasheets. If you have any questions regarding this update, please feel free to contact our technical support team.
This product is a high quality PD1 / PDCD1 / CD279 (Programmed Cell Death 1) Antibody - With BSA and Azide.
|
||
Molecular Weight |
55kDa
|
||
Cellular Localization |
Antigen Cellular Localization:
Membrane; Single-pass type I membrane protein
|
||
Host |
Mouse
|
||
Species Reactivity |
Human
|
||
Clone |
PDCD1/922
|
||
Isotype |
Mouse / IgG1, kappa
|
||
Symbol |
PD1
|
||
GeneID |
|||
UniProt ID |
|||
Function |
Inhibitory cell surface receptor involved in the regulation of T-cell function during immunity and tolerance. Upon ligand binding, inhibits T-cell effector functions in an antigen- specific manner. Possible cell death inducer, in association with other factors.
|
||
Summary |
PDCD-1 (programmed cell death-1 protein), also designated CD279, is a type I transmembrane receptor and a member of the immunoglobin gene superfamily. It is expressed on activated T-cells, B-cells, and myeloid cells. Anti-PDCD-1 is a marker of angioimmunoblastic lymphoma and suggests a unique cell of origin for this neoplasm. Unlike CD10 and BCL6, PDCD-1 is expressed by few B-cells, so anti-PDCD-1 may be a more specific and useful diagnostic marker in angioimmunoblastic lymphoma. In addition, PDCD-1 expression provides evidence that angioimmunoblastic lymphoma is a neoplasm derived from germinal center-associated T-cells.
|
||
Form |
Liquid |
||
Storage & Stability |
Store at +4°C short term. For long-term storage, aliquot and store at -20°C or below. Stable for 12 months at -20°C. Avoid repeated freeze-thaw cycles.
|
||
Applications |
IHC, IF, FC
|
||
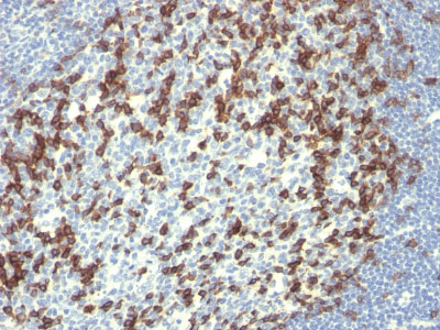
Images |
Formalin-fixed, paraffin-embedded human Tonsil stained with PD1 (CD279) Monoclonal Antibody (PDCD1/922).
Formalin-fixed, paraffin-embedded human Tonsil stained with PD1 (CD279) Monoclonal Antibody (PDCD1/922). |
||
Specification |
|||
Quantity |
|
||
| Select | Brand | Catalog No. | Product Name | Pack Size | Type | Field of Research | Specification | Quantity | Price(USD) | |
| 1 | Leading Biology | APG02467G | CCK4 / PTK7 Antibody (clone 4F9) | 50 μl | Monoclonal Antibodies |
|
$495.00 | Add Ask | ||
| 2 | Leading Biology | AMM04683G | GALT Antibody (clone 4C11) | 50 μg | Monoclonal Antibodies |
|
$545.00 | Add Ask | ||
| 3 | Leading Biology | AMM01402G | Vimentin (Mesenchymal Cell Marker) Antibody - With BSA and Azide | 50 ug | Monoclonal Antibodies |
|
$395.00 | Add Ask | ||
| 4 | Leading Biology | APR08280G | LTA4H / LTA4 Antibody (clone 9G8) | 50 μl | Monoclonal Antibodies |
|
$495.00 | Add Ask | ||
| 5 | Leading Biology | AMM00172G | CD1a / HTA1 (Mature Langerhans Cells Marker) Antibody - With BSA and Azide | 50 ug | Monoclonal Antibodies |
|
$395.00 | Add Ask | ||
| 6 | Leading Biology | AMM05750G | CEBPA Antibody | 100 μl | Monoclonal Antibodies |
|
$545.00 | Add Ask |
Leading Biology Inc.
2600 Hilltop DR, Building G, B Suite C138
Richmond, CA, 94806
Tel: 1-661-524(LBI)-0262
Email: info@leadingbiology.com
Complete this form and click send to ask us a question, request a quote or simply say hello.

You have 0 item in your cart

You have 0 item in your inquiry list