> Antigen, Antibodies, ELISA, Western Blot > Primary Antibody > Monoclonal Antibodies > MUC3 (Mucin 3) Antibody - With BSA and AzideBrand |
Leading Biology | Catalog Number |
AMM01086G |
Product Type |
Monoclonal Antibodies | Field of Research |
|
Product Overview |
We constantly strive to ensure we provide our customers with the best antibodies. As a result of this work we offer this antibody in purified format.
We are in the process of updating our datasheets. If you have any questions regarding this update, please feel free to contact our technical support team.
This product is a high quality MUC3 (Mucin 3) Antibody - With BSA and Azide.
|
||
Molecular Weight |
1100kDa
|
||
Cellular Localization |
Antigen Cellular Localization:
Isoform 1: Membrane; Single-pass membrane protein Isoform 3: Secreted. Isoform 5: Secreted.
|
||
Host |
Mouse
|
||
Species Reactivity |
Human
|
||
Clone |
M3.1
|
||
Isotype |
Mouse / IgG2a, kappa
|
||
Symbol |
MUC3
|
||
UniProt ID |
|||
Function |
Major glycoprotein component of a variety of mucus gels. Thought to provide a protective, lubricating barrier against particles and infectious agents at mucosal surfaces. May be involved in ligand binding and intracellular signaling.
|
||
Summary |
It recognizes a protein of HMW, identified as mucin 3 glycoprotein (MUC3). Its epitope localizes between aa SITTTE. This MAb shows no cross-reaction with human milk fat globule membranes, MUC1, or MUC2. MUC3 is distributed in colon and rectum, and is also present to a lesser extent in breast, lung and salivary gland tissues. The Mucins are a family of highly glycosylated, secreted proteins with a basic structure consisting of a variable number of tandem repeats (VNTRs) encoded by 60 base pairs (Mucin 1), 69 base pairs (Mucin 2) and 51 base pairs (Mucin 3). The number of repeats is highly polymorphic and varies among different alleles. Mucin 1 proteins are expressed as type I membrane proteins in addition to secreted forms. Mucin 1 is aberrantly expressed in epithelial tumors including breast carcinomas. Mucin 2 coats the epithelia of the intestines and airways and is associated with colonic tumors. Mucin 3 is a major component of various mucus gels and is broadly expressed in normal and tumor cells.
|
||
Form |
Liquid |
||
Storage & Stability |
Store at +4°C short term. For long-term storage, aliquot and store at -20°C or below. Stable for 12 months at -20°C. Avoid repeated freeze-thaw cycles.
|
||
Applications |
IHC, IF, FC
|
||
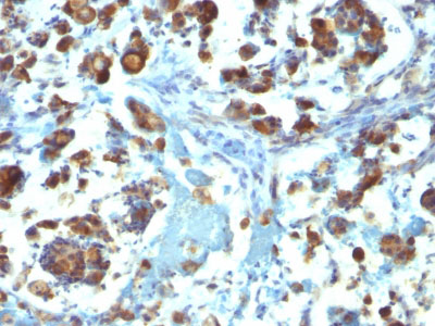
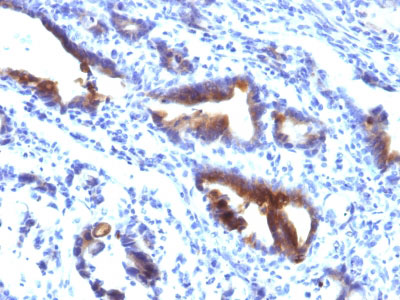
Images |
Formalin-fixed, paraffin-embedded human Gastric Carcinoma stained with MUC3 Monoclonal Antibody (M3.1).
Formalin-fixed, paraffin-embedded human Gastric Carcinoma stained with MUC3 Monoclonal Antibody (M3.1).
Formalin-fixed, paraffin-embedded human Colon Carcinoma stained with MUC3 Monoclonal Antibody (M3.1). |
||
Specification |
|||
Quantity |
|
||
| Select | Brand | Catalog No. | Product Name | Pack Size | Type | Field of Research | Specification | Quantity | Price(USD) | |
| 1 | Leading Biology | APG02467G | CCK4 / PTK7 Antibody (clone 4F9) | 50 μl | Monoclonal Antibodies |
|
$495.00 | Add Ask | ||
| 2 | Leading Biology | AMM04683G | GALT Antibody (clone 4C11) | 50 μg | Monoclonal Antibodies |
|
$545.00 | Add Ask | ||
| 3 | Leading Biology | AMM01402G | Vimentin (Mesenchymal Cell Marker) Antibody - With BSA and Azide | 50 ug | Monoclonal Antibodies |
|
$395.00 | Add Ask | ||
| 4 | Leading Biology | APR08280G | LTA4H / LTA4 Antibody (clone 9G8) | 50 μl | Monoclonal Antibodies |
|
$495.00 | Add Ask | ||
| 5 | Leading Biology | AMM00172G | CD1a / HTA1 (Mature Langerhans Cells Marker) Antibody - With BSA and Azide | 50 ug | Monoclonal Antibodies |
|
$395.00 | Add Ask | ||
| 6 | Leading Biology | AMM05750G | CEBPA Antibody | 100 μl | Monoclonal Antibodies |
|
$545.00 | Add Ask |
Leading Biology Inc.
2600 Hilltop DR, Building G, B Suite C138
Richmond, CA, 94806
Tel: 1-661-524(LBI)-0262
Email: info@leadingbiology.com
Complete this form and click send to ask us a question, request a quote or simply say hello.

You have 0 item in your cart

You have 0 item in your inquiry list