> Antigen, Antibodies, ELISA, Western Blot > Primary Antibody > Monoclonal Antibodies > EMI1 (Early Mitotic Inhibitor-1) Antibody - With BSA and AzideBrand |
Leading Biology | Catalog Number |
AMM00744G |
Product Type |
Monoclonal Antibodies | Field of Research |
|
Product Overview |
We constantly strive to ensure we provide our customers with the best antibodies. As a result of this work we offer this antibody in purified format.
We are in the process of updating our datasheets. If you have any questions regarding this update, please feel free to contact our technical support team.
This product is a high quality EMI1 (Early Mitotic Inhibitor-1) Antibody - With BSA and Azide.
|
||
Molecular Weight |
56kDa
|
||
Cellular Localization |
Antigen Cellular Localization:
Nucleus. Cytoplasm. Cytoplasm, cytoskeleton, spindle. Note=In interphase, localizes in a punctate manner in the nucleus and cytoplasm with some perinuclear concentration. In mitotic cells, localizes throughout the cell, particularly at the spindle
|
||
Host |
Mouse
|
||
Species Reactivity |
Human
|
||
Clone |
EMI1/1176
|
||
Isotype |
Mouse / IgG2a, kappa
|
||
Symbol |
EMI1, FBX5
|
||
GeneID |
|||
UniProt ID |
|||
Function |
Regulates progression through early mitosis by inhibiting the anaphase promoting complex/cyclosome (APC). Binds to the APC activators CDC20 and FZR1/CDH1 to prevent APC activation. Can also bind directly to the APC to inhibit substrate-binding.
|
||
Summary |
It recognizes a 56kDa protein, which is identified as Early Mitotic Inhibitor-1 (EMI1). It regulates mitosis by inhibiting the anaphase promoting complex/cyclosome (APC). Emi1 is a conserved F box protein containing a zinc-binding region essential for APC inhibition. The Emi1 protein functions to promote cyclin A accumulation and S phase entry in somatic cells by inhibiting the APC complex. At the G1-S transition, Emi1 is transcriptionally induced by the E2F transcription factor. Emi1 overexpression accelerates S-phase entry and can override a G1 block caused by overexpression of Cdh1 or the E2F-inhibitor p105 retinoblastoma protein (pRb). Depleting cells of Emi1 through RNA interference prevents accumulation of cyclin A and inhibits S phase entry.
|
||
Form |
Liquid |
||
Storage & Stability |
Store at +4°C short term. For long-term storage, aliquot and store at -20°C or below. Stable for 12 months at -20°C. Avoid repeated freeze-thaw cycles.
|
||
Applications |
WB, IHC, IF, FC
|
||
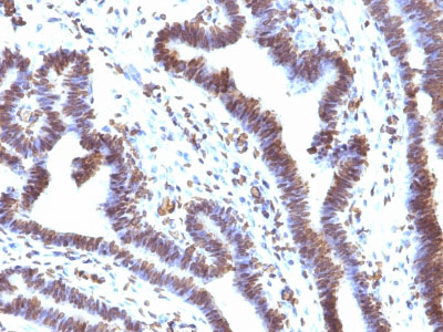
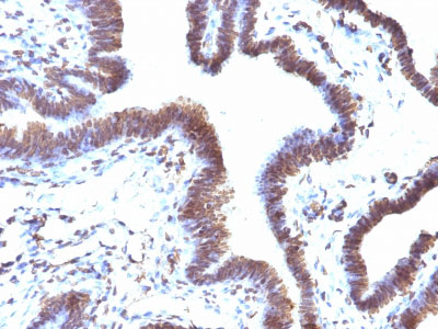
Images |
Formalin-fixed, paraffin-embedded human Ovarian Carcinoma stained with EMI1 Monoclonal Antibody (EMI1/1176).
Formalin-fixed, paraffin-embedded human Ovarian carcinoma stained with EMI1 Monoclonal Antibody (EMI1/1176). |
||
Specification |
|||
Quantity |
|
||
| Select | Brand | Catalog No. | Product Name | Pack Size | Type | Field of Research | Specification | Quantity | Price(USD) | |
| 1 | Leading Biology | APG02467G | CCK4 / PTK7 Antibody (clone 4F9) | 50 μl | Monoclonal Antibodies |
|
$495.00 | Add Ask | ||
| 2 | Leading Biology | AMM04683G | GALT Antibody (clone 4C11) | 50 μg | Monoclonal Antibodies |
|
$545.00 | Add Ask | ||
| 3 | Leading Biology | AMM01402G | Vimentin (Mesenchymal Cell Marker) Antibody - With BSA and Azide | 50 ug | Monoclonal Antibodies |
|
$395.00 | Add Ask | ||
| 4 | Leading Biology | APR08280G | LTA4H / LTA4 Antibody (clone 9G8) | 50 μl | Monoclonal Antibodies |
|
$495.00 | Add Ask | ||
| 5 | Leading Biology | AMM00172G | CD1a / HTA1 (Mature Langerhans Cells Marker) Antibody - With BSA and Azide | 50 ug | Monoclonal Antibodies |
|
$395.00 | Add Ask | ||
| 6 | Leading Biology | AMM05750G | CEBPA Antibody | 100 μl | Monoclonal Antibodies |
|
$545.00 | Add Ask |
Leading Biology Inc.
2600 Hilltop DR, Building G, B Suite C138
Richmond, CA, 94806
Tel: 1-661-524(LBI)-0262
Email: info@leadingbiology.com
Complete this form and click send to ask us a question, request a quote or simply say hello.

You have 0 item in your cart

You have 0 item in your inquiry list