> Antigen, Antibodies, ELISA, Western Blot > Primary Antibody > Monoclonal Antibodies > MALT1 (MALT-Lymphoma Marker) Antibody - With BSA and AzideBrand |
Leading Biology | Catalog Number |
AMM00228G |
Product Type |
Monoclonal Antibodies | Field of Research |
|
Product Overview |
We constantly strive to ensure we provide our customers with the best antibodies. As a result of this work we offer this antibody in purified format.
We are in the process of updating our datasheets. If you have any questions regarding this update, please feel free to contact our technical support team.
This product is a high quality MALT1 (MALT-Lymphoma Marker) Antibody - With BSA and Azide.
|
||
Molecular Weight |
93kDa
|
||
Cellular Localization |
Antigen Cellular Localization:
Cytoplasm, perinuclear region. Nucleus. Note=Shuttles between the nucleus and cytoplasm. Found in perinuclear structures together with BCL10
|
||
Host |
Mouse
|
||
Species Reactivity |
Human
|
||
Clone |
SPM578
|
||
Isotype |
Mouse / IgG1, kappa
|
||
Symbol |
MLT
|
||
GeneID |
|||
UniProt ID |
|||
Function |
Enhances BCL10-induced activation of NF-kappa-B. Involved in nuclear export of BCL10. Binds to TRAF6, inducing TRAF6 oligomerization and activation of its ligase activity. Has ubiquitin ligase activity. MALT1-dependent BCL10 cleavage plays an important role in T-cell antigen receptor-induced integrin adhesion.
|
||
Summary |
Mucosa associated lymphoid tissue lymphoma translocation gene 1 (MALT1) is found in extranodal low-grade B cell lymphomas. MALT1 encodes two Ig-like C2-type domains and fuses with an API2 gene, which is highly expressed in adult lymphoid tissue. The translocation of this MALT1 gene, which maps to human chromosome 18q21, and the apoptosis-inhibiting API2 gene results in an increased development of MALT lymphomas and apoptosis inhibition. Sites at which this API2-MALT1 (11;18)(q21;q21) translocation commonly occurs are within human lung and kidney tissue. MALT lymphoma expresses nuclear Bcl10, which mediates the oligomerization and activation of a MALT1 caspase-like domain. MALT1 mRNA is found in pre-B cells, mature B cells and plasma cells.
|
||
Form |
Liquid. Purified antibody supplied in 1x PBS buffer with 0.09% (w/v) sodium azide and 2% sucrose. |
||
Storage & Stability |
Store at +4°C short term. For long-term storage, aliquot and store at -20°C or below. Stable for 12 months at -20°C. Avoid repeated freeze-thaw cycles.
|
||
Applications |
WB, IHC-P, IF, FC
|
||
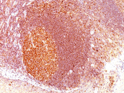
Images |
Formalin-fixed, paraffin-embedded human Tonsil stained with MALT1 Monoclonal Antibody (SPM578) |
||
Specification |
|||
Quantity |
|
||
| Select | Brand | Catalog No. | Product Name | Pack Size | Type | Field of Research | Specification | Quantity | Price(USD) | |
| 1 | Leading Biology | APG02467G | CCK4 / PTK7 Antibody (clone 4F9) | 50 μl | Monoclonal Antibodies |
|
$495.00 | Add Ask | ||
| 2 | Leading Biology | AMM04683G | GALT Antibody (clone 4C11) | 50 μg | Monoclonal Antibodies |
|
$545.00 | Add Ask | ||
| 3 | Leading Biology | AMM01402G | Vimentin (Mesenchymal Cell Marker) Antibody - With BSA and Azide | 50 ug | Monoclonal Antibodies |
|
$395.00 | Add Ask | ||
| 4 | Leading Biology | APR08280G | LTA4H / LTA4 Antibody (clone 9G8) | 50 μl | Monoclonal Antibodies |
|
$495.00 | Add Ask | ||
| 5 | Leading Biology | AMM00172G | CD1a / HTA1 (Mature Langerhans Cells Marker) Antibody - With BSA and Azide | 50 ug | Monoclonal Antibodies |
|
$395.00 | Add Ask | ||
| 6 | Leading Biology | AMM05750G | CEBPA Antibody | 100 μl | Monoclonal Antibodies |
|
$545.00 | Add Ask |
Leading Biology Inc.
2600 Hilltop DR, Building G, B Suite C138
Richmond, CA, 94806
Tel: 1-661-524(LBI)-0262
Email: info@leadingbiology.com
Complete this form and click send to ask us a question, request a quote or simply say hello.

You have 0 item in your cart

You have 0 item in your inquiry list